锁骨骨折是人体最容易发生的骨折之一,其机制往往是直接撞击或摔倒时手部前伸产生的传导应力。锁骨骨折好发于锁骨中段,约占80%,其次为锁骨远端、锁骨近端。

相关解剖学要点
锁骨呈横“S”型,横架于胸廓上方,内侧粗大为胸骨端、外侧扁平为肩峰端。内侧2/3凸向前,呈三棱形,外侧1/3凸向后,呈扁平型,骨折部位多发生于内外侧交界处。锁骨是唯一直接与躯干相连的上肢骨,支撑肩胛骨,使上肢远离胸壁,从而保证上肢的灵活运动。

锁骨相关肌肉解剖:
- 胸大肌:起自锁骨内侧2/3端、胸骨前面、第1-6肋骨前面等,各束聚合向外,以扁腱止于肱骨大结节嵴,作用时使肩关节内收、内旋。
- 三角肌:起自锁骨外1/3、肩峰和肩胛冈,止于肱骨三角肌粗隆。作用是使肩关节外展。
- 锁骨下肌:起自第一肋与肋软骨结合处,止于锁骨中1/3下面。功能是固定锁骨或抬高第1肋骨。

锁骨相关韧带解剖:
- 喙锁韧带:由内侧的锥状韧带和外侧的斜方韧带组成,对肩锁关节稳定性至关重要。对于锁骨骨折合并喙锁韧带断裂,往往提示预后不良,通常主张进行手术修复或重建此韧带
- 胸锁后韧带:位于胸锁关节囊的后部,非常坚硬,是防止胸锁关节前后移位的重要结构。

锁骨相邻器官解剖:
锁骨内侧1/3段后下方对应锁骨下动静脉、臂丛神经,肺尖在锁骨内侧高于锁骨头平面,术中应注意保护,以免损伤重要结构。
锁骨骨折分型
Allman将锁骨骨折分为三组:1组为锁骨中段骨折(80%)、2组为锁骨远端骨折(15%)、3组为锁骨近端骨折(5%)。Craig(克雷格)进一步详细分型,其中将第2组(锁骨远端骨折)分为5个亚型。着重了解一下第2组的5个亚型。
- I型:骨折没有移位,骨折发生在锥状韧带和斜方韧带之间或喙锁韧带和肩锁韧带之间。

- II型:骨折移位发生在喙锁韧带的内侧,有很高的骨不连发生率。可细分为IIa型:锥状韧带和斜方韧带均完整;IIb型:锥状韧带断裂、斜方韧带完整。

- III型:肩锁关节面骨折,没有韧带损伤。

- IV型:儿童骨膜套袖骨折。
- V型:粉碎性骨折,韧带附着点在骨折块上,不在骨折近端也不在骨折远端。

锁骨骨折手术指征
锁骨近端骨折:
- 大多数锁骨近端骨折无明显移位或轻度移位,首选保守治疗。
- 当骨折块向后移位突入颈根部或纵膈内,对血管、神经有压迫风险,可行手术切开复位内固定治疗。
锁骨中段骨折:
- 开放性锁骨骨折。
- 伴有锁骨下神经血管损伤的骨折。
- 移位明显,骨折端的皮肤被顶起,有可能皮肤被刺破进展为开放性骨折。
- 同侧的锁骨和肩胛骨骨折(漂浮肩)。
- 移位超过锁骨直径或短缩超过2cm的骨折。
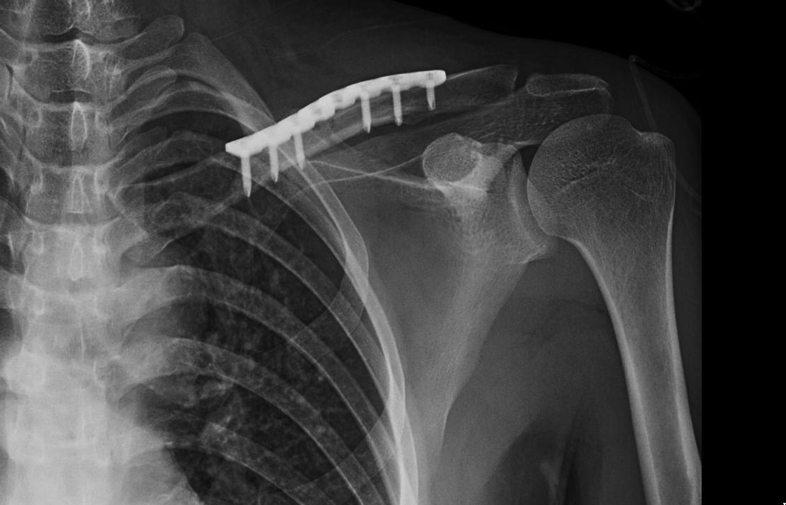
锁骨远端骨折:
锁骨远端II型骨折首选手术治疗。

术中注意事项
- 锁骨近端骨折切口为沿锁骨头、胸骨柄的项链印记的Langer’s线切开。锁骨中段骨折切口沿锁骨表面纵行切口,切口平行于锁骨长轴,略低于锁骨。锁骨远端骨折切口沿锁骨、肩锁关节表面做弧形切口,切口中间弧向喙突。
- 术中应注意锁骨有上下、前后、旋转三种运动形式,骨折复位时除了注意锁骨轴向稳定外,骨折断端各需3枚螺钉以控制旋转,避免内固定失效。
- 手术患者发生骨不连往往与内固定不稳定及软组织损伤导致血供破坏有关,对于简单骨折,尽量在骨折断端应用拉力螺钉加压固定。
- 锁骨中部血供主要来源于骨膜的血管(胸肩峰动脉的分支),自胸大肌和三角肌附着处进入,手术中应尽量较少骨膜剥离。
- 对于锁骨远端骨折应用锁骨钩钢板时,骨折近端至少要用3枚螺钉固定。术后三角巾悬吊6周,每日至少取下三角巾5次,做肩关节钟摆、划小磨运动。6周后去除三角巾,肩关节开始做肩关节全范围功能锻炼。
