
以下是正文
蒙自市中医医院,是集医疗、科研、教学、康复、中医养生保健、中医药特色突出的二级甲等中医院,是一所配套设施齐全、功能完善的现代化中医医院。

医院一直坚持以“优质服务,中医、中西医结合,突出特色,创建老百姓信得过的医院”为办院方向。坚持中医为主,中西医并重,集中医、西医之精华,取中西医结合之优势,开展现代医学与中国传统医学相结合的医疗模式。为人民群众提供“安全、有效、方便、价廉”的医疗服务。

今天,小编就带您走进蒙自市中医医院,了解蒙自市中医医院那些不得不说的事~

引进全新医疗设备
每次看医疗剧
除了感叹剧里医生“神奇”的医术外
还会好奇一件事
那么多的设备和器材
究竟是干什么用的?
其实
不同的设备有不同的情况
就像术业有专攻那般
医疗设备也有自己的专攻
下面就和小编一起去看看
蒙自市中医医院今年12月“新来”报道的小伙伴吧

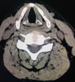
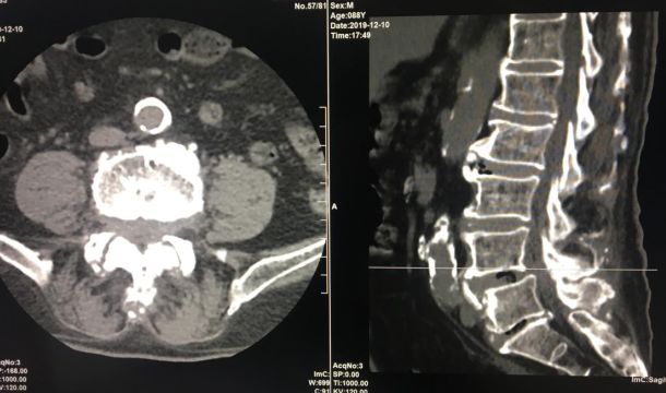
全新日本进口佳能金刚螺旋CT

该新设备功能先进,有平扫、三维重建、X线计算机体层成像等功能,能对人的头部、颈部、胸腔、四肢、盆腔等多个部位进行扫描成像。

放射科秦主任介绍到,该设备的引进和使用,意味着蒙自市中医医院放射科迈出了从无到有的关键性一步。
以前,咱们医院里是没有该设备的,患者到医院就诊时如果遇到需要做CT,就只能转到州、市第一人民医院去,这样无形中就耽误了患者确诊和治疗的时间。

现在医院引进了全新的进口螺旋CT,患者直接就能在医院确诊,节约了患者的时间,并且,进口的螺旋CT机扫描图像质量好,显示清晰。

颈椎椎间盘突出

硬膜外血肿

腰椎椎间盘膨出伴双侧神经根受压

右侧上颌窦炎

原发性肝癌伴骨转移
该设备自运行以来,发现并确诊不少疾病:颈椎椎间盘突出、 腰椎椎间盘膨出伴双侧神经根受压、硬膜外血肿、右侧上颌窦炎、右侧筛窦炎、双肺感染伴双侧胸腔积液、心包积液、右侧胸腔包裹性积液、原发性肝癌伴骨转移等疾病。


医院还在手术室新增了小C臂,对骨科、外科手术有很大的帮助,成像清晰,能准确指引医生诊断。

特色科室,用心服务
蒙自市中医医院开设了针灸推拿科、老年病科、皮肤科等特色科室,针灸推拿科下设的小儿推拿门诊更是受到广大患者的赞誉~
老年病科
一 医疗中心

老年病科医疗中心擅长诊治内科系列常见病、多发病、慢性病(如:高血压、糖尿病、脑梗塞等),代谢紊乱(高血压、高血脂、高尿酸),对心脑病(脑梗塞、脑出血、心律失常、心脏病、动脉硬化)、肺系病(哮喘、气管炎、慢行阻塞性肺病)、脾胃病、肾系膀胱病、痛风病、复发性口腔溃疡、咽喉扁桃体疾病、习惯性便秘、甲状腺疾病(甲亢、甲减、甲状腺结节)的治疗积累了丰富的经验,临床疗效显著。

对各种术后综合征疗效确切,疾病治疗以中药内调为主,西医治疗为辅,配合中医特色物理疗法,中西合璧,扬长避短,全方位多靶点多角度综合诊治疾病。
1
热力姜疗

使用温阳散寒、除风除湿,通络止痛类的中药汁、姜粉、酒精多种辅料,通过督脉、膀胱经的热力刺激,以达到平衡阴阳、散寒除湿、温经通络,强身健体的作用。
2
足底反射

足部区域相当于反映全身信息的一个全息胚,由于足部血管神经分布密集,足三阴经、三阳经在脚部相互贯通,通过经络系统与全身联通,针对不同的病情,选择一定的反射区进行组合。

通过推拿手法及刮痧疗法对足部反射区的刺激,可以调整相应腑脏经络气血的功能,以促进体内代谢产物的排泄,从而达到治疗疾病的目的。
二 失眠、养老中心

睡眠是最好的养生,失眠、焦虑、抑郁不是心情不好,而是一种精神障碍,是一种疾病。
失眠中医亦称不寐,是由心神失养或心神不安所致,失眠病机总的来说就是阴阳失衡,夜间阴不能敛阳、阳气浮越、亢盛于外,则人会失眠。
失眠的病位主要在心,与肝胆脾胃肾有关,它不仅影响人的情绪,甚至能影响人的免疫系统,更重要的是,失眠往往是身体潜在某种疾病的外在表现形势之一,严重者可出现抑郁、焦虑、恐惧等精神心理疾病。

针对失眠患者,失眠中心医护人员对症下药,采取音乐疗法、芳香疗法、舒缓按摩使病人放松下来,与病人谈心,帮助他们缓解压力,能正常入眠~

有需求的老年朋友还可以在这里养老,老人们都被照顾的很好,居住环境也很温馨~
小儿推拿门诊

蒙自市中医医院针灸推拿科不仅是省级重点中医专科,同时也是云南省中医医院推拿科主任王春林专家的工作站。与云南省中医医院推拿科(国家级中医区域诊疗中心)建立了良好的帮扶与协作关系。

小儿推拿是中医推拿的重要组成部分,今年10月,蒙自市中医医院专设小儿推拿门诊,通过专业的医师团队,经辨证论治做到个性化的小儿推拿服务,提高治疗效果,更好、更专业的服务好广大患儿。

小儿推拿疗法是以中医理论为指导,结合中医推拿学、中医儿科学等学科,根据小儿的生理、病理特点,经辨证论治,在其体表特定的穴位或部位,以推拿手法为主,防治疾病、强身健体及助长益智的一种外治疗法。

小儿推拿作为一种纯绿色疗法,可代替部分药物作用,减少药品的毒副作用,增强孩子机体的自然抗病能力。
对小儿反复感冒、发热、咳嗽、呕吐、腹泻、便秘、厌食、遗尿等常见病有独特的疗效。
运用推拿手法治病,不仅免去小儿打针、吃药之苦,而且易被患儿接受,这种无毒副作用的自然疗法受到广大父母的青睐。

看到这里,不少家长要问,宝宝应该什么时候选择小儿推拿呢?

1、呼吸系统疾病:反复感冒、发热、咳嗽、鼻炎等。
2、消化系统疾病:腹泻、腹痛、便秘、呕吐、厌食、食积等。
3、筋伤疾病:小儿肌性斜颈、产伤麻痹(臂丛神经麻痹、面神经麻痹)、神经损伤等。
4、小儿保健:增强体质,预防疾病。
5、其他疾病:夜啼、遗尿、小儿脑瘫、发育迟缓等。
皮肤科

蒙自市中医医院皮肤性病科是集医疗、教学、科研于一体的临床科室,是省级重点中医专科、美容皮肤科、蒙自市*病治性疗**规范门诊,开放住院床位10张。

科室拥有一支严谨团结的队伍,科室医务人员有丰富的临床经验,科室设备先进齐全。科室目前有副主任医师2人、住院医师2人、护士3人。科室以中西医理论为基础,突出中医特色,发挥西医专长,在中西医结合治疗皮肤病上有 “兼融、互补、创新”的治疗特色。
皮肤科

特色治疗项目

肉毒素注射除皱、瘦脸、除腋臭


消除面部动态皱纹(如:额纹、眉间纹、鱼尾纹、鼻背部皱纹等都可以通过肉毒素除皱来实现);瘦脸、瘦小腿;腋窝多汗症。
水光针、滚针治疗


水光针治疗前后效果图
水光针对敏感性皮肤、干燥性皮肤、*褐斑黄**等有明显的治疗效果,可以让皮肤健康润泽、延缓皮肤衰老。
*疮痤**、*疮痤**后疤痕的治疗

通过中西药口服、果酸治疗、中药面膜、倒模、红蓝光、拔罐、火针、点阵激光、小针刀疗法等一系列综合治疗*疮痤**,修复改善*疮痤**后痘印和疤痕。
光子嫩肤脱毛仪


光子治疗红色痘印
对面部皮肤进行深层护理,促进胶原纤维重新排列,改善面部皮肤的细小皱纹和*血丝红**,收缩毛孔、祛除痘印,嫩白皮肤、祛*血丝红**、去除四肢体毛、腋毛、唇毛、面毛等。
点阵激光仪

点阵激光治疗前后效果图
改善或祛除*疮痤**疤痕、各种外伤瘢痕(凹陷性和增生性瘢痕),改善皮肤皱纹,紧致皮肤,细化毛孔,改善皮肤粗糙,酒糟鼻等。
调Q激光


调Q激光治疗色斑
调Q激光可祛咖啡斑、雀斑、太田痣、蓝黑纹身等色素性疾病。
果酸治疗


果酸治疗一次前后效果图
果酸治疗加速表皮新陈代谢,改善*疮痤**、色沉、粗糙、衰老的作用。
各类中医特色治疗

皮肤科还开展一系列中医特色治疗:中药薰药、中医面膜、中药湿敷、滚针、梅花针、拔罐、火针、穴位注射、穴位贴敷、耳豆压穴。
通过传统医学和现代高科技设备的有效结合,蒙自市中医医院皮肤科在面部祛斑、除皱、皮肤年轻化管理、*疮痤**、*疮痤**疤痕、去纹身、脱发等方面取得了很好的治疗效果,得到了广大患者的认可。
新年就快到啦
有皮肤问题的小伙伴们可以到医院咨询哦
让自己美美的过个年~
部分资料来源:蒙自市中医医院
记者:小菠萝、西瓜
编辑:小菠萝
审核:佴斌
Hi 蒙自
声明/提醒:1.未经许可禁止转载、摘编、复制,改变原文意图,以及建立镜像等任何使用。如需转载,请申请获得授权!否则必追究法律责任!转载请注明来源:今日蒙自(ID:jrmzzx);2.投稿说明:请热心投稿的朋友们投稿时在文章中注明作者(真名或笔名)及联系电话,方便刊发时署名及联系,谢谢!(投稿邮箱:cnhhmz@163.com ; 联系电话:0873-3993670)