抽烟对健康损害多多,一照镜子就能看出来!
如果您抽烟,一定早就知道戒烟的必要性。抽烟危害您的心脏、肺、大脑甚至*生活性**。
今天要说的是:如果抽烟的恶果更为显著,您会更早戒除这一坏习惯吗?

来看看,抽烟是如何“毁容”的?
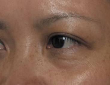
一:眼袋
一夜睡不安寝,起床后看到硕大的眼袋,能不生恼吗?
为什么难以安眠?可能是夜间的尼古丁戒断导致辗转反侧。不幸的是,差劲的睡眠与好看无缘。
约翰霍普金斯大学的研究表明,烟民报告夜间睡眠质量不佳的几率为非烟民的四倍。

二:未老先衰皱纹生
专家一致认定吸烟加速衰老,平均而论,烟民比同龄非烟民长相老1.4岁左右。
为什么会早生皱纹?抽烟阻碍了血流供应,也就破坏了皮肤组织健康弹性的外观。

三:头发稀少
仿佛生皱还不够,抽烟还会损伤发质。专家认为烟中的有毒化学物质会伤害头发毛囊中的DNA,同时生成破坏细胞的自由基。
2007年在台湾进行的一项研究表明,在计入增加秃头风险的其他因素如衰老和基因的前提下,男性烟民脱发几率比非烟民高出一倍。
后果呢?烟民的头发比非烟民要稀少,并更快变灰,如果他们还剩下头发的话。

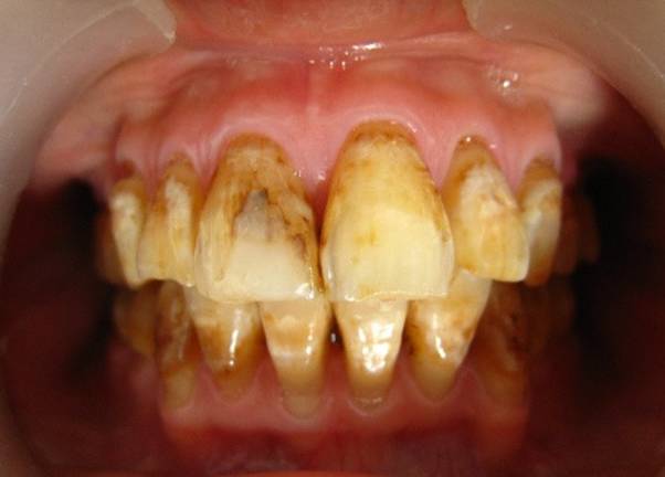
四:牙齿脱落
抽烟会加大各种齿科问题的风险,包括口腔癌和牙周病。
根据《临床牙周病学杂志》发表的一份2005年的英国研究指出,烟民得牙周病的概率是非烟民的六倍,这会导致牙齿脱落。
五:黄斑牙
香烟所含的尼古丁会让牙齿生斑。所以除了节节攀升的烟钱,日常开支还要加入牙齿美白的项目。

五 :烟黄手指
在网上一搜可知,有大量的居家补救方式,如柠檬汁、漂白剂,以及用钢丝棉擦洗。不痛吗?
戒烟难道不更简便易行减轻痛苦?
六:光泽全失
是否注意到烟民的好皮肤有时不再?这不是偶然。1985的研究贡献了烟民脸这个术语,用于描述抽烟造成的面部特征,如皱纹,憔悴以及皮肤灰暗。
七:皮肤癌
事实上,2001年有项研究称,烟民比非烟民测出鳞状细胞癌(第二大常见皮肤癌)抗原的风险高两倍。

八:妊娠纹
烟中的尼古丁破坏皮肤纤维和结缔组织,导致它失去弹性和韧性。
妊娠纹是一种红色皮肤条纹,可淡化成银色,成形于体重快速增长时。任何人快速增重都可能长出妊娠纹,比如孕妇,但香烟是一大诱因。
九:疤痕
尼古丁造成血管收缩,减小血管直径从而限制了供给脸部或其他部位毛细血管的富氧血流。
这意味着与非烟民相比,烟民伤口需要花更长时间才能愈合,而且疤痕会更大更红。
十:大肚腩
香烟会抑制食欲,所以烟民常常比非烟民体重轻。然而,2009年在荷兰进行的研究发现烟民的内脏脂肪多于非烟民。
这种深层脂肪会对堆积在脏器周围,集中在上腹部,最终增加了其他疾病风险,如糖尿病。
怎样了,看了上面的内容,你是如有了戒烟的冲动呢?别着急,再来看看,戒烟后,你会有哪些改变?
下面分享几种成功率很高戒烟法:
1、 口香糖戒烟法

不少烟民表示,在无聊时候,是烟瘾最大的时候。这时准备一些可以磨牙的零食,例如,瓜子,口香糖、花生等。这些小零食,会减少你抽烟的冲动,随身带着口香糖、糖果,想抽烟了来一颗。
2、睡眠戒烟法
既然不想抽烟,那就睡觉吧。睡着了,什么也就不想了。睡眠的时候,可以选择在自己的枕头旁放包起来的橘子皮,有安眠的作用。起来时,喝杯柠檬水,更有清肠胃的作用。

3、喝茶戒烟法
戒瘾中心表示,茶水是最好的选择。据国外研究,日本人的吸烟率为美国人的2倍,但其肺癌的发病率却仅为美国的二分之一,这个结果与日本人喜爱喝茶有关。
建议戒烟的人可以多喝绿茶、普洱、菊花茶,不但对戒烟有益,还对预防肺癌有益。
分享一个烟民自制戒烟茶方,代替香烟饮用—— 蒲公英桂花茶
取蒲公英叶2.0g、绿茶龙井0.8g、桂花0.2g,将其炒干,做成蒲公英桂花茶包即可;每日取一包,泡水代茶饮。
蒲公英又称“尿床草”,可通过促进排尿来促进身体的代谢循环来排毒,并且蒲公英有“天然抗生素”之称,抗菌消炎,清热解毒,在增加排尿量的同时,还可以对身体的一些炎症起到缓解和治疗的作用。蒲公英可减弱吸烟带来的口气,缓解咽炎、胃炎和肝炎。
绿茶龙井营养丰富,有生津止渴,消炎解毒等功效。据报道,茶叶中的黄酮类物质有不同程度的体外抗癌作用,作用较强的有牡荆碱、桑色素和儿茶素。
桂花香味清新迷人,可止咳化痰、养声润肺、解除口干舌燥、除口腔异味。
最后,有助戒烟的几点建议
1、一次全戒断:戒烟的前一天一次抽个够,直至厌恶香烟的气味,然后丢掉香烟、烟灰缸、打火机等可能会引起你吸烟的烟具。
2、减量:寻找一些能转移自己注意力的活动,尽量不去想吸烟,实在想吸时,抽出一支烟在手后,尽量推迟点燃香烟的时间。这样每日少吸几支,时间一长也可慢慢达到戒烟的目的。
3、养成习惯:心理学认为,一件事能持续两周以上保持,便可以称为「习惯养成」。戒烟也是如此。
如果,你有决心从现在开始戒烟,我们都会一起为你加油 ! 当你的身体出现以下10种改变的时候,恭喜你,已经戒烟成功!

1、没有戒烟带来的疲倦;
2、没有戒烟带来的紧张不安;
3、没有戒烟带来的头痛;
4、没有戒烟带来的暴躁;
5、没有戒烟带来的失眠;
6、没有戒烟带来的喉咙痛或咳嗽;
7、没有戒烟带来的饥饿;
8、没有戒烟带来的头晕;
9、没有戒烟带来的胃痛;
10、没有戒烟带来的体重巨变。
