你以为你是牙痛?一碰就痛,剧烈疼痛,你可能得的是“天下第一痛”。治愈之后的刘奶奶心情很美丽……
患者刘奶奶,今年72岁,是一位光荣在*党**四十多年的老*党**员。刘奶奶右侧面部发作性疼痛2个多月,1周前触碰痛感加重,药物治疗效果不明显,说话、洗脸、刷牙都会诱发剧烈疼痛,严重影响日常生活,于是在家人的陪同下来我院就医。经过华安脑科医院医生诊断,确诊为“右侧三叉神经痛(下颌支)。


8月30日,由华安脑科医院院长傅先明教授、副院长杨先清教授、谢英贺副主任等神经外科组成的专家团队经过讨论,在征得家属同意后,决定为刘奶奶进行DSA引导经皮穿刺三叉神经半月节球囊压迫术。

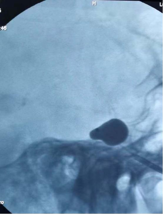
该手术是经面部皮肤穿刺到达三叉神经半月节的部位,通过球囊导管适度压迫,达到控制疼痛的效果。整个创口仅一针眼大小,在我院引进的美国GE双板DSA的影像设备精准定位下完成,该设备一次注射造影剂同时显影正、侧位血管影像,可清晰显示血管造影。



五十分钟后,华安脑科医院神经外科专家团队成功完成经皮穿刺三叉神经半月节球囊压迫术,手术过程中刘奶奶几乎没有疼痛和不适感,术后当天就可下床活动,无皮肤切开,无伤口疼痛,疼痛得到有效缓解。
术后刘奶奶激动地说:“不痛了,脸不痛了。感谢医生到护士,什么都给我安排得好好的,环境好医生好院长好护士好。我26岁就入*党**了,看到也是*党**员的院长就觉得亲切,要向你们学习!“说完刘奶奶神态庄严举起手敬了一个军礼,这样可爱的刘奶奶让人动容,治病救人是医生的职责,而刘奶奶这样对*党**始终如一的敬仰、对生命的顽强、对生活的乐观才更值得吾辈学习和传承。

华安脑科医院院长、我国著名神经外科专家傅先明教授说道,三叉神经痛是公认的人类难以忍受的剧烈疼痛之一,被称为“天下第一痛”,经皮穿刺半月节球囊压迫术具有时间短、创伤小、不开颅、病人耐受性良好等优点,可以极大程度上缓解患者疼痛,基本上术后第二天就可以出院。这种手术治疗方式特别适合年老体弱、惧怕开颅手术或者术后复发的患者。

傅先明教授
在医护人员和家属的关心照顾下刘奶奶在8月31日顺利出院,这是我院第一例治疗三叉神经痛的手术,华安脑科医院用事实彰显了我院在神经系统疾病诊疗方面的突出优势与专业实力。华安脑科医院将不忘初心,让每一位来的患者,都能像刘奶奶一样,带着健康的身体,轻松愉快的心情,带着十分的满意出院,回归健康生活。