来源:器械之家
在获取一幅CT图像后,最重要的问题是对图像可靠性、正确程度进行评价。成像系统整机性能的好坏决定了图像质量的优劣。从某种意义上来说,评价和检测CT图像质量的参数,可以视为评价和检测CT成像系统整机性能的参数。

在介绍CT图像质量的主要参数之前,我们先来了解一下物体对比度和图像对比度的概念。
物体对比度
指相邻两个物体之间在图像中的显示能力。
图像对比度
图像对比度是重建后的图像与CT值有关的亮度差。
分辨率
分辨率是判断CT性能和评价CT扫描图像质量的重要指标,包括空间分辨率和密度分辨率。它体现了CT图像质量与重建图像像素值误差的大小和分布,以及图像像素值与物体真值之间的差异。
空间分辨率
空间分辨率是指对物体几何尺寸大小的鉴别能力。常用每厘米内的线对数(LP/cm)表示,也可以用毫米线径数(mm)表示,还可以用MTF(调制传递函数)表示。

空间分辨率与有效射线束宽度(Web)有关。即与X线管焦点大小、单个探测器的孔径、一次投影射线束通过的路径、焦点至探测器的距离和焦外辐射至探测器距离的比值等有关。
密度分辨率
密度分辨率是指在低对比度的情况下分辨物体密度差别的能力,常以百分数表示。

在CT图像中,物体的密度经过量化处理(即AD转换)后转化为CT值,并直接作为图像灰度值。一般来说,对于相同的图像,量化精度越高,密度分辨率就越好。 由此密度分辨率还与物体的大小、与背景的对比度、噪声水平有关。
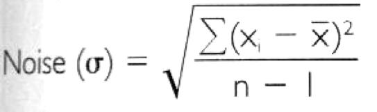
噪声
噪声是均匀物质的图像中,某一确定区域内CT值偏离平均值的程度。用平均值和标准偏差来度量,是影响图像质量的重要因素。


影响噪声的因素有:X线剂量;扫描的层厚;扫描的算法;另外,重建矩阵的大小、电子线路元件与机械震动等,也影响噪声水平。

(软组织成像)

(超高分辨率成像)
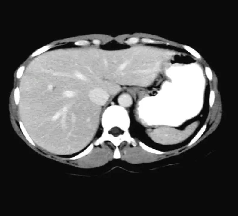
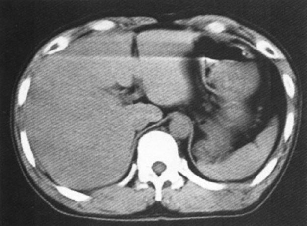
伪影
伪影是在CT图像中出现而实际物体并不存在的假像,是由于设备的故障和人的失误所造成的,是CT图像中的干扰阴影,它们的形状各异,会影响诊断。 可分为病人引起的伪影和CT设备造成的伪影。
病人引起的伪影
扫描部位的移动造成伪影称之为运动伪影,它是伪影的主要来源。 消除办法:在进行CT扫描前应做好病人呼吸的训练工作,另外还应采用短时间的扫描程序进行CT扫描。

(运动伪影)
金属伪影是由体内的金属异物引起的放射状伪影,这是因为金属异物与周围组织密度相差太大。其周围会出现带状或线状高、低密度伪影。消除方法:取出后扫描,或者避开扫描。

(金属伪影)
设备本身造成的伪影
射线束硬化伪影:X线管发出的X线束是具有不同能量的连续的光谱,通过物体后光子能量的改变由该物质的衰减系数决定,而有效能量转移到高值一端的现象,称为“射线束硬化效应”。射线束硬化效应” 如果不能有效补偿,将会在图像中央产生环状或条状暗影。 抑制的方法是在焦点侧采取预滤过、软件校正。

(射线束硬化效应)
高原子序数或吸收系数大的物体部分投影于扫描平面而产生的伪影称为部分容积效应,也可称为Hounsfield伪影。一般在重建后横向面图像上可见条形,环形或大片干扰的伪影。 部分容积效应可用正确摆放病人的体位,或采用薄层扫描而减弱。

(部分容积效应)
周围间隙现象:两种结构交界处的边缘分辨不清,密度高者其边缘CT值小,密度低者其边缘CT值大。

(周围间隙现象)
此外,还有采样误差性伪影、扫描系统误差性伪影、扫描野不一致性伪影。伪影产生原因还有许多种,如探测器之间响应不一致,D/A转换器故障,探测器至主计算机信号传递故障,球管老化,射线偏角辐射等等 在实际工作中应尽可能地消除这些因素,以提高CT扫描图像质量,方法是进行系统校正测量及定期进行系统维护。

(环状伪影)

(探测器测电路故障)

(人体超出测量域)
受检者剂量
这一参数必须给予充分地重视。因为诊断工具对病人必须是安全的。设计者必须在病人的剂量与改进分辨力或改进鉴别小密度差别的能力这两方面进行折中考虑。

影响CT剂量的参数有:X射线管电压(kVp)、X射线管电、扫描时间、过滤、射野大小、 病人在射野中取向和位置、源的准直 、层厚和层距、扫描层数目等
单次扫描剂量可采用剂量指数(CTDI)来描述:
CTDI是长度剂量乘积除以断层厚度的商。长度剂量乘积是地区性剂量对整个剂量剖面在轴上的积分。

美国的FDA(美国食品药品监督管理局)对剂量指数(CTDI)作如下定义:

我国的国家标准对剂量指数(CTDI)作如下定义:
沿着垂直于体层平面方向上的剂量分布除以X射线管在360 °的单次旋转时产生的体层切片的数目N与标称切片厚度T的乘积从-50mm到+50mm的积分。

扫描参数对CT图像质量有很大影响,在进行CT扫描时应选择适当的扫描技术参数,以利于提高CT扫描图像的质量。
管电流和扫描时间
管电流和扫描时间决定X射线的剂量,X射线剂量越大,噪声越小,图像质量越好,但是病人所受的照射剂量越大。
层厚
CT扫描厚度是影响图像质量的重要因素。CT扫描层厚越薄,图像空间分辨率就越好。但密度分辨率降低。
扫描条件需要根据病变情况来决定。
#科技快讯# #健康# #资讯#