
题图,素材来源:照片中国网
小编曾在中学时代读过鲁迅先生的文章《藤野先生》。其中一段写到藤野先生曾问鲁迅:“我听说中国女人是裹足的,就是不知足骨变形成了怎样?”当时小编也对这个问题抱有极大的好奇,奈何课业繁忙,只好作罢。前不久,小站有一篇周一的文章,写的是一位女士拆开小脚复仇的故事。这个故事再次激发了小编对裹足这一学(ba)术(gua)问题的好奇。于是,搜集整理了一些相关的资料作为今天的文章,算是法医秘史小组解剖学系列的第三谈。

法医秘史丨第26辑 裹小脚这件事,到底有多重口?
1
中国裹足的历史。
迄今为止,公认的有史书记载的裹足开始于中国历史上的南唐。南唐的第三位皇帝,是一位没有干啥正事儿的统治者,他琴棋书画样样精通。说到这里,有的读者会问,琴棋书画样样精通为什么还说人家没干正事儿呢?那是因为这位老兄的本职工作是管理国家,每天按时上下班儿批批奏章啥的,琴棋书画放在他“业余时间”才是正理儿啊!结果这位老兄刚好反过来。这位皇帝想必大家已经猜出来他的名字了,没错,就是南唐后主李煜。因为他不干正事儿,所以用现代的说法,作得都已经能作出花儿来了——他有一位妃子,名唤窅(yǎo)娘,这位窅娘有一嗜好,是用帛包裹足部,令其成月牙形,然后跳舞。李煜别出心裁,用黄金做成莲花装饰在一座台子上,让他这位妃子在上面跳舞。因为这座台子是用“黄金莲花”作装饰,窅娘又把脚包裹成月牙状形如还没有盛开的莲花,所以后人又称这种足为“金莲”。这是中国历史上第一次记载裹足,此时,裹足这一风俗尚未兴起。
但是,到了宋代,裹足之风开始逐渐盛行。小说《水浒传》中的西门大官人就是假借捡筷子,在桌下偷摸潘金莲的“小脚儿”而达到*引勾**的目的。到了金元时期,裹足之风日胜一日,明代更胜,明代朱元璋的媳妇马皇后因为是个天足大脚,所以朱皇帝对这件事儿是讳莫如深!明朝灭亡以后,满清入关,满族禁止汉人女孩儿裹足——当然这不是为了当时女性的身体健康,而是基于如下两点理由:
第一,满族人的女孩不裹足,汉人姑娘才裹,作为统治阶级的满族认为,必须让汉人和满族的风俗统一,所以禁止汉族女孩裹足;
第二,当时的一些*用御**文人歪批历史,总结出了一个诡异的结论:裹足者必失天下。他们的根据是:南唐裹足,宋不裹足,宋灭南唐一统天下;大宋立朝后不禁裹足之风,被不裹足的元取而代之;元占领中原后听任裹足之风盛行,结果败在不裹足的朱元璋手下;朱元璋得天下后裹足之风更盛,终将皇权落于不裹足的八旗人手中……然并卵,当时的汉族姑娘依旧偷偷裹足,致使清朝在康熙三年不得不颁布法令,凡康熙元年之后所生之女,若有违法裹足者,父母为官者交吏、兵二部处置,父母为民者交刑部“责四十板,流徙十家”,地方官对裹足之事失察者,“枷一个月,责四十板”;上级官员对裹足之事督察不力者,一律“听吏、兵二部议处在案”。即使这样,依旧未能有效地禁止当时的裹足之风,而真正让中国女性从裹足中解放出来的是辛亥革命!
PS:截止到这里,小编又找到了一篇关于裹足的考古学文献:2008年冬季,江苏省宿迁市宿豫区对侍岭镇尖墩墓地的一座汉墓开展了抢救性考古挖掘工作。从墓内人骨的牙齿磨损程度看,墓主人是不超过40岁的年轻女性,除足部外,身体各部位发育均正常。她的足部足面骨骼略有弯曲,足尖蜷伏,且两足形状相同。参与挖掘工作的同志对这具标本的畸形脚是否为裹足的争论较大。假如确定这具女尸的足骨真的由裹足形成的话,那么中国的裹足历史大概就要被追溯到汉代了~

汉代女尸足骨畸形图片,图片来源:文献[3]
几千年的裹足之风屡禁不止,难道是因为裹足对女性身体有什么好处吗?那您就想错了,非但没有好处,反倒对健康有很大的损害。最简单的就是,大家都知道足部有足弓这一结构,由于足弓的存在,把由脊柱支撑的力量充分地通过足弓传导到地面,分散人体骨骼受到的压力。而裹足破坏了这种力的平衡,对机体的健康造成极大损害。下面我们将具体说明如何裹足、裹足对机体造成的损害以及损害的方式。

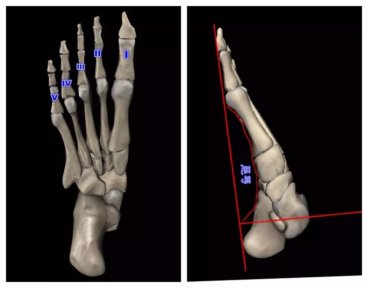
足弓解剖模式图,图片来源:文献[4];注:图中I-V所标注为第一到第五趾骨

缠足妇女日常足部包裹所需物品,图片来源:文献[2]
2
裹足方式
中国大部分地区的裹足方式(下列说明读者可参照上文足弓解剖模式图)
第一步:用布条持续横向缠裹前足,将2‐5趾压向足底内侧,并随足部骨骼逐渐适应而逐渐加力。
第二步:用布条持续纵向缠裹足部,令前足与足跟靠拢,并逐渐加力,使足弓增高。用这种方法缠足的妇女,足部畸形形成以后,由于足前部细小,并且足趾位于足底难以承重,行走时足跟负重,形成典型的跟行足步态。
除此之外,福建、台湾等地区还有各自的裹足方式。
第一步:用布条纵向持续缠裹足部,使前足向足跟靠拢,并逐渐加力。
第二步:由于前足下垂,行走时各足趾被动背伸,各跖趾关节向上弯曲形成半脱位,使各足趾平面与地面平行,成形后足趾平面低于足跟平面。用此种方法缠足的妇女,行走时足跟不能着地,必须依靠前足负重并穿特殊的“高跟鞋”才能行走,形成马蹄足步态。
我们按裹足方式不同,将裹足后的畸形分成了两种:
1.跟行足型(山东型)
2.马蹄足型(福建型)

两种裹足的外形比较,图片来源:文献[2]
3
裹足对机体造成的损害以及损害的方式
那么裹足又会造成哪些足部的病理改变呢?下面我们分别介绍一下。
(1)跟行足型:后跟大,前足小,足弓高,第2‐5趾在脚下。具体描述如下:第2‐5趾部分或全部,向下向内弯曲并贴于足底,足前部失去正常形态,严重者呈三角形;足弓增高,足背与正常比较明显凸起,严重者足底挤压形成横行凹陷;长期以足跟着地方式行走,足跟较正常足肥大;除拇趾外各足趾位于足底,长期摩擦趾背形成胼胝;部分病例有双足畸形形态、畸形程度不对称,部分病例足趾畸形呈不规则状,多数病例存在拇外翻,个别病例存在拇内翻,严重病例行走时需裹足并穿特制平底鞋。
(2)马蹄足型:后跟小,前足大,足弓高,前足平面低于足跟平面,呈阶梯状。具体描述如下:长期以前足负重方式行走,前足较大,足跟较小;足背向下弯曲,接近或超过与地面垂直的程度;各足趾并拢并向上弯曲,与地面平行;足趾平面与足跟平面之间形成落差,呈阶梯状;足背明显隆凸,足底挤压形成横行凹陷;部分病例足趾也被挤压出现不规则畸形,严重病例行走时需裹足并穿特制“高跟”鞋。
裹足的影像学改变:

两种裹足畸形的影像学表现,图片来源:文献[2]

跟型足的三维CT重建,图片来源:文献[2]
下面我们介绍一下裹足对女性的危害,主要体现在如下几点:
第一, 对女性身体健康的损害。因为下肢稳定的解剖学支撑结构被破坏,使得裹足女性在日常生活中无法进行正常的步行和站立。
第二, 对女性人格尊严的践踏。
第三, 剥夺了妇女参加劳动和其他社会活动的权利。
以上就是裹足对中国女性的危害。大家可能会想,在中国古代,女性为了美而裹足也是蛮拼的,就和现在的割双眼皮,隆胸差不多。这你就错了,即使在现代社会,大多数女孩儿还是在间接地“制造裹足”——穿高跟鞋。当然女孩为了美而穿高跟鞋是无可厚非的,小编也不是说穿高跟鞋不对,只是建议各位姑娘请合理适当地穿着高跟鞋。因为高跟鞋穿着时间过久,会对脊柱的受力情况造成破坏,从而成为女性颈腰椎疾病的诱因。
写完本文,小编大胆猜测,本站周一小组那篇女士拆开小脚复仇的文章,文中的女士裹足应在她较年长时。若为年幼裹足,那么年长时,足骨畸形已经形成,此时拆开裹足已无法恢复足部的正常解剖结构和生理功能。
◆ ◆ ◆
参考文献
[1]杨巨源.中国女子裹足小考[J].史林探幽.2003.02
[2]秦为径.雷伟.中国四省部分地区现存缠足畸形抽样调查.第四军医大学学位论文.2008.05
[3]李庚善.从考古发现的人骨架谈古代女性的裹足问题[J].长江文化
[4]解剖模拟图Mr.3Dbody
本期编辑团
主稿:我在你左右;美编:以默;校对:以宁;排版:秋舞珏



