皮肤病的症状分为自觉症状和他觉症状两种。自觉症状是指患者的主观感觉如疼痛、瘙痒等;他觉症状是指医生检查所见的各种皮肤损害如红斑、丘疹、溃疡、糜烂等。皮肤病的症状是判断皮肤病的重要诊断依据,如何早期识别皮肤病症状,进行早期预防与治疗呢?下面我们一起来了解一下。
一、自觉症状
1、瘙痒:是最常见的自觉症状,痒的程度轻重不一,有阵发性和持续性,局限性和广泛性。瘙痒常见于湿疹、*麻疹荨**、神经性皮炎、瘙痒症等。
2、疼痛:痛觉和痒觉可能是同种神经传导。当刺激程度小于痛阈时表现为痒感,大于痛阈时表现为疼痛。疼痛常见于急性感染性皮肤病,如疖、丹毒、带状疱疹等。
二、他觉症状
皮肤表面呈现的各种症状,称为皮肤损害(皮损)。原发性皮损是指首先出现的原始性损害;继发性皮损是由原发性皮损经过搔抓、感染和治疗等进一步产生损害或好转的结果。认清皮损对皮肤病变的诊断和鉴别诊断颇有帮助。
1、原发性皮损
⑴ 斑疹:仅指皮肤颜色异常,既不隆起,也不凹陷。病理改变多在表皮和真皮浅层。红斑最常见,色素增多的有*褐斑黄**、雀斑等;皮下出血形成的斑疹称紫癜;色素减少的有白癜风、白化病等。

⑵ 斑块 直径大于1cm的扁平隆起性的浅表性损害,多为丘疹扩大或融合而成。

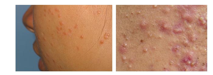
⑶丘疹:是高出皮肤表面的坚实隆起,一般直径不超过1cm。病理改变多在表皮或真皮上层。有的呈扁平圆状如扁平疣、色素痣;有的为多角形如扁平苔藓等。

⑷水疱:为局限性高出皮肤表面内含液体的表皮内损害,直径小于1cm为小疱,大于1cm称为大疱。水疱常由细菌、病毒感染及变态反应引起,如带状疱疹、接触性皮炎等,愈后不留瘢痕。

⑸脓疱:是含有脓液的水疱。脓疱大多由于化脓性细菌感染所致,如脓疱疮,毛囊炎和*疮痤**等。

⑹风团 皮肤限局性水肿性隆起。为真皮浅层血管扩张、血清渗出所致。发生快,消失快,不留痕迹。

⑺结节:是圆形或类圆形较硬的局限性突起,位于真皮或皮下组织,常为炎性浸润或代谢产物聚积所致,如皮肤结核、结节性黄色瘤及肿瘤等。

⑻囊肿:是真皮或皮下组织囊腔样结节,触之有弹性感。内容物可为液体或半固体,如皮脂腺囊肿等。

知道了上述这些常见皮肤病的症状,我们就能够初步判断自己是否患有皮肤病,就可以及早去找皮肤科医生诊断和治疗。