#我的2022##生命摆渡人##2022重庆头条#
肺结节患者选择微创手术还是选择开胸手术,一般要根据结节大小、结节位置,以及是否伴有其它并发症来进行判断。通常微创手术对身体的损伤小于开胸手术,但不同的手术有不同的适应症。
微创手术:如果肺结节患者结节较小,如直径<3cm的孤立性肺结节,并且结节与肺门、大血管等重要部位比较远,也没有粘连等并发症,这一类患者一般会选择微创手术切除肺结节,微创结节手术刀口较小,患者伤口愈合比较快。
开胸手术:如果患者肺结节体积过大,肺结节与肺门、大血管等重要部位关系比较密切,或者患者有胸膜炎,出现了胸膜粘连等情况,患者可能因损伤出现大量出血,此时通过微创手术可能无法及时止血,或者因为组织粘连,微创手术的器械不容易进入组织间,并切除结节,这种情况下就会选择进行开胸手术。
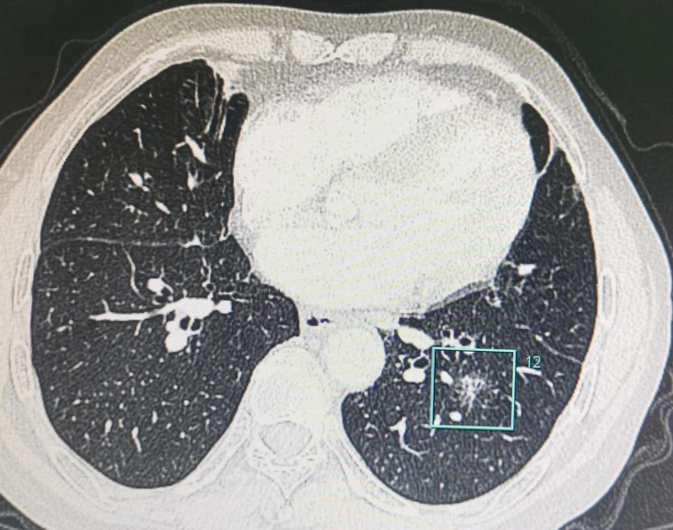
像今天这位湖南的老乡,结节位置深,难度相当大,我们当时做这台手术的时候用了好几个小时才做完,确实累惨了,其实最好做的肯定是像当地医生说的那样,直接做开胸手术,但是考虑到患者已经67岁,老龄患者的恢复能力比较差,还是选择多花一些时间精力、精准定位进行微创手术,以确保患者以后的生活质量。虽然用时久了点,但好在一切顺利,没事了。
以下转自患者家属咨询:
2022-05-17
戴主任,您好!我爸爸情况,男,67岁,吸烟多年。2020年11月体检第一次提示结节(体检之前持续咳嗽2个月左右,未做抗炎治疗),大小17*13(2018年7月体检时没有)。2022年5月再次体检时,报大小15*11(后来请医生再次看过应该是测量误差)。之后马上做了增强CT,图片都附在下面。不知道您是否能看得清楚,拜请您百忙之中帮我看看我爸爸这个结节,是不是尽快要手术了?大概是什么性质了呢?手术可以微创吗?(这边胸外科医生说纵隔窗淋巴结稍大,怕影响微创操作)手术的话是要叶切吗?这个年龄预后会怎么样呀?自从复查以来我真的没有一天不焦虑,满脑子都是这个事情。麻烦您了,非常感谢您!也祝您工作顺利,生活愉快!


我的回复:
看不太清楚,但明显的高危结节,可以口服拜复乐半个月,如果不能缩小,有手术指征。
2022-05-20
戴主任,您好!非常抱歉又要来打扰您。前两天发过贴也得到您的回复建议是外科手术干预,我马上挂号看了本地三甲知名胸外科主任医生,他看完电子影像的判断是可以手术,但由于结节位置比较深,纵隔内淋巴细胞压制的比较厉害(我理解是这个意思,可能不是医生的原话),只能进行开放性手术,叶切,且需要动一根肋骨。听到这个话,我焦虑万分,寝食难安,我好不容易说服爸爸同意进行手术,但如果开放性的他肯定不会同意,再加上他今年67岁了,我怕开放性手术一是风险太大,二是恢复起来太难,所以恳请您能看一下电子影像(我拷贝了增强CT的电子影像),然后帮我判定一下是否可以进行微创手术?如果您说可以,我就带他来找您面诊和手术。再次恳求您能帮我看看电子影像,分析一下手术形式,万分感谢您!

我的回复:
初次发现先随访排除炎症。
具体手术方式 ,没办法回答看这几个图。
2022-06-14
“戴月披星除磨魔,医德医术泽万方”
随着高铁缓缓驶出重庆西站,我看着窗外思绪万千,这次重庆之旅刻骨铭心,但却又是非常的幸运…
今年五一假期,我带着父母去做年度体检,看见爸爸走进CT室时我就非常紧张(前一天晚上我仔细阅读上年度体检报告时才发现报告上提示肺结节1.7cm。因为某些原因,去年体检报告我没有仔细看,也因为没有相关方面知识,我爸自己也没有当回事。我非常的自责和内疚,只能不停的在心中祈祷)。爸爸做完CT我马上就去问了医生,她表示结节还在,但好在大小较去年没有变化,建议上级医院检查。心头一紧,赶紧摸出手机,联系朋友打听专家,想办法挂号,同时拷贝了电子影像备用。
从那天开始,我每天不停地在网上查找相关资料,恶补相关科普知识,也更加觉得爸爸的这个结节来者不善。期间通过好大夫找到上海某位影像专家看了电子影像,他回复我高危,浸润性机会,建议胸外科手术。当时看到这几个字眼泪刷刷的就下来了,更加懊恼后悔,夜不能寐,哭到不能自已。之后几天,每天都在当地几大医院中来回奔波,呼吸科、胸外科都找了好几位主任专家,因为怕给父母增添思想压力,回家还要故作轻松,不能让父母看出异样(此处省略一万字作为独生子女的艰难)。
上天眷顾,这时让我认识了戴主任,找到了贴吧,这也是我第一次*载下**贴吧,经过一晚上的研究,看了无数帖子,我尝试着第一次自己发帖请戴主任看片子给结节定性,没想到非常幸运的当天就得到了戴主任的回复“看不太清楚,但典型的高危结节,有手术指征”。
有了戴主任的定性,我马上开始联系医院,在朋友的推荐和帮助下,决定在当地一家医院做手术,并也成功说服了爸爸做好心理准备接受手术。但在看门诊时,主任医生告诉我说他看了增强CT的影像,由于我爸爸的肺部有粘黏和钙化淋巴结的影响,大概率只能做开放性的手术(也就是常说的开胸),我爸一听就表示了拒绝,怎么都不同意,我也一下子脑瓜子嗡嗡的,当机的感觉,无法思考…
从医院出来,稳定情绪之后我继续搜寻资料和相关方案,我又想到了戴主任,这时我又非常幸运的联系上了夭夭姐,在夭夭姐和冷月姐姐的帮助下,截图再次发帖咨询主任,并且暗下决心,不管主任回复什么,我都要带爸爸去重庆找戴主任面诊和手术。很幸运的第二次也得到了主任的回复,虽然因为影像原因,主任没有给我明确的答复,但是我依然决定带着爸爸踏上了远赴重庆的高铁…
期间非常感谢夭夭姐,冷月姐,可可西里等各位小吧主的帮助,从发帖,到抢号,再到面诊,甚至到做核酸,住宿等一系列贴心的指点和帮助,特别是夭夭姐,我大小无论什么问题都在问她,她也一直非常有耐心的在指点我。
非常幸运的我们,终于在5月30日,来到了戴主任面前,我当时真挺紧张的,以至于有些问题都忘记了。戴主任微笑着,声音非常好听,非常温和且非常有力量,他仔细看了ct之后,说手术吧,90%微创没问题,说着就给我们开了住院单。
接下来就是等待护士小姐姐的通知,先做院前检查,办理入院,术前谈话,等待手术。我们被分在了刘权兴医生和邓旭峰医生那一组,刘权兴医生时常挂着笑脸,憨态可爱,有问必答。邓旭峰医生则亲近随和,因为是我们的管床医生,他不停被我叨扰,不厌其烦的回答我一个接一个的问题。
等到了手术那一天,我在6楼电梯口等了近一天,等到下午的时候我开始焦躁不安,旁边另外的家属们都在安慰我说,没事,别担心,只要医生或者护士没来找你就是好消息。终于,在下午5点多一点,我接到了期待已久的戴主任的电话,电话那头戴主任很开心的告诉我说“手术做完了,确实难度相当大,时间也比较长,但是很顺利,你放心”听到这个话,我眼泪止不住的流下来,一遍遍的说着“谢谢戴主任,您辛苦了!”
后来邓医生告诉我说难怪当地要给你们开放性手术,医生的判断也没有问题,因为让手术操作难度增加的三大问题,全让我爸爸遇见了,他们真的是搞了很久很久,才成功顺利的做完了,只是创口比一般微创稍微大了一点,听到这些,我有些哽咽,真的不知道该如何表示感谢。
在陪爸爸住院期间,真正感受到了新桥胸外科这个集体是个非常有爱的集体,每一名医护都非常负责也非常和善,病友和家属们也互相帮助,非常有爱。对了,我爸说胸外科的小姐姐们打针抽血是一点感觉都没有,手法简直太好了!
啰哩啰嗦的写了这么多,主要还是想表达感谢,感恩上天眷顾,我们何其幸运,遇见了戴主任和他的医护团队,遇见了这么一个有爱有温暖的大家庭!每一位都像一个小太阳,温暖着大家,温暖着正在经历寒冬的人们,给他们力量!最后,再次表示感谢,感谢戴主任,感谢刘医生和邓医生,感谢护士小姐姐们,感谢这个团队里的每一位。另外,也非常感谢在这个期间帮助过我的每一位天使好心人!祝福主任和每一位朋友都平安喜乐,幸福安康!
我的回复:
谢谢老乡的信任。应该不可能复发转移。