有这么一家跨界双主业的公司,她最初的主营业务是色选机,2012年切入医疗领域,增加了口腔CBCT(锥形束CT)产品,后来又发展了其他的口腔数字化设备,她就是美亚光电。
公司2019年收入15亿元,同比上升21%;归母净利润5.4亿元,同比上升21%,增速较2018年的13%有所提升。
今天老裘就和大家聊聊这家跨界还算成功的公司。

刚才说到了公司有2个主营业务,那我们就分开介绍下对应的行业情况。
1、传统业务色选机
估计大部分兄弟姐妹们对这个名词都有点陌生,老裘先介绍定义,色选机是根据物料光学特性的差异,利用光电探测技术将颗粒物料中的异色颗粒自动分拣出来的设备。简单来说,就是通过某些技术手段把不同颜色的东西区分开来。
了解了色选机到底是什么后,我们来看一下行业的具体情况:
首先是应用领域。目前智能检测分选装备主要应用于农产品加工领域、工业物料与产品分选领域等。
其中在农产品加工领域普及程度最高,国内农产品加工中,仅大米加工过程中智能检测分选装备普及率较高,约80%左右,茶叶、杂粮智能检测分选装备普及率不到30%;工业领域应用得较少,目前只有塑料、矿石加工等少数行业使用了智能检测分选装备。
第二是市场容量。目前国内市场体量较大,国外市场也有着非常大的潜力。
一方面,2019年5月,*共中**中央、国务院发布《关于深化改革加强食品安全工作的意见》,从政策上提升了食品质量的标准;
另一方面,随着消费者健康意识及饮食习惯不断改变,从“吃饱”到“吃好”,人民越来越重视食品的安全,消费者对食品的需求从必选消费品领域逐步转移到可选消费品领域,对较高营养价值和品质的食品需求快速增长。
所以,色选机逐渐成为了食品企业的“刚需品”。
我国是全球第一大稻谷生产国,色选机下游应用最广就是稻谷领域,据联合国粮食及农业组织统计,2017年我国稻谷产量为2.14亿吨,占全球约28%,市场体量非常大。
另外,稻谷其余种植地主要是东南亚等地区,这些地方的色选机普及率提升空间更大于国内,预计潜在市场可能为国内的2-3倍,如果能够进入这些市场,那也将有很大的提升空间。
最后是行业地位。经过数十年发展,国内企业已经基本完成色选机设备的进口替代,70%以上的色选机市场由国内企业占据,只有少数高端市场主要被日本佐竹、瑞士布勒、日本安西、韩国大原等外资公司占据。
我想,在食品安全方面,还是应该由中国企业掌握让人安心。
国内色选机行业的竞争对手主要有泰禾光电(603656.SH)、合锻智能(603011.SH,2016年完成中科光电100%股权的收购)、安晶龙(838092.OC)、捷讯光电(未上市)等企业。
美亚光电色选机业务持续领先,国内市场份额超30%,收入大概相当于第二、第三名的总和。
2、口腔数字化设备领域
公司2014年以1365万元收购山东博泰77%股权,随后大力推广口腔CBCT,以及发展其他的口腔数字化产品。
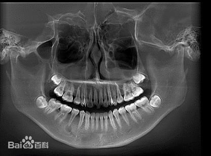
口腔CBCT是Cone beam CT的简称,大家可能也不是很熟悉,其原理是X线发生器以较低的射线量围绕投照体做环形DR(数字式投照),CBCT的投影数据是二维的,重建后直接得到三维图像。
老裘找了一张做完CBCT的影像图,相信大家看后就能大致明白了。

同样地,我们也来具体看一下行业情况:
首先是临床应用。口腔CBCT可获得高质量颌、口腔全景图像和各方位断层图像。目前口腔CBCT广泛应用于空腔颌面外科、正畸科、正颌外科、种植科、牙体牙髓科、牙周科等,为临床多学科诊断、评估提供了更直观准确的影像资料,从而提高了手术和治疗的安全性和成功率。
其中,种植和正畸正颌是CBCT应用最大的两个领域,分别占CBCT临床学科应用比例的40%及30%。
然后是市场空间。需要对牙齿进行治疗的主要有两个年龄段:
一块是小朋友,2015年,我国5岁儿童乳牙龋患率为71%,12岁儿童恒牙龋患率为35%,分别比10年前上升了6%和8%;2015年,5岁及12岁儿童龋齿经填充治疗的比率分别为4%和17%,虽然相比十年有明显提升,但总体的比率仍不高。
另一块是老年人,65-74岁龋齿患病率为98%,患病率都普遍较高;据统计,65-74岁缺牙修复比率在2015年已达到63%,同样比十年前有明显提升。
最后是未来潜力。从中美的口腔疾病诊疗率看,中国口腔疾病就诊率远低于美国,随着人民的口腔医疗保健意识的不断提升,未来这块的潜在市场空间巨大。

美亚光电前身是合肥美亚光电技术有限责任公司,于2000年3月成立,始终保持着国内光电识别设备领域的龙头地位。
公司于2003年推出中国第一台智能化大米色选机,2005年推出中国第一台复合色选机及多用途色选机,2008年推出中国第一台数字化茶叶色选机,2009年推出中国第一台X光异物检测机,2013年进入口腔CT领域,并持续打造数字化口腔产业链。
公司控股股东为创始人田明,担任公司董事长及总经理,持股比例为61.5%,占比极大;主要高管郝先进、沈海斌分别持股3.5%及2.9%,也是公司的初创者。公司上市至今管理层仅个别有过少量减持,管理层较为稳定踏实。
公司目前产品包括三大系列,色选机、X射线检测设备以及高端医疗设备。
其中:色选机系列产品共有40余款,已拓展应用到包括农副产品(大米、小麦、玉米、茶叶、瓜子等)、环保回收(废塑料、废玻璃、废金属)、矿产(矿石、食盐)等行业近五百种物料的色选;X射线检测设备系列共有十余款产品,包括安检、休闲食品、鞋服、轮胎等领域检测设备;高端医疗设备主要是口腔全景机、口腔CBCT,后续储备产品还包括椅旁修复系统(口内扫描仪、CAD、CAM)、骨科CT、耳鼻喉科CT等。
公司累计获得63项发明专利、203项实用新型专利和48项外观设计专利,技术研发优势也比较明显。2019年还通过自主研发,推出了美亚AI正畸分析系统。

接下来聊一下公司的财务状况,我认为公司的管理还是很出色的,业绩表现也比较稳定。
首先看营业收入。
分业务来看,色选机依然是公司的主要营收贡献,实现收入9.4亿元,同比上升16%,占比63%;高端医疗影像设备(口腔CT诊断机)实现销售收入4.84亿元,同比增加30%,占比32%;X射线异物检测机营收贡献较少,实现收入0.64亿元,同比增长40%,占比4%。
分地区来看,公司实现境外收入3.09亿元,同比增加35%,占公司营收比重为21%。近年来,公司加大海外色选机业务布,2019年在印度设立了第一个海外办事处,从印度辐射至东南亚市场,境外收入正在不断扩大。
总体来说,色选机增速高于行业增长速度,口腔X射线及CT诊断机同比增长更为迅猛,同时境外收入也在快速增加,公司整体经营向好。
关于增速较高的高端医疗影像设备,我想补充一下:自2018年开始,线上团购就成为公司口腔CT销售的重要方式之一,一般来说全国每年基本上会有3-4个大型的线下口腔展,为公司的团购活动引流。
今年大家都很关心疫情对口腔展的影响,我觉得公司面对疫情反应还是很快的。原定于3月举办的华南口腔展,首开线上直播,观看人数达2.7万人,同时线上团购销量达到464台,大超市场预期,因为去年线下华南口腔展也只卖出了362台。所以,对于高端医疗影像设备的销售,并不用特别担心。
其次看盈利能力。
毛利率方面,公司高端医疗影像设备的收入比重一直在提升,2014年还只有7%,去年已经超过了32%,而这块毛利率也是高于传统色选机的51%,达到了60%。同时,境外产品的毛利率比境内要高,境外为62%,国内在53%左右。
净利率方面,公司每年都接近40%,当然这是因为公司业务里包含了口腔医疗的贡献。
整体来看,公司毛利率和业内其他公司差得并不多,净利润则是同业公司中最高的。
然后看各项费用。
公司费用方面一直都控制得不错,2019年营收增加了20%多,而管理费用几乎没有增加,销售费用接近同比例增加,而研发费用增加较多,达到9100万元,同比增加40%。
最后看股东利益。
公司的分红是个亮点,近3年的分红都在90%以上,2018年超过了100%,2019年的利润分配方案比例也超过了99%。
这个数据还是挺夸张的,但公司主要股东都没有任何的股份质押。

最后聊一下我对于公司估值的看法。
首先,公司的ROE近几年持续提高,2019年为23%。拆分来看,净利润归功于口腔设备业务的增长而不断提升,周转率也缓慢增长,杠杆率也保持稳定。从目前的财务报表看,公司当时的收购是正确的,并且“消化”地很好。
具体进一步分析ROE的话(见下表),公司的净利率和周转率都在往上走,而权益乘数在往下走,这是最优的ROE的组合。

其次,公司的未来收入可以通过对两部分业务拆分来进行预测。
色选机可以用8%的增速,口腔医疗可以用20%左右的增速,毛利率按照50%进行测算,净利率按照35%进行测算,那么明年的收入可能在17.5亿元左右,净利润约5.5-6亿元,对应EPS大概在0.81-0.88元。
最后,现在市场上给公司2020年PE估值的一致预测是41倍,如果按照40-45倍的区间来算,公司市值大概是在220-270亿之间。
当然,老裘一向是比较谨慎的,我认为给到30-40倍估值就可以了,至于大家想给到公司多少倍PE,这个就因人而异了。