#生命摆渡人##我的2022##重庆头条#
之前说过,大数据显示现在肺部疾病的患者年龄范围在不断扩大,不在只发病于中老年群体之中。
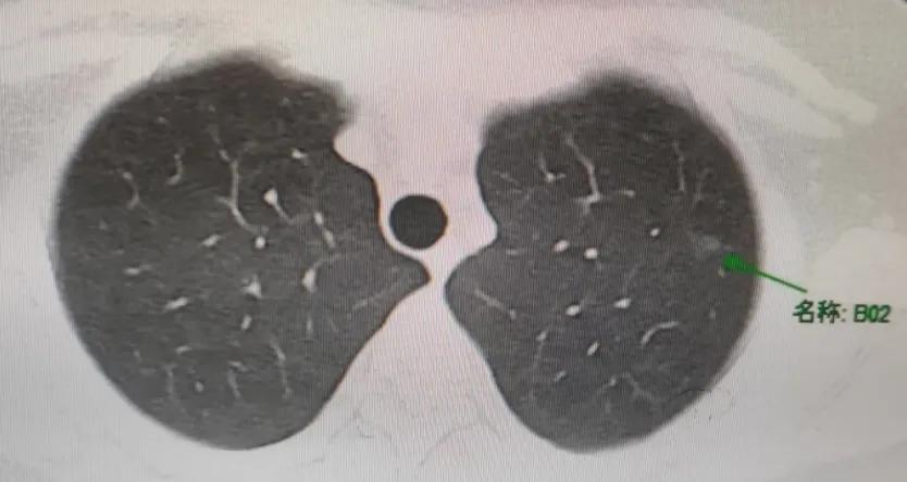
今天的这位也是这样,一个23岁,还在享受人生最好时光的小姑娘,因为长时间咳嗽就诊,查出双肺多发磨玻璃结节,最大的一个结节是9mm×6mm。小姑娘非常棒,不乱于心,不畏将来。自己已经茫然无措了,还可以很坚强的安慰着父母,然后独自面对所有压力。
9月6号小姑娘第一次在贴吧咨询,我建议:初次发现磨玻璃结节至少随访三个月后复查薄层CT,排除炎症后再精准诊断。若不消失,大的结节至少微浸润腺癌,小的至少原位,手术可根治。随后的面诊,我断定她的右肺结节是微浸润接近浸润了,最好是尽快手术治疗。因为她的这种情况我可以做到一次手术,解决所有有危险的肺结节,保全肺功能。这样一来小姑娘就可以安心的享受未来的美好的生活日子,不用纠结疾病的困扰。
很快,小姑娘顺利的完成了手术。术后病理,3个微浸润肺腺癌,一网打尽,手术即治愈。
在这里给小姑娘送上一个祝福:“以梦为马,不负韶华;流年笑掷,未来可期”。
以下转自患者咨询:
2021-09-06
戴主任你好,我今年才23岁,能不能请您帮帮我,我感觉自己人生还没开始。今年7月28号,因为持续几月间断刺激性咳嗽去我们市医院就诊,查出来双肺散在多发磨玻璃结节,最大的0.8cm。结果出来我就天塌了,市医院建议我入院治疗。然后就开始整夜睡不着,大半夜起来哭,我真的太害怕了。后面去了四川省肿瘤医院看了医生,那边看到片子说,先口服拜复乐两周,一月以后复查CT。
然后9月2号做了增强CT,多发磨玻璃结节,右下叶磨玻璃结节0.9x0.6cm。医生看了报告说性质不定,很危险。听到我真的茫然无措,不知道怎么办了,开始不停百度,每天都休息不好,有时半夜还起来坐着发呆。从知道戴主任开始就一直一直没抢到号,最开始我还能安慰自己下一次,可是时间越长我越心慌。大家帮帮我吧,我想能不能去主任那里加号看一下。一边我还一直安慰我爸妈,一边自己一个人承受这些,做什么都是自己跑,真的好难受啊。另外很感谢热心的小哥教我怎样拍CT图,怎样贴吧发帖发图片。



我的回复:
初次发现磨玻璃结节至少随访三个月后复查薄层CT,排除炎症后再精准诊断。若不消失,大的结节至少微浸润腺癌,小的至少原位,手术可根治。
2021-09-30
9月27号面诊,您说我这个微浸润接近浸润了,然后给我开了入院。让我回家等通知,这是很高兴的一件事!特别特别激动!然后又想到9月24在新桥医院做了一个腹部b超,显示肝脏稍高回声结0.88mm节考虑血管瘤。19年因为肝脏钙化灶一直随访着,今年9月24第一次发现肝脏出现了一个结节,我当时面诊忘了给您说了,因为实在是太紧张了。后来回家以后我又听到友友们说血管瘤变成肝癌了,还说肝转移灶很小的情况下和肝血管瘤差不多,本身我就没确诊是血管瘤,而且血管瘤怎么可能突然出现,我随访两年第一次发现。我就特别害怕是转移灶。9月30在县医院复查了b超,显示左肝叶1.4mm稍高回声结节,考虑血管瘤可能性大,但是他也说定不到是不是转移灶。我当时第一反应就感觉自己从来没有离死这么近。拜托拜托主任帮我看看吧,真的害怕得干呕。我知道心态应该好点,可是真的止不住。我甚至都在想剩下来这几个月怎么过了。大家都有安慰我,可是我控制不住的去焦虑去想,还把大家都带的焦虑了。希望主任能给我看看。
我的回复:
不是转移,放心。可以做肝脏的增强磁共振就看清楚了。

以下转自患者留言:
来返图了,星期一面诊,因为太紧张,一片空白,手足无措!又担心影响主任看后面的患者,所以很多话还没来得及说,借贴吧来表达一下感谢啦。过程很艰辛,发现结节以后哭也哭过,闹也闹过,埋怨过为什么会是我。遇到主任以后,我有了主心骨有了信念。9月27面诊,主任开了入院,10月19日手术,切掉右肺所有高危结节(一网打尽!!!),3个微浸润,和术前诊断一模一样。判断准才能给患者更好的建议与治疗,主任真的太厉害啦!星期一术后三月复查,目前一切安好,现在左肺听主任的话半年随访。
非常感谢主任在绝望中拉我一手,因为相信主任,所以有了战胜病魔的力量。有主任在,我就觉得好安心呀。新年快到了,提前给戴主任送上祝福啦,祝主任所求皆如愿,所行皆坦途,多喜乐,长安宁!还有要好好照顾自己,你特别好,特别温柔 ,特别值得。 另外也很感谢胸外科的医护人员,护士小姐姐们人美心善还温柔!打针都不痛的。我的管床医生吴江医生人帅也有耐心技术也好,特别是有问必答,绝对不会不耐烦,非常非常细心的解释,术后好多事情都是由他给我解惑。
还有侯兵老师啊,尽职尽责。真的非常感谢大家对我的照顾!快到新年了,提前祝胸外科的老师们新的一年,万事顺遂!新年胜旧年!最后就是这么好的主任有这么好的医生们,还是想说一句,重庆新桥医院胸外科牛逼,不仅治身还治心! 最后的最后就是大帅哥们的照片啦!主任最帅!!!不接受反驳!

