不知道大家注意没有,我们常说某某长的漂亮,某某又长得丑,某某长得有气质(是不是长得不漂亮的委婉说法?)这难道只是我们的主观感觉吗?肯定不是的,应该是有一个客观标准来判断我们的美丑。在这之前,我们先来了解一下我们的人类进化。
关于达尔文的《物种起源》

(我觉得此书是我辈正畸专业人士必读的书籍,对于了解人类的生长发育大有裨益)。从此书的封面我们可以看到,随着人类的进化,人类逐渐直立行走,脑容量也越来越大,面型的突度也逐渐减少。在这里与我们正畸密切相关的就是面型的突度。

为什么有这种变化呢?
一种比较容易接受的理论是:随着人类的进化,特别是开始使用火以后,人类的食物有了质地飞跃——从生冷粗糙的食物到松软精细的佳肴——这种变化让古人类发达颌骨的负担大大降低,不用大力地咀嚼就可以完成初步的消化,所以我们的颌骨就慢慢地退化,表现出来就是上下颌骨慢慢变短,面型突度减小。但是由于进化的不对称,牙齿又没有跟上骨骼变化的脚步,它仍然是那么多,仍然是那么大,在缩短了的颌骨上面排不下这么多的牙齿怎么办呢?好吧,要么是长不出来(阻生牙),要么是挤在一块儿(牙列拥挤),要么是牙齿暴出去(龅牙)。明白了这个理论,应该就可以明白为什么我们正畸治疗中要拔牙了吧?我常常给病人解释说,其实正畸拔牙是我们医生给你做的一个“人工进化”哦!也就是让我们的骨量和牙量达到一个匹配,人工让它们达到相同的进化程度。
好了,经过数十万年的进化,世界上的人类大致上分为3大人种,即蒙古人种(黄色人种)——成吉思汗还是很厉害的,在数百年后仍然是西方人的梦魇,一想到黄种人,就记起了蒙古铁骑——高加索人种(白色人种),尼格罗人种(黑色人种)。有人还主张再分出澳大利亚人种(棕色人种)。
先来说说黄种人

如果刘翔不跨栏,那他只是芸芸众生中的普通一人,不会引起大多数人的注意。但他具有黄种人的典型特征,黄皮肤,黑头发,颧骨突出,鼻梁不高,上唇略向前突。(其实,刘翔有点凹面型,不是特别典型的黄种人微突面型,但是还好吧)这种面型给人的立体感不强。
再来说说白种人,用阿汤哥做代表吧。

白种人是世界上人口最多的人种,他们的肤色浅淡,毛发浓密,颧骨不高突,鼻子窄而高,嘴唇较薄。牙套们知道吗,汤哥也是做了正畸的哦,

带的是陶瓷托槽,金属弓丝,做治疗时候的年龄已经40了,呵呵,觉得自己年纪大了的牙套们看了应该有信心吧?
最后说说黑色人种

奥巴马当选美国总统,常常作为“黑人从此站起来了”的好人好事广为宣传,但是你们知道吗,奥巴马只有6.25%的非洲血统,其它分别是43.75%的阿拉伯血统,50%的白人血统。而按照美国的法律,至少要拥有12.5%的血统才能认定你属于某个种族,所以奥巴马其实是个穿了黑马甲的香蕉,骨子里面还是个白人。还是看看典型的黑人吧。

摩根弗里曼,黑棕色皮肤,毛发卷曲,鼻低而大,唇厚而且外翻。呵呵,长得还真不敢说好看,但是演得确实很棒的。
世界上这三大人种中,白色种人的面型较直(是不是生活好,吃的都是是牛奶面包,颌骨进化得好的缘故?),黑色人种的面型较突(非洲兄弟们生活在水深火热中啊,熟食都没得吃),黄色人种居中。我们常常觉得白种人比黑人要“顺眼”一点(绝非种族歧视),why?
那么到底什么样的面型最好看呢?
面部审美中一个非常重要的标准即——是否符合三庭五眼。

三庭五眼就像是面部五官的布局,布局和谐了,基础美了,才会是真正的美。在双眉弓作一条水平线;通过鼻翼下缘作一条水平线,这样的两条水平线将面部划分成横向三等分,即:上1/3为发际线至眉间连线;中1/3为眉间连线至鼻翼下缘;下1/3为鼻翼下缘至下颏下缘。标准的上、中、下刚好分成三等分。此为三庭。金城武是个帅哥吧,但是也有很多不喜欢他的人,认为他的下巴长得很怪。各位牙套们可以把他的三庭画出来,可以明显的看见下1/3偏长了些,

再来看看另一个著名的帅哥——刘德华,可以清楚地看见标准的三庭,怪不得华仔的粉丝要多一些呢!

五眼的划分:外眼角至发际缘应是一个眼睛的宽度,两内眼角之间是一个眼睛的宽度,另一侧的外眼角至发际线也应是一个眼睛的宽度。这样纵向面部刚好是五只眼睛的宽度。另外一个“丰”字型面部审美可供参考。即通过人中作一条人面部的正中竖线,双侧太阳穴最凹处作一条水平线,双侧颧弓最宽处作一水平线,双侧 点作一水平线,连起来便形成了一个“丰”字。“丰”字三横中,中间一横最短,下面一横最宽,而正常的颅颌骨生理解剖中,双侧太阳穴窄处应该最窄,双侧颧弓连线最宽、下颌角连线略窄于颧弓宽度,与“丰”字不相符。按照东方人的审美标准,所崇尚的“ ”,应该是上宽下窄,这样就形成了一个倒着的“丰”字。参考这一标准,就可以自我诊断自己是不是“瓜子脸”了。另外我们通常是将下面部进一步分成3部分,这3部分是鼻底至口裂,口裂至唇颏沟(或称颏切际),颏切际至颏底。标准的上唇高度是下两部分总和的一半。

面下1/3是我们正畸医生工作的重点。(在后续的帖子中,我会展示青少年正畸后面下1/3改变的效果)
我们评价一个人是否漂亮,实际只需要几秒钟。首先看她三庭五眼是否协调,面部正面是否呈倒“丰”字,

(大家不要误以为传统的国字脸最容易被人接受,放眼看看现在的流行人物,基本上都是些“尖嘴猴腮”,特别是女孩,长个国字脸,也太……

如果是,这位女孩足可以打80分了,然后再细看她的五官,但凡称得上漂亮、美女的女性,都会发现她脸型基本符合三庭五眼这一“黄金分割”规律。所以一个人面部的基础若不和谐,此人必定不会太漂亮。可见基础对于一个人的外在是何其重要。
三庭中中1/3几乎无可塑性,上、下1/3存在调整的空间。上1/3短小,可采取激光、复合彩光脱发际线或手术提升额部等方法,使发际线上延。下1/3可通过手术(美容外科)、非手术(正畸)的方法加长或缩短下颌得到调整,使得三庭比例协调,达到基础美的效果。
正面说完了,我们说说侧面,完美的侧面需要三个基本条件:
第一,额头饱满;
第二,鼻子挺而微微上翘;
第三:长度与比例适中、稍微突出的下颏。

我们在追求美的时候,总是给予自己的额头和鼻子以足够重视,对于下颏却注意不到。面部的美来自三维形象,立体感和起伏状是决定侧脸美的核心因素。额头到鼻柱,鼻柱到鼻尖,加上下颏完全谐调时,侧脸才会看起来漂亮。下颏是美丽侧脸的完成点。就算额头丰满、鼻子漂亮,如果下颏后缩,印象就会大大折扣,也许短下巴看起来年龄小,但它会让嘴唇看起来太厚,令整个人显得呆楞。多美的脸,没有一个精致的,略尖的和略朝上的下巴,是美中不足的。 面部的最尖端是整张脸的“好望角”,在这里,我们需要一个完美的的句号。
略向前翘的下颏被认为是最美的,这也是因为下颏最影响人面部的侧观。面部的轮廓形态分为三类:直面型、凹面型和凸面型。经过大样本的调查(参加的调查人员范围很广,包括白种人、黄种人、黑人,也包括各个阶层的,从富豪到流浪者、从政客到出租车司机,应该说具有相当的可信性),我们可以认为直面型是最容易被大众接受的一种面型,也就是说直面型最漂亮。在三大人种中,黑人几乎没看见过有直面型的,黄种人中有部分人是,而白种人中以直面型为主,这就是我们说白种人比黑人长得“顺眼”的原因。
在面部侧面轮廓分析中有两个指标

Gonzales-Ulloa零子午线:鼻根点,前鼻嵴,颏前点的连线呈一直线。
Ricketts审美平面:鼻尖与颏前点连成一条直线,上唇唇红距离此线4mm,下唇唇红距离此线2mm(西方标准)。鼻尖,下唇唇红,颏前点在一条直线上(东方标准)。不管是东方还是西方,只要你符合其中一条,恭喜你,你的侧面进入了美女帅哥行列。

对于Ricketts审美平面,很多牙套们都知道,但是用起来就不是那么回事了,下面我们讲解一下怎样用美容线划分这三种面型。
直面型
我们正畸医生追求的理想面型。建议牙套们将Gonzales-Ulloa零子午线和Ricketts审美平面区结合起来判断你是否是直面型。下面用病例展示的方式告诉牙套如何才是直面型。

突面型,
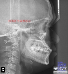
有两种,一种是骨性的,整个上颌骨向前突出


或者下颌骨发育不足,此病例为患儿有严重的咬下唇习惯导致牙性前突,骨性下颌骨发育不良(此患者人在甘肃,关于治疗效果有后续报道)




另一种是牙性的,也就是我们常说的龅牙。
凹面型,生活中常把这种情况称之为“地包天”,(貌似一个叫杨子的就被恶毒地称为“鞋拔子教教主”,

还把这样称呼他的记者告到中宣部,汗一个)也有两种,包括上颌骨发育不足或者下颌骨发育过度。我们这个病例展示的是父子两人均为凹面型,




儿子的凹面型更为严重,需要正颌外科治疗。“地包天”是一种较为严重的牙颌畸形,对面型的影响较大,在治疗方面目前采用的是序列跟踪治疗。
呵呵,讲了那么多,我们再来看看美女帅哥吧!
杰西卡·奥尔芭,被称为最标准的脸。

大家看看黎姿(黎姿还是杨怡或者是其他人,争论中)的侧面,非常标准。

刘德华和张柏芝,双双都是直面型。

我们再来看看舒淇,比较典型的突面型,因此,要说舒淇有多漂亮,算不上,应该说是比较有气质吧。

另一个直面型帅哥和另一个突面型实力派演员。

我一直认为陈豪是个大反派,是个双颌前突,但是人家现在确实很红啊。

Q是美越混血儿,拥有一副直面型是比较容易的事。
拥有一副完美的侧面轮廓,往往比正面更能吸引人。

但是,我们要切记,拥有完美的容貌,并不代表你是个完美的人,道德上的美也许才是更重要的(本段文字与图片无关,请勿对号入座)。
