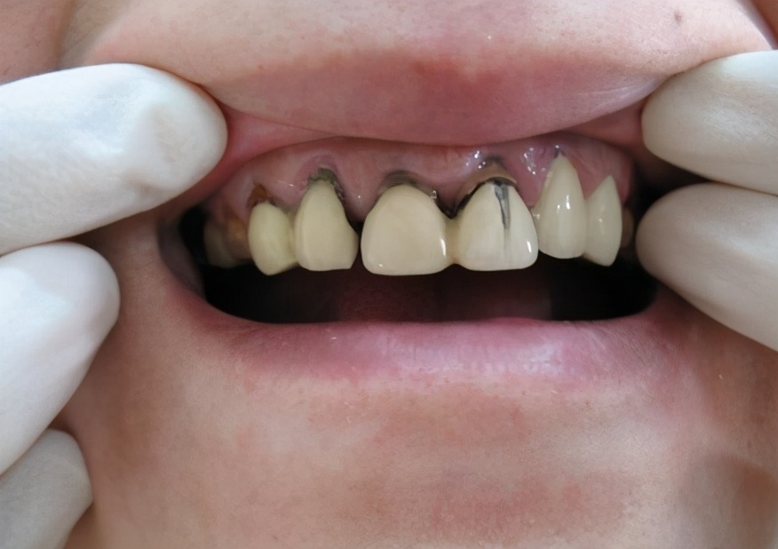
做了烤瓷牙的患者,在数年后牙齿出现问题,拆掉烤瓷牙后里面的牙齿全都坏掉了,这样的病例并不少见!尤其是做得不好的烤瓷牙。
因为要做烤瓷牙是需要磨除大量健康牙体为基础,再套上牙冠!如果烤瓷牙做得不够严密,更加容易导致里面的基牙腐烂、有异味,并且也会出现牙龈发炎、烤瓷牙边缘发黑等问题。

虽说烤瓷牙可以拆掉重做,但是你磨掉的牙齿再也无法恢复,这对健康的牙体是大大的损伤!吃东西也不方便了。所以,即便要做烤瓷牙也必须要选择正规、专业的医生来做。
如果是因为牙齿缺失,建议优先选择种植牙,能不磨牙千万不要磨牙!

如今,种植牙备受街坊青睐,是什么原因?
由于种植牙是有自己独立的人工牙根(种植体),整体的结构跟真牙几乎是一样的。所以其无论是从美观、实用性、耐用性等方面都完胜,因此越来越多的缺牙患者都会优先选择种植牙来做修复。
而且现在种植牙技术也越来越成熟,是非常安全的一个微创小手术,疼痛少、恢复快。

而且种植牙寿命也是相对比较长的,日常做好口腔清洁、定期复诊可用十几年甚至几十年;相比烤瓷牙几年可能就会出现问题,需要更换,而且容易引发一系列口腔疾病。
所以总体来说,种植牙的性价比是比较高的。虽然治疗时付的费用较高,但它好用、耐用、用得久!