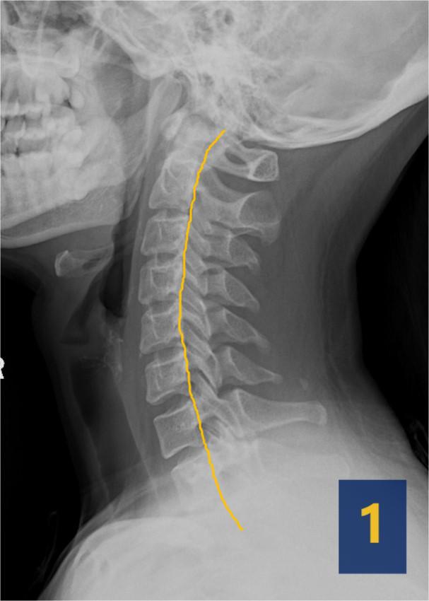
常规颈部侧位片观察颈椎生理曲度的变化:同为40岁左右的颈椎,图1是正常的,图2为异常。



人出生的时候,颈椎曲度是向后凸起的,随着抬头、爬行、坐立、直立、行走,目视前方,身体后侧肌肉韧带等软组织变强拉起身体,颈椎就需要向前凸起。医学上把颈椎向前的弧形凸起称为颈椎生理曲度。颈椎生理曲度能有效增强颈椎的弹性,减缓由重力带来的冲击作用,可最大程度保护大脑和脊髓免遭外界损伤。
长期坐姿低头、不良的睡姿和椎间盘髓核脱水退变时,颈椎的前凸可逐渐消失,甚至可变直或呈反张弯曲会引起颈椎局部结构发生功能性改变,有些人可能不会出现任何症状,有些人可能会因压迫神经根出现手麻木、颈部疼痛不适;同时颈部大动脉发生迂曲,血管管腔变窄,大脑供血减少,从而出现眩晕、恶心、呕吐等症状。除此之外,还会造成周围肌肉、筋膜组织的改变,造成颈肩肌肉紧张、僵硬、酸痛不适、上肢无力、手指发麻。
临床研究表明,颈椎生理曲度异常是颈椎病最早出现的病理改变,常贯穿整个疾病病程,已成为早期颈椎病诊断的重要指标。但是严格意义上来讲,单纯的颈椎生理曲度变直不是颈椎病,也就是说颈椎生理曲度变化和颈椎病不存在相关性,但其变化却可以作为颈椎病的表征。
目前,真正需要担心的是颈椎曲度异常发病年龄越来越年轻化。有报道称我国青壮年颈椎病发病率逐年增加,其中颈椎曲度异常率高达90%,而颈椎曲度变直占大多数。