
本文由深圳泰康拜博口腔医院 任进 主治医师原创
新冠肺炎来袭,国家号召大众不要出门,躺着就是为国做贡献。好吧,躺着,心里想着待他日疫情好转,火锅烤串走起。大脑神经元,极速放电,你睡不着,胸口闷,脑壳有点儿昏。艾玛,牙好疼,感觉嘴巴张不大了,嗓子也痛了,怎么回事呢?
强忍着痛张大嘴巴,仰天45度,用手机拍了张照片。找到专业网站,开始图文咨询。原来是我的智齿出问题了。下边我们一起来看看智齿发炎的那些事儿吧。

一、什么是智齿
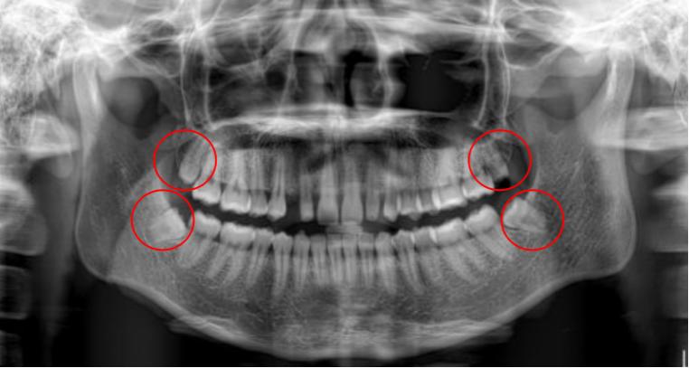
智齿也称第三磨牙,一般在18-25岁左右萌出,是人一生中最后萌出的牙齿,此时人心智基本成熟而得名。

二、智齿为何容易发炎?
随着人类的进化,头面部的骨骼,肌肉,牙齿也在退化,只是骨头较牙齿退化得快一些。也就是骨头变小的速度大于牙齿数目减少的速度,导致相对较小的骨头容纳不下现在的牙齿,智齿又最后萌出,没有了空间,可能完全阻生,也可能部分或完全萌出。
萌出之初,牙冠和牙肉之间形成空隙。上颌因为智齿靠近软腭,刷牙易引起恶心,下颌智齿靠下颌骨的前方,空间有限,牙刷刷头较难深入,清洁不到位,食物残留,细菌聚集,引发感染,称智齿管周炎。

三、智齿冠周炎的临床表现
智齿冠周炎常以急性炎症的形式出现。
1、炎症初期
一般无明显全身反应,可表现为牙冠周围肿胀不适,当进食咀嚼、吞咽、开*活口**动时疼痛加重。
2、病情持续发展
局部可出现放射性痛,炎症侵及周围肌肉出现不同程度的张口受限,甚至“牙关紧闭”,伴有面部的局部肿胀。由于疼痛及张口受限,口腔清洁不足,出现口臭、舌苔变厚、患牙龈袋内挤压有咸味分泌物溢出。
3、病情进一步发展
炎症扩散,引起邻近组织器官的感染,出现呼吸困难、发热、头痛、全身不适等症状。

四、如何治疗智齿冠周炎
1、局部冲洗 智齿冠周炎的处理以局部治疗为主,常用生理盐水、1%-3%过氧化氢溶液(双氧水)、0.1%氯己定(洗必泰)液等反复交替冲洗龈袋,至溢出液清亮为止。局部蘸碘甘油或少量碘酚液入龈袋。
2、切开引流 如龈瓣形成脓肿,及时切开排脓。
3、冠周龈瓣切除术 当急性炎症消退,对有足够萌出位置且牙位正常的智齿,可在局麻下切除阻挡龈瓣,以消除盲袋。
4、智齿拔除术 对于位置不正,无足够空间萌出或者反复发炎的智齿,均应在炎症消退后尽早拔除。

五、疫情期间智齿发炎怎么办?
疫情期间,就诊不便,如症状轻微,可用温盐水漱口,注意口腔卫生,清淡饮食;
如冠周有分泌物溢出,可用生理盐水+双氧水交替冲洗冠周盲袋,冲洗器械可采用冲牙器或者注射器,也可配合氯己定漱口液漱口,一定要记住,是彻底冲洗才有效果;
如果炎症较重伴疼痛不适可口服消炎药物和止痛药物;张口困难,面部肿胀伴全身发热等全身不适,请及时就医。

