查证专家:@眼科教授林顺潮|亚太眼科医学杂志总编辑
前段时间,澳大利亚一名16岁男孩,在自家后院用激光笔束照射飞机,警方随后派出一架直升飞机调查,但直升机也收到激光束照射,机上一警察视力还受到影响。警察以涉嫌袭击的罪名逮捕了该男孩。

来源:央视新闻
在去年12月也报道过“激光笔致人眼损伤”的事件:江西南昌一名9岁的小学生,放学后缠着母亲买了一支激光笔,出于好奇,拿着激光笔照了眼睛几秒钟,随即眼前一片漆黑,去医院诊治时左眼已失明,损伤不可逆。
激光笔的光束能直接射到天空中的飞机?激光笔的威力到底有多大?接下来的内容可能让你大吃一惊。

飞机视角看到的激光光线
还原 · 激光笔灼伤眼睛全过程
激光笔的危害可能远比你想象的还要严重。
曾经有人购买过功率为200毫瓦的激光笔,分别进行了点烟和点火柴的实验。在实验中,激光笔的光束能将两米外的火柴点着,15秒的时间内可以点燃香烟。

相信大家都很好奇,小小激光笔是如何灼伤眼睛的呢?首先,让我们来认识一下眼睛的构造。
若把眼睛比作成一台照相机,角膜就是镜头盖,晶状体就是镜头,成像的是视网膜,相当于照相机的胶卷。
当光线从前到后进入眼球,正对着视网膜中心位置的结构就是黄斑。黄斑是我们产生视觉最重要的地方,布满感光细胞,主要负责精细视觉,包括阅读和辨别颜色等。所以,黄斑一旦发生病变,就会严重影响中央视力,甚至导致失明。


有些人会问:“闪光灯也很亮,为什么眼睛不会被闪光灯亮瞎,但却会被激光笔灼伤呢?”
这是因为相机的闪光灯是氙弧灯,属于扩散光源,无法聚焦到视网膜,所以能量不足以伤害眼睛。
但是,激光束是点光源,因为眼睛的成像特点,能量可以瞬间聚焦到一个点状区域(例如黄斑),如果激光笔近距离直射入瞳孔,或是激光能量足够强(激光输出功率>1毫瓦),眨眼的时间,就可以烧灼视网膜,破坏黄斑区感光细胞,造成永久性的视力损伤。
正因如此,激光笔的安全性屡屡遭受质疑。很多家长朋友都在关心一个问题:学校里老师上课用的激光笔,是否也有可能对孩子的视力造成伤害,甚至看一眼激光就导致失明呢?

真相 · 激光笔的损害与照射位置、功率和时间相关
激光对于视网膜损害程度取决于激光波长(颜色)、功率大小、照射的时间长短、瞳孔的大小等,最重要的是其照射的位置和距离。
如果是我们近距离直视激光笔,激光束将会直接聚焦于黄斑区。黄斑部虽只占视网膜很小的一块面积,中心凹直径仅2mm左右,却是我们视觉最敏锐的地方,也是最薄弱的地方。而且由于黄斑中心凹处无血管及神经分布,热量扩散功能很差,所以在受到激光作用后比视网膜的其他部位更容易遭到破坏。
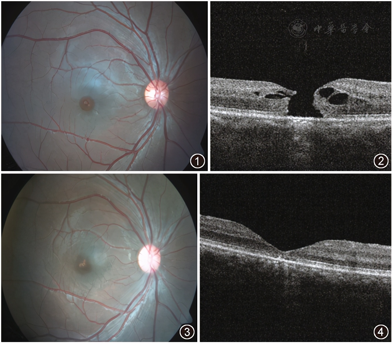
2019年,《中华眼科杂志》刊登了这样一篇病例:一名13岁的男孩右眼被激光笔短时照射0.5秒,1年后视力下降至0.1,矫正无提高。临床诊断为右眼黄斑激光灼伤、右眼黄斑裂孔。因为患者没有及时就诊,直至照射后1年发现右眼视力下降明显才就诊,虽然术后黄斑区结构恢复正常,但激光导致的中心凹处丧失的感光细胞不可再生,因此术后视力改善不明显。

激光笔照射导致眼底黄斑全层裂孔,裂孔周边视网膜囊样水肿
眼科医生:激光笔不是玩具,黄斑损伤不可逆!
据了解,目前我国市面上销售的激光笔,普遍存在功率过高的问题,大部分产品功率在1 毫瓦之间,有的甚至大于5毫瓦,这对公众的视力安全造成巨大隐患。
国家现行的GB7247标准将激光对人体的危险度分为四级,其中一级标准的激光输出功率小于0.4毫瓦,在人体可以承受范围内;二级标准的激光输出功率在0.4毫瓦至1毫瓦之间,会使人出现头晕眼花甚至恶心等症状;三级激光输出功率在1到500毫瓦之间,若光束直接射入眼睛,会对眼睛造成伤害,近距离照射可致盲;四级激光输出功率大于500毫瓦,有可能产生火灾危险。

眼科医生建议,办公或教学用的激光笔,一定要选择符合国家安全标准的产品。使用时不能用激光直接照射眼睛,或用光学仪器(放大镜、望远镜等)观察光束,更不能给孩子玩。尤其是大功率的激光笔,对黄斑的损伤是不可逆转的,而且目前并无针对激光损伤的特效治疗方法。
所以,一旦不小心被激光笔照了眼睛,一定要第一时间到眼科医生处就诊,查看眼底黄斑是否有病变。如果只是轻微的角膜发炎,可以用抗生素眼药水和营养上皮的眼药水点眼,一般可在24小时痊愈。但如果自觉视力下降明显,或者眼前岀现固定黑影遮挡的情况,那么很可能损伤了视网膜黄斑部,需要考虑手术治疗,防止出现严重的视力损伤。

日常生活中还有哪些可见光需防护?抗蓝光产品真的有效?
日常生活中,除激光笔外,对眼睛有害的光源还有紫外线消毒灯、灭蚊灯、电焊光等。这些都有可能导致电光性眼炎。建议相关人员工作时,最好戴上太阳镜或护目镜。若强光照射下眼睛出现疼痛、畏光、流泪、异物感等不适,应第一时间前往眼科医院进行处理。
大家更为熟悉的、常听到的是“防蓝光”,市面上各式各样的防蓝光产品让人眼花缭乱,比如眼镜、手机膜、屏幕保护膜等等。
很多人可能会觉得,手机的蓝光看多了会瞎。其实事实并非如此。

并不是所有的蓝光都对人体有害,蓝光也有好有坏。400-450纳米的短波长蓝光是有害的,主要来自电焊和太阳的短波长蓝光,人眼对这个范围内的蓝光辐射耐受较低。手机、iPad、电脑等屏幕发出452纳米的蓝光,能量比较低,相对安全。
而且目前也没有明确的临床研究证明,日常生活中的屏幕蓝光会伤害人类眼睛。蓝光有可能引起对视网膜的光化学损伤,其实是一个科学上的假说,主要的数据来自于动物和体外研究。
值得关注的是,现在市面上大量出现的一些防蓝光产品,如手机膜、防蓝光眼镜等,由于对蓝光的过滤能力标准不一,有些对蓝光阻断率高的眼镜戴上之后,很明显会降低屏幕的亮度。如果选择戴这样的无效防蓝光眼镜,很可能比蓝光本身更有害,会导致视觉色偏,加重眼球疲劳。
所以,有三种人眼科医生不建议佩戴蓝光眼镜:儿童、健康人和容易眼球疲劳的人群。不管你是对防蓝光产品宁可信其有,还是宁可信其无,对于一个科学假说,我们都要以更严谨的态度去看待,更不应该把防蓝光眼镜当做护身符,佩戴后就不节制用眼。
参考资料:
[1] GB 7247.1-2012《激光产品的安全 第1部分:设备分类、要求》
[2] 《蓝色激光致黄斑裂孔一例》,中华眼科杂志 2019年04期.
[3] 《黄斑裂孔手术效果佳宜早不宜迟》,信报.
[4] 《保护眼睛免受紫外线侵损》,信报.
[5] 《真相·激光笔会致盲吗》,丁香医生.