一年一度的女神节如约而至,唇红齿白,明眸皓齿是每位女神的心愿!今天我分享一个美白病例。
分享病例


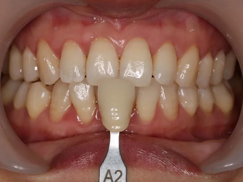
术前照片
病例介绍
性别:女
年龄:33岁
主诉:牙黄数年,想在不伤害牙齿的情况下美白牙齿。
诊断:增龄性黄牙
治疗方式:诊室美白+家庭美白


美白材料
治疗过程:
第一天,诊室美白
第二天开始佩戴家庭美白牙托
第十六天家庭美白结束

诊室美白 即刻
色阶变化:
诊室美白+家庭美白两星期后,颜色由A3色上升至B1色

美白前

美白后
美白前后对比
美白小 帖士
对于敏感牙齿可以在诊室美白前半小时或者诊室美白结束后佩戴脱敏剂缓解敏感,也可以口含温的脱脂牛奶缓解敏感。
家庭美白过程中出现敏感,可以暂停一天美白,降低美白浓度,一般敏感症状会慢慢缓解。

讨论
关于美白的持久性
有研究表明诊室联合家庭漂白对于非四环素牙的有效率达 97%,对四化素牙延长治疗时间,有效率达90%。黄染牙齿美白效果优于灰染牙齿。
关于美白的禁忌症
牙周病患者
牙隐裂牙体缺损者
对美白剂有过敏
妊娠及哺乳期女性
口干综合症
关于美白的安全性
美 国 牙 医 协 会 (AmericanODendalAsociation,ADA)19 94 年 发 布了关于漂白剂安全性和有效性的标准 _1,要求 产品中HP(过氧化氢) 的含量不高于3.6%(10%CP) 。10%cp(过氧化脲)的浓度被认为是安全的。
关于美白方式的选择
诊室强效美白适合 轻度至中度外源性着色 ,比如饮食色素(茶,咖啡,酒),口腔卫生不佳,吸烟或漱口水染色等。
家庭美白:适应症较为广泛。禁忌症包括严重四环素牙,严重牙齿发育不全,严重氟斑牙,咽反射严重患者。
诊室美白结合家庭美白 :诊室美白见效迅速,但在治疗结束的两周内会出现迅速的颜色反弹,相比而言,家庭美白需要数周的治疗时间,但术后颜色反弹程度更轻。 有研究显示诊室内美白联合家庭美白效果好于单纯诊室美白。
关于牙齿美白颜色的保持
定期口腔健康检查,并进行预防性洁治 。必要时3至4年进行一次润色性美白。
规范的牙齿美白治疗几乎是无创的,大量研究报告牙齿美白有良好的长期效果,颜色改善的保持也令人满意。