说到牙齿畸形,相信我们每个人都不会感到陌生。因为一些先天或者后天的原因,很多人的牙齿都有这样或者那样的问题,畸形牙齿也就成了困扰很多人的口腔问题,那么牙齿畸形有哪些种类?应该怎样对症治疗呢?
生活中我们常见的畸形牙齿主要表现为:前牙牙冠过小、前牙稀疏、*牙虎**、前牙冠残缺、前牙碰断、“地包天”等。
1.前牙牙冠过小

有些人的前牙冠天生就比较小,影响咀嚼功能的同时,还很不美观,这类畸形牙齿的修复,主要以烤瓷牙修复为主,当小牙冠磨小后,制作金属冠套,然后再套上牙套,既可恢复牙齿的正常咀嚼功能,又可以完美的恢复正常牙齿形状和牙色。
2.*牙虎**

当*牙虎**过于前凸时,会影响唇部活动和美观,相较于直接拔掉*牙虎**,可以采用专业口腔正畸方法,将*牙虎**后面的牙齿磨小,再将*牙虎**牵引到正常位置,且修复时间一般只需要2-6个月的时间。
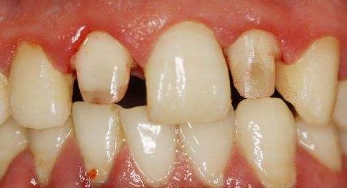
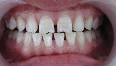
3.前牙稀疏

前牙稀疏可以用两种方法矫正:一种用复合树脂将牙冠加大来弥补缝隙,另一种是将前牙加牙靠拢,消除小间隙,使1~2个空间加大,然后用活动义齿或固定义齿修复间隙。
4.地包天

地包天对人的外貌影响是非常大的,一般采用带牙套的方式就可以纠正,如果地包天的情况比较严重,需要做外科正牙手术,再配合普通的正畸治疗,效果会更好。
5.龅牙

龅牙的特点是上牙前突,闭不上嘴唇,前牙外翻,侧面型凸。
对于骨突造成的龅牙,需要通过口腔颌面外科手术来矫正,比如正颌手术、正牙手术等;对于牙齿前凸造成的龅牙比较容易矫正,在儿童时期,用一些肌功能矫正器就可以矫正;针对18岁以上成年人的龅牙,一般矫正空间有限,都需要拔牙矫正。
以上是几种常见的牙齿畸形类型,如果发现自己牙齿排列不正,一定要及时到正规的医疗机构咨询并治疗,以免造成更严重的口腔问题,甚至影响心理健康。