导语:小儿脑白质海绵状变性综合征主要的表现是头围出现增大,或者是出现神经系统功能下降,此病是常染色体隐形遗传病。主要是由天冬氨酸酰化酶缺乏引起的。此病会影响脑部,易出现脑出血等症状。

一、小儿脑白质海绵状变性综合征,主要的病因是什么?发病机制如何?
1、发病原因
小儿脑白质海绵状变性综合征病因不明,一般认为为常染色体隐性遗传。
经常染色体隐性遗传病:一个人要发生常染色体隐性遗传病,他必须复制两个异常等位基因。在某些人群中,可能存在高度杂合子或航空公司,因为其起源较少(一小部分人口起源于此),或者是因为祖先赋予运营商某种选择优势(例如,在镰状细胞性贫血中,杂合子个体没有疟疾)。
2、发病机制
病变为重度脑水肿,脑重、脑大、脑软、脑回扁平。大脑皮层星形细胞膨胀,形成空泡状结构。白质部水肿影响胞外区,胞外区及髓鞘出现空泡,故称为海绵变性。后期出现严重的脱髓鞘和胶质细胞增生。
脱髓鞘:脱髓鞘是一种主要的后遗症,其病因不同,临床表现也不同,但有相似之处。病变特点为神经纤维髓鞘缺失,神经细胞较为完整。髓磷脂的作用是保护神经细胞,使神经冲动能迅速传递。所以髓鞘的缺失影响神经脉冲的传递。其临床表现为:精神症状:如易激动、流泪、大笑、失忆等;肌张力障碍或声音严重程度不同;视功能障碍;感觉障碍或异常;肢体活动不利或瘫痪;难产、阳痿等。

二、患有小儿脑白质海绵状变性综合征,主要的早期症状有视神经萎缩,以及去皮质强直等
1、此病发病比较早
小儿脑白质海绵状变性综合征发病早期。婴儿出生后2个月内呕吐,哺乳困难,伴有惊厥,并逐渐麻痹。有些儿童开始时无法直立,出现进行性痉挛和双瘫。
1岁以后,肌肉更加紧张,显示出皮质强健,伸展的状态。对角线出现在有声音,光线,触觉等刺激的时候。
2、去皮质强直(decorticate rigidity)
其特征为上肢屈曲,内缩,腕屈,指屈,下肢伸,足屈。两侧大脑皮层的广泛损伤导致大脑皮层功能减退或丧失,皮层下功能保持不变。常见于缺氧脑病,脑炎,中毒及严重的脑损伤。角状病是指衣领后的高度和直度使身体弯曲如弓。
3、视神经萎缩
两岁后视力下降,视神经萎缩。其特征之一是头围增大,骨缝分离,发病后2-5个月即可出现。在两岁以后,增长速度会迅速,但会放慢。病症逐渐加重,抽搐,出汗,高烧,呕吐,多在4岁时死亡。有原发性的症状,肌肉松弛,困倦,吸吮困难,以及吞咽困难,这些症状会在几周内消失。其它方面发展较晚,智力发展,小脑,视力下降,视神经萎缩和色素变性在5岁时开始出现。、

三、患有小儿脑白质海绵状变性综合征,主要的检查方法有脑CT,脑磁共振成像检查
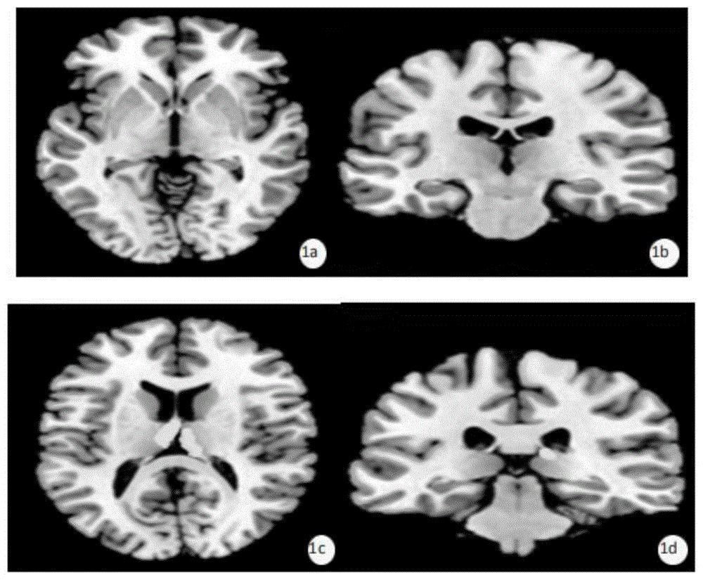
1、脑CT或脑磁共振成像(MRI)检查
核磁共振显示病变下的弓状纤维开始侵犯双半球的深部白质,表现为弥漫性的长T2信号,可侵犯基底神经节,并可侵犯小脑、脑干和脊髓。脑部 CT显示异常,如脑水肿。
2、特异性检查
观察了中天冬氨酸酰化酶在培养上皮成纤维细胞中的活性;产前诊断在羊水中发现 n-乙酰天氨酸。
3、脑电图
无特异脑波改变。
4、眼底检查
有些病人会出现视网膜萎缩和色素沉着。

5、诊断方法
从临床表现来看,头颅 MRI发展缓慢,头围过大,初期肌张力下降,皮质硬度下降,视神经萎缩,痉挛发作,颅内 MRI呈弥漫性变化,上皮纤维母细胞文化发现,天冬氨酰转移酶活性下降,脑脊液正常,脑电图不明确。
四、小儿脑白质海绵状变性综合征,容易和Tay-Sachs病,髓鞘发育不良性脑白质病混肴
某些头围增大的疾病应该加以区别。随着黑穗病发病时间的延长,头周出现樱桃红斑。Alexander病也是一种严重的疾病,但其症状与一般疾病有所不同。
1、Tay-Sachs病(Tay-Sachsdisease)
本病为一常染色体隐性遗传病,与神经鞘代谢有关。脂质 granase己糖胺脱氨酶 a的缺乏导致皮质和小脑神经轴索中神经细胞和神经节苷脂GM2的积累和沉积。眼底镜下视网膜神经纤维变性暴露于黄斑区静脉,诊断为桃红斑。严重的精神和心理运动障碍,出生后6个月内易发作,失明,痉挛,抽搐和惊厥,最后在3岁左右出现脑强直并死亡。该病在德系犹太人中发病率最高。近几年来,杂合子筛查和产前诊断率下降。

2、髓鞘发育不良性脑白质病(Alexander病)
1-2岁的典型患者,生长迟缓,头部肿胀,抽搐,精神和运动功能衰退,没有头部,翻身或坐姿。全身性的肌肉紧张,逐渐变得剧烈痉挛,四肢下降,瘫痪。还可以伴有脑积水,脑干或周围神经损伤的症状。患者会在一两年死于呼吸系统并发症等。发病主要出现吞咽困难,发音困难,以及口齿不清等脑干损伤症状为主,上肢、下肢抽搐较多。智力不会受损。这种疾病进展缓慢,可存活至成年。
3、治疗方法
病因尚不明确,应参照先天性疾病的预防措施。从孕前到产前都要采取预防措施。婚检对出生缺陷的预防具有积极的作用。该检查根据检查的项目和内容而定,包括血清学检查(如乙肝、梅毒、 HIV)、生殖系统检查(如宫颈炎)、全身常规检查(如血压、心电图)、家族病史和个人病史调查等,以及遗传疾病的咨询等。

4、预防
怀孕的妇女应该尽量避免有害因素。孕期保健中,应对出生缺陷进行系统的筛查,如常规超声检查、血清学检查等,必要时行染色体检查。
5、预后
该疾病预后不佳,大多数先天性和婴儿型会在早期死亡,而青少年型会随着年龄的增长而发展。
结语:小儿脑白质海绵状变性综合征,具有家族史,建议做好婚前检查以及孕前检查。此病的症状有头围增大,视神经萎缩等。检查主要采取脑电图,以及眼底检查等。目前还不清楚病因,主要采取预防,防止患儿出生。