脑小血管病(cerebral small vessel disease,CSVD)是引发痴呆的第二常见病因,亦是引发混合性痴呆的主要因素,且1/5的卒中是由CSVD引起的。临床上最常见的神经退行性疾病,如阿尔茨海默病(Alzheimer’s disease,AD),在老年人群中通常与脑血管病并存。CSVD与AD 有着共同的危险因素,且均可导致认知障碍和痴呆,临床上难以鉴别血管性认知障碍(vascular cognitiveimpairment,VCI)与AD。

CSVD的传统磁共振成像(magnetic resonance imaging,MRI)表现包括
- 近期皮质下小梗死
- 假定血管源性的腔隙灶
- 假定血管源性的白质高信号
- 血管周围间隙(perivascular space,PVS)
- 脑微出血(cerebral microbleed,CMB)
- 脑萎缩
CSVD 习惯上多指脑的小动脉或穿支动脉病变导致的临床上和影像学上的异常表现。关于脑小血管的定义,曾经探讨过按照管径大小来界定穿支动脉和小动脉。然而,在已发表的研究中,对管径大小的界定不一致,且与影像学表现的对应度不佳。因此,2012 年的共识指南决定采用小动脉(arteriole)这一名词来指代在 CSVD 中受累的小穿支动脉和小动脉。


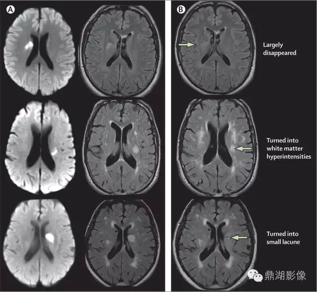
以上两图对照阅读
近期皮质下小梗死
2012 年的共识指南建议采用“近期皮质下小梗死”这一术语,系指神经影像学证据显示有1条穿支动脉供血区域的近期梗死,且伴有与数周前发生的脑损伤一致的影像学特征或临床综合征表现。加入“近期”这一词,是为了对应“伴有与数周前发生的脑损伤一致的影像学特征或临床综合征表现”。之所以采用“近期”非“急性”的表述,是为了说明该损伤发生于最近数周,而不仅局限于超急性期。采用“小”这个词则表明损伤在轴向平面上的最大直径≤ 20mm,尽管供应某些损伤区域的血管在冠状面上的直径更大。直径> 20 mm 的基底节和内囊病变可能会同时影响数条穿支动脉的供血区域,所以不应被归入皮质下小梗死,而应被称为纹状体内囊梗死,是特有病因梗死的一个亚型。与此相似,前脉络膜动脉梗死的病因学也有其独特性,可通过病灶所处部位(尾状核头部)及形状(大多为“逗号”形状)进行识别,所以也不应被归入皮质下小血管病。与血管源性的腔隙灶不同,对于皮质下小梗死病灶大小的界定无下限,这是因为利用弥散加权成像可以鉴别新近小梗死与 PVS。

假定血管源性的白质高信号
假定血管源性的白质高信号的影像学特征是在T2加权图像上表现为高信号,在T1加权图像上表现为等信号或低信号(尽管不像脑脊液的信号强度那么低),并取决于影像序列参数及病变程度。除非特别说明,皮质下灰质病变或脑干病变不归入白质高信号。此外,推荐将皮质下高信号作为一个可接受的替代性集合名词,用于表示任何非皮质高信号,包括白质、深部灰质及脑干 ;采用白质低衰减或白质低密度来表示 CT 图像上的白质病变。

假定血管源性的腔隙(lacune of presumed vascular origin)
灶定义为 1 个充满液体(MRI 信号与脑脊液相似)的圆形或卵圆形的腔,直径为3 ~ 5 mm,并与前期 1 条穿支动脉供血区域的急性深部脑梗死或出血相一致 ;在液体衰减反转恢复(fluid-attenuated inversion recovery,FLAIR)序列图像上,假定血管源性的腔隙灶通常会表现出与脑脊液相似的低信号,其周围则围绕一圈高信号 ;但是,并非所有的腔隙灶都会表现出高信号。当腔隙灶通过白质高信号区域时,高信号可以围绕血管周围间隙 ;而在某些情况下,尽管在 MRI 图像上可见脑脊液样的信号强度,但在 FLAIR 序列图像上,中央腔的液体信号并不总是受到完全的抑制,所以病变可以表现出全部高信号,但在其他序列如 T1 和 T2 加权图像上,可以表现出脑脊液样的信号变化。在诊断时,应将假定血管源性的腔隙灶与血管周围间隙进行区分 ;鉴于直径< 3 mm 的病变是血管周围间隙的可能性较大,因此建议按照直径来区分这 2 种病变。假定血管源性的腔隙灶的最大直径≤ 15 mm,不同于近期皮质下小梗死灶 20 mm 直径的界定值,这是因为陈旧性梗死灶的直径小于新的梗死灶。

周围血管间隙(PVS)
PVS 的同义词包括 Virchow–Robin 间隙和 3型腔隙或筛(位于基底节区时),这些名词术语均被用于描述可见的 PVS。2012 年的共识指南将 PVS 定义为当穿过灰质或白质时,其走向与常见血管走向一致的充满液体的间隙。在所有影像序列中,这些间隙与脑脊液的信号强度相同,在与血管走向平行的层面上呈线性,在与血管走向垂直的层面上呈圆形或卵圆形,直径约< 3 mm ;通常在基底节下部很明显,可见其向心穿过半球白质进入中脑,但是在小脑中较少见。这些间隙可以表现出局部的扩大,有时甚至可以扩大至直径为 10 ~ 20 mm,甚至表现出聚集效应。PVS 必须与假定血管源性的腔隙灶进行鉴别。与假定血管源性的腔隙灶相比,病理状态下 PVS 的直径通常≤ 3 mm,并且在 T2 加权图像或 FLAIR 序列图像上不表现为围绕着充满液体的间隙的高信号圈,除非间隙跨越了白质高信号区。

PVS
脑微出血(CMB)
CMB 在 MRI T2 加权图像上或其他序列图像上表现为小的(通常直径为 2 ~ 5mm,有时可达10 mm)散在信号,对磁化效应敏感 ;但在 CT、FLAIR 序列和 T1 加权图像上不显示。当 T2 加权图像上可以清晰显示 CMB 时,表现为圆形或卵圆形的同质低信号。在 1.5 T 和 3.0 T 梯度回声序列图像上,CMB 的直径通常为 2 ~ 5 mm,有时可达 10 mm。此外,还可以通过磁敏感加权成像来评估 CMB,对 CMB 与自发性颅内深部少量出血进行鉴别。自发性颅内深部少量出血的范围较大,表现为一个不规则的囊腔,其在 T1 和 T2 加权及FLAIR 序列图像上均可显示。
脑萎缩
2012 年的共识指南将脑萎缩定义为与特定局灶性损伤如脑外伤或梗死无关的脑容积减少。推测脑组织减少是由脑沟(周围)和脑室(中心)相对于颅内容积的扩大所引起的。在横截面成像时,经常可以发现由皮质梗死导致的脑组织减少,应将此与由弥漫性病程导致的局灶性或全面性脑萎缩进行鉴别。

脑小血管病转化医学研究中国专家共识(中)
4 CSVD转化研究的影像学技术
2011年,美国医学研究委员会、德国神经退行性疾病研究中心和加拿大卫生研究院共同建立了神经退行性疾病精英中心。2013年,该中心的核心专家组成员共同撰写了CSVD的共识指南,确立了代表CSVD的6种关键性损伤的神经影像学标志(图1),分别是近期皮质下小梗死、假定血管源性的腔梗灶、假定血管源性的白质高信号、PVS、脑微出血和脑萎缩。现将CSVD影像表现的相关影像技术介绍如下。

4.1 计算机断层扫描
计算机断层扫描(CT)是临床上应用最广泛的影像学检查技术,包括CT平扫及增强扫描、CT血管成像、CT灌注成像。头颅CT平扫对观察脑出血具有非常高的特异度和敏感度,脑出血在头颅CT平扫图像上表现为高密度影,但小的出血通常不易观察,脑微出血更容易被漏诊。头颅CT能显示发病12 h以上的腔隙性脑梗死,也能显示部分脑白质病变,且头颅CT血管成像不能显示脑小血管,故CT检查常规不用于CSVD的诊断。
4.2 MRI
MRI是目前检测CSVD最重要的工具。常规检查序列包括:T1加权成像(T1WI)、T2加权成像(T2WI)、弥散加权成像(DWI)、FLAIR、梯度回波序列(GRE)、磁敏感加权成像(SWI),此外还有弥散张量成像(DTI)、静息态功能磁共振等。而MRI上可观察到的CSVD影像学改变主要有如下几种。
4.2.1 近期皮质下小梗死
根据2013年共识指南,近期皮质下小梗死的定义为:脑内一条穿支动脉供血区域的近期梗死,且伴有近期脑损伤一致的影像学特征或临床综合征表现。近期皮质下小梗死多发生在半卵圆中心、放射冠、基底节区、脑干等部位,MRI图像上呈T1WI低信号、T2WI高信号、FLAIR高信号、DWI高信号和GRE等信号。其轴位切面显示急性期梗死直径<20 mm,冠状位或矢状位可以>20 mm。
4.2.2 假定血管源性的腔隙灶
假定血管源性的腔梗灶定义为:圆形或卵圆形,直径为3~15 mm,分布于皮质下,充满与脑脊液相同信号,与穿支动脉供血区陈旧梗死或者出血相关。通常在FLAIR上表现为中心脑脊液样低信号,周边围绕环状高信号。但有时在FLAIR上也可表现为完全的高信号,在T1WI、T2WI上呈脑脊液样信号。
临床工作中常需要鉴别假定血管源性的腔隙灶和PVS,研究指出直径<3 mm的病变是PVS的可能性较大,因此建议按照直径来区分这两种病变。此外,PVS在FLAIR上为低信号,而假定血管源性的腔隙灶通常在病灶周边可以见到稍高信号。
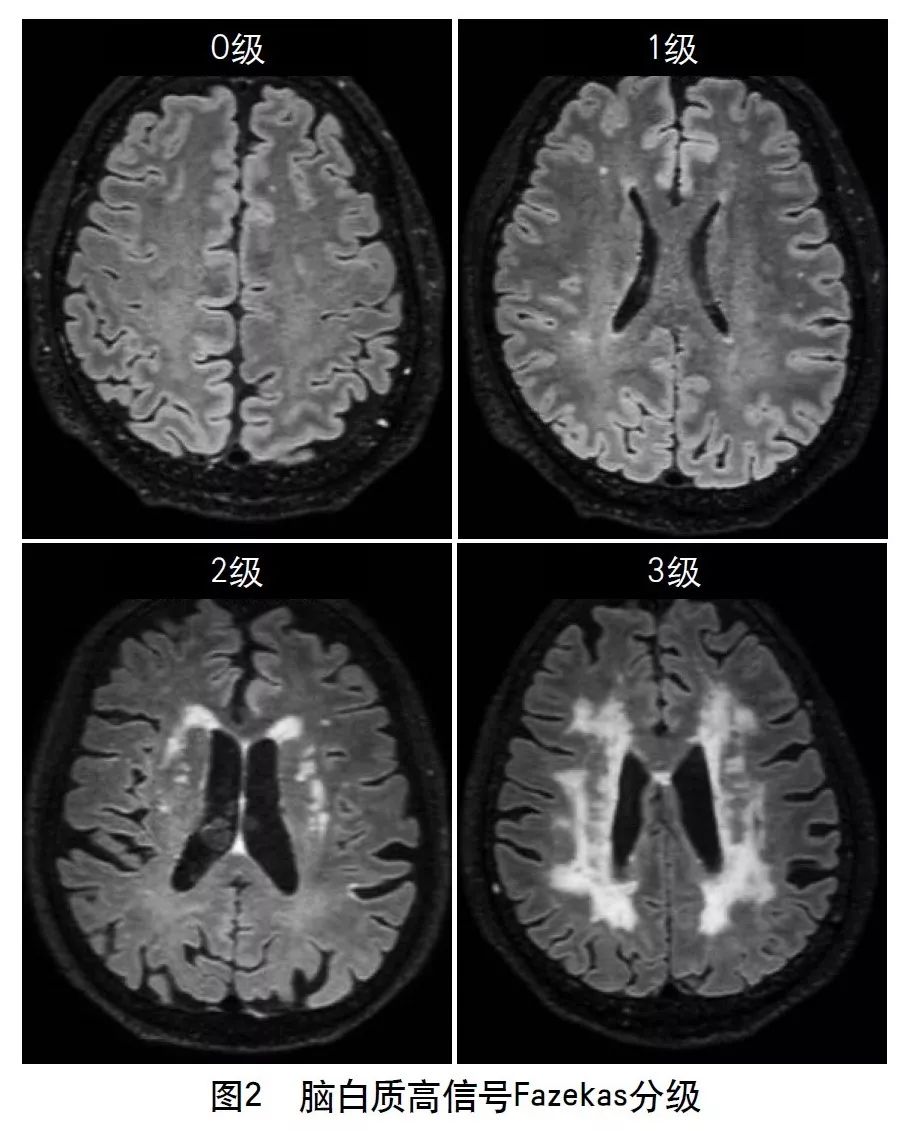
4.2.3 假定血管源性的白质高信号
假定血管源性的白质高信号定义为:脑白质异常信号,病变范围大小不等,在T2WI或FLAIR上表现为高信号,无腔隙,T1WI上呈等信号或低信号(不及脑脊液)。除非特别说明,皮质下灰质病变及脑干病变不属于白质高信号。假定血管源性的白质高信号的提出,排除了由其他非血管源性疾病所致的白质病变,如多发性硬化、白质营养不良等。
目前对脑白质高信号的影像学评价方法很多,主要有半定量和定量评估。半定量方法主要有Fazekas直观评分量表(图2)、年龄相关脑白质改变(ARWMC)量表、Scheltens量表。其中,Fazekas直观评分量表临床最常用,ARWMC量表可结合病变部位进行分析,能提供更多有效信息。定量方法包括Kropper法和FreeSurfer法,主要利用全自动定量分析软件对扫描后的头颅MRI图像进行分析,通过识别病变区异常信号、勾选病变区、计算病变体积来进行定量分级,从而定量评估白质病变的严重程度。

4.2.4 PVS
指南对PVS的定义为:穿过灰质或白质,与常见血管走行一致的充满液体的间隙。PVS扩张在MRI上主要表现为直径<3 mm的圆形、卵圆形或线形的,T1WI上低信号、T2WI上高信号(与脑脊液信号强度一致)、FLAIR上低信号、DWI上无弥散受限的病灶,通常边界清晰、无对比剂增强效应和占位效应。病灶形状取决于成像平面,成像平面与血管走行平行时呈线性,与血管走行垂直时呈圆形或卵圆形。该征象多见于基底节区靠近前联合附近、脑凸面皮层下、半卵圆中心、脑干及外囊,很少出现在小脑,常与假定血管源性的腔隙灶同时出现,需加以鉴别。普遍接受的用来区分两者的特点是PVS直径一般不超过3 mm,且在T2WI和FLAIR上不表现为围绕脑脊液样信号的环状高信号,除非间隙跨越白质高信号区。
4.2.5 脑微出血
脑微出血定义为在顺磁敏感的序列如T2加权梯度回波序列或SWI上表现为小的(通常直径为2~5 mm,有时达10 mm)散在低信号,对磁化效应敏感。病灶通常边界清楚、均质,在T2加权梯度回波序列上有高光溢出效应(指影像学上显示的微出血面积比实际含铁血红素沉积面积大)。需要鉴别的可能出现类似病灶的情况有铁和钙沉积、骨、正常血管断面的流空效应、弥漫性轴索损伤等。此外,还要区分小的陈旧性的深部自发性脑出血,其范围相比脑微出血更大,有不规则囊腔,且在T1WI上可见。常用的直观定量脑微出血的方法包括微出血解剖评分量表和观察者脑微出血评分量表。计算机自动分析是近年研究热点,它可以缩短评估时间,减少个体间评估差异。
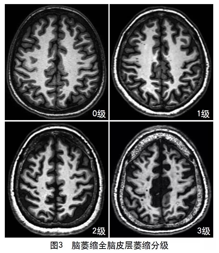
4.2.6 脑萎缩
2013年的共识指南将脑萎缩定义为与特定的局灶性损伤,如脑外伤或脑梗死无关的脑容积减少。脑萎缩可以是广泛的或局部的(如特定的脑叶或海马等特定区域),可以是对称或不对称的,亦可以是组织选择性的(如发生在白质等某一特定组织层)。目前不同部位的脑萎缩有相应的诊断标准,全脑皮层萎缩分级用于评价全脑(图3);内侧颞叶萎缩分级主要评价颞叶内侧,重点是海马(图4);Koedam分级主要评价顶叶,尤其是扣带回和楔前叶(图5);Kipps/Davies分级主要评价额颞叶(图6)。推测脑组织减少是由脑沟(周围)和脑室(中心)的脑脊液空间相对于颅内容积扩大所引起的。




4.2.7 脑微小梗死
临床上常用的是1.5T、3.0T的MRI,近年来研究常用的7.0T MRI具有更高的成像分辨率,能提供更细微的脑结构信息及脑实质病变信息,7.0T MRI应用后有研究者提出脑微小梗死的概念——脑微小梗死是肉眼不可见而组织学可检测到的梗死灶,显微镜下可见细胞死亡和组织坏死。在CSVD中处于亚毫米水平的脑微小梗死以往仅见于神经病理学中,并被认为是导致脑萎缩和认知功能下降的独立危险因素,使用7.0T MRI能够很容易检测到皮质脑微小梗死,并在组织病理学中得到验证。
4.2.8 脑结构与功能网络完整性
脑白质结构的完整性可以通过DTI进行定量评估,一项系统综述发现,目前已有较多研究应用DTI技术验证了脑白质微结构损伤与CSVD常见的临床表现(如认知障碍、情绪障碍及运动能力)显著相关。利用DTI图像可以分析大脑区域之间白质连接的强度、复杂性及结构网络的效率,利用静息态血氧水平依赖的MRI技术能够识别脑网络的功能连接。近年来寻找CSVD脑损伤时脑结构与功能连接改变也逐渐成为研究热点,但目前还未能实现临床转化,仍需要更多在不用人群中展开、纵向的研究,以验证脑微结构损伤是否能够作为方便可靠、可重复的早期诊疗指标。
总之,在当前很多疾病的发病机制研究中,临床影像学是非常重要且可靠的研究手段。影像学技术的进步与影像采集及影像后处理的标准化提高了CSVD的影像学诊断水平,为阐明CSVD在神经退行性病变中的作用及其具体发病机制提供依据,从而使早期干预高危因素、改善预后成为了可能。可以期待,随着新的影像学技术的发展和标准化工作的推进,今后可以联合多模态影像资料与病理学资料,进一步深化疾病研究,助力临床诊断、治疗工作。
5 CSVD的量表评估
CSVD典型的认知功能损害表现为反应迟钝、执行功能受损,包括高级认知功能如计划、组织和行为监控方面,记忆障碍、行为紊乱以及精神症状,如焦虑、抑郁等也很常见。CSVD患者的认知功能损害需要综合考虑年龄、情绪和神经变性等因素的影响,量表评估可从初步筛查、整体认知筛查和认知亚领域评估等几个方面进行。
5.1 脑小血管病的初步筛查
5.1.1 《AD8》痴呆筛查量表和简易智力状态评估量表
《AD8》是一项询问知情者的认知损害筛查工具,中文版由北京大学精神卫生研究所修订编制而成,通过询问知情者或正常老人本人在过去一段时间中是否有因认知问题导致的改变,以2分作为认知损害界限的敏感度和特异度分别为93.9%和76%。简易智力状态评估量表是由三项物体回忆和画钟试验两部分构成的3-min简易筛查量表。前者主要评估记忆功能,而画钟试验测查的领域还包括视空间技能、执行功能、语言理解功能等。上述两个量表简便易行,受文化、种族、言语的影响较小,适用于社区、初级保健门诊和非记忆障碍专业门诊的早期筛查。
5.1.2 患者健康问卷-9项目
患者健康问卷是Spitzer等根据美国精神疾病诊断与统计手册第四版编制的用于初级医疗保健机构评估精神障碍的自评工具,其中患者健康问卷-9项目的编制是基于美国精神疾病诊断与统计手册第四版关于重性抑郁障碍诊断标准的9条症状标准,具有良好的敏感性和特异性。
5.1.3 广泛性焦虑自评量表
广泛性焦虑自评量表是基于美国精神疾病诊断与统计手册第四版编制的用于广泛性焦虑的自评筛查量表,因其信效度高、简单易于操作,已被广泛应用于临床工作中,包含7个条目,可用于临床上对于焦虑障碍患者的自我评估。
5.2 CSVD的整体认知功能筛查
目前临床上无专门针对CSVD的认知障碍整体评估量表,最为常用的仍为简易精神状态量表(MMSE)和蒙特利尔认知量表(MoCA)。
MMSE是国内外应用最为广泛的整体认知功能筛查量表,该表已标准化,总分30分,识别痴呆的划界分为文盲组≤17分、小学组≤20分、中学或以上组≤24分。该量表对记忆和语言(左侧半球卒中)敏感,对痴呆诊断的敏感度和特异度较高,但缺乏执行功能的评估,可能对CSVD所致的最为常见的皮质下型痴呆和轻度认知功能障碍敏感度相对较差。
MoCA包括了视空间、执行、命名、记忆、注意、语言、抽象及定向能力在内的8个认知域功能的12个检查项目,总分30分,在不同地区、不同版本的MoCA的划界分有差异。MoCA对轻度认知功能障碍的检测敏感性显著优于MMSE,而该表缺点是文盲与低教育人群的适用性较差。
此外,Hachinski缺血量表主要用于血管性认知功能障碍和阿尔茨海默病的鉴别,评定的主要依据来源于病史收集、体格检查和精神检查,由13个项目组成,总分为0~18分。≤4分疑为老年性痴呆,≥7分疑为血管性痴呆,5~6分为混合型痴呆。
5.3 CSVD的认知功能亚项评估
为全面了解受试者的认知障碍,应开展较为详细的成套认知评估,并综合语言差异、受教育程度等得出结论。可根据具体的认知功能评定需要选择不同的神经心理学量表来测评单项认知功能。
着重评估受试者的执行功能和信息处理速度,可选用斯特普色词测验,分析每张卡片耗时数,正确阅读数和干扰量;或连线测验B,分析耗时数和错误提醒数。
评估受试者的注意功能,可选择连线测验A,分析耗时数和错误提醒数;或数字符号测验,计算正确数;或数字广度测验,记录能够复述的最高数字位数。
针对性判定受试者的其他维度认知功能,以中文听觉词汇学习测验或Rey-Osterrieth复杂图形回忆部分评估记忆功能;言语流畅性或波士顿命名测验修订版评估语言功能,或增加全面的失语症检查,如北京大学第一医院汉语失语成套测验;画钟测验或Rey-Osterrieth复杂图形临摹部分评估视空间功能;神经精神问卷评估精神状态;汉密尔顿抑郁量表评估抑郁状态。
5.4 量表评估的注意事项
首先,评估人员需要接受该量表专业培训。其次,认知评估需考虑脑血管病本身所导致的感觉运动、视听和语言等功能障碍以及谵妄、淡漠等神经精神症状对认知和日常生活能力的影响,要鉴别出认知成分对功能障碍的贡献。再次,可以进行阶段性的认知评定,定期如每3个月进行认知功能的评估随访。
5.5 CSVD量表评估的专家推荐意见
CSVD认知障碍的突出特征为执行功能障碍,信息处理速度下降,注意功能障碍和(或)视空间障碍(专家共识)。CSVD的整体认知筛查可以采用MMSE、MoCA量表,特征性认知损害可采用斯特普色词测验、连线测验、数字符号测验或数字广度测验来评估,同时需考虑患者的年龄、教育和语言障碍、情绪等相关因素(专家共识)。