结核病,是全球单一传染病致死的主要原因,尤其是中低收入国家。
而随着新冠病毒的流行,结核病患者的不典型肺部症状,容易干扰新冠肺炎的诊断,同时肺结核病人由于存在肺部损伤,感染新冠病毒后往往更严重。

而随着新冠肺炎在全球范围内广泛关注,医疗资源倾斜,有可能影响全球范围的结核病防控。
还好,得益于各行业人们上下齐心,令行禁止,我们国内基本摆脱了这种窘境。
但仍然要明白,我们依旧是结核病高负荷国家之一,对结核病的防控要常抓不懈。普通老百姓,多了解一些结核病的知识也很有用,尤其是肺结核。
今天豪大夫重点讲一下肺结核活动期的CT特点,希望对朋友们有帮助。
判断活动性肺结核的意义
判断肺结核是否处于活动期,有两个重要意义:即“治不治疗”和“停不停药”。
处于活动期的肺结核,有传染性,并且会对肺组织造成持续创伤,需要及时规范治疗;疗程即将结束的病人,也要评估病灶吸收情况,决定是否停药,治疗完成。
痰涂片检查操作简便,价格低,但敏感性差;痰培养敏感度较高,是结核病实验室诊断的金标准,但检测周期长;最近几年结核病病原学分子生物学诊断技术进步很快,为很多疑难病例拨开了迷雾。
本文不作延伸,重点讲述CT片对活动性肺结核的诊断价值:

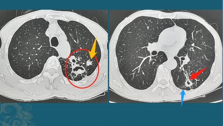
这是一位70岁老人,咳嗽,痰中带血,担心自己长了肺癌,结果CT提示活动性肺结核,有传染性,但可以治愈。
CT片上,提示肺结核处于活动期的征象有哪些:
1.肺结核造成肺组织坏死液化,经支气管咳出脓痰后,在病变肺叶形成空洞,常可见引流支气管(红箭头),并且由于结核性炎症,支气管壁增厚。上图红箭头所指的黑色小管状结构,就是增厚的引流支气管。
2.多发小结节簇集(烟花征)、树芽征、小叶中心结节、磨玻璃影(蓝箭头)、反晕征、肺实变、伴有中心坏死的结节或肿块等;
3.淋巴结肿大、胸腔积液。

像这个年轻的病人,有多发黑色的空洞,引流支气管壁增厚,有边缘模糊的结节影,有肺实变,是典型的活动性肺结核,有传染性,痰液中查到大量结核杆菌,要注意与家人保持隔离,不能随地吐痰。
肺结核杆菌生存力很强,在干痰中可以存活6-8个月,附着于尘埃微粒上,可保持传染性8-10天,但对湿热、紫外线、乙醇抵抗力弱,在直射日光下2-3小时,75%酒精内数分钟即死亡。
哪些CT征象提示肺结核处于稳定期?
肺结核结节发生钙化、肺内残留索条影、胸膜钙化、长期稳定的净化性空洞,或空洞内内容物钙化,稳定的支气管残留损伤(如支气管扭曲、扩张)等,提示肺结核处于稳定期。

像这位病人36岁,右肺尖结节灶,大部分钙化,周围有少量纤维灶和微结节灶,随访观察2年无任何变化,是陈旧性结核灶,稳定期,不需要治疗了。
对某些无法判断是否活动期的肺结核,条件允许的话还可以考虑PET-CT,具有独特价值,尤其是诊断亚临床结核患者、陈旧性肺结核早期复发、评估治疗反应等,很有意义,就是价格贵一些,不宜普及。
肺结核的影像诊断包含很多细节,本文只针对活动性肺结核征象做简练陈述,从基础学习,希望对感兴趣的朋友有帮助!
我是影像科豪大夫,分享小病例,传递正能量,欢迎关注!
参考文章:
预测COVID-19大流行对结核患者及结核病控制方案的影响,Chest window,胸科之窗
《肺结核活动性判断规范及临床应用专家共识》解读,Chest window,胸科之窗
#湖南医聊超能团#