陆博,口腔医学博士,苏州口腔医院副院长,擅长美学正畸。热衷于用简单浅显的文字,为您打开口腔知识大门,欢迎关注。
不少人有这样的疑问:我每天勤勤恳恳刷牙,不吃酸冷刺激食物,也从不刻意啃食过硬的食物,为什么还是会得牙周炎?(想了解牙周炎的症状及危害,请查看往期作品)

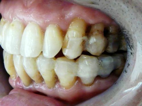
人类口腔是一个复杂的生态环境,众多细菌藏在其中。加上口腔湿润温暖,更是成了细菌繁衍的温床。细菌在这样的环境下,逐渐形成具有特定结构的群体——牙菌斑。
一、牙菌斑的危害
牙菌斑是构成牙周炎的第一要害因素,它如一层薄膜,紧紧粘黏在牙齿、牙龈及牙缝表层上。
一般来说,初期的牙菌斑可以通过刷牙清洗掉,但它喜欢藏在牙缝等"偏僻"角落,不管你刷牙多么认真,牙刷的刷毛也很难触达牙缝等口腔死角。况且部分牙菌斑本身就是从唾液中产生的,根本无法只通过日常清洁工作来维持口腔健康。
这也就是为什么,牙医会建议你每年要定期洗牙的原因。
别说什么医生想挣你的钱,洗牙这点钱真的算不上什么,要挣也不可能靠洗牙。但如果拖成牙周炎,就不是简单洗牙的钱能解决的了。

如果不清洗,随着牙菌斑在牙面上的堆积,口腔中的矿质物质就会逐渐形成白色或黄色的、粗糙的牙石。到达这一阶段,再认真的刷牙也无济于事。

人们在日常生活中,肉眼能看到的是牙石,故认为牙周炎与牙石有关。但事实上,牙石或牙面上附着的牙菌斑才是牙周病的诱发因素。而牙石只是一个局部性的刺激,进一步恶化牙周炎的病情而已。
因此,定期洗牙很有必要,大家千万不要偷懒哦!
但大部分患者往往是已经染上牙周炎,牙周出现各种问题才会来就医,结果治疗过程又漫长又复杂,很少有人能坚持到最后。渐渐牙周病就被"妖魔化",成为不少人口中的"不治之症"。
那被誉为"口腔第一大疾病"的牙周炎,究竟能不能被治愈?
二、牙周炎的治疗方法
根据牙周炎形成的原因,我们能清除地知道,想要治疗牙周炎,根本在于控制牙周的菌斑。但由于牙周是一个平衡的组织,一旦破坏,很难获得理想的再生。因此,牙周治疗绝不是一项独立的某一项治疗,而是一系列的系统治疗,其中最重要的就是牙周基础治疗。

牙周基础治疗相当于大扫除,是把牙齿周围的牙结石等脏东西去掉。它是牙周系统治疗的第一步,适用于每一位牙周患病治疗者,目的在于找到病因,减少牙菌斑,有效控制牙龈炎症,保证下面治疗得以顺利进行。
除了大家熟悉的"洗牙",牙周的基础治疗还有很多内容,如龈下刮治术、拔除无保留作用的患牙等。
总之,做好基础治疗工作,是保证治疗效果的基础。

在牙周治疗期间,病患最主要的工作就是正确维护口腔卫生,比如饭后漱口、正确刷牙等方法。只有保证口腔环境的健康,才能让治疗发挥到应有的功效。
当然,曾经不良的口腔习惯,患者也要努力改正,比如抽烟、吃过烫、过硬的食物等,也会危害口腔健康。
总之,牙周治疗不是一项简单的治疗,它是根据个人牙周病的严重程度,因人而异的系统治疗。虽然治疗的过程略微繁杂,甚至需要复诊,但牙周病绝不是大家口中的"不治之症"。也希望出现牙周疾病的患者不要拖延,尽早去正规口腔医院,进行专业的牙周治疗!