本病例选自丁香园论坛,病例提供者为丁香园铁杆站友 @急诊狼人
患者:男,37 岁,既往体健。
简要病史:因「昏迷于茶几与沙发之间 10 小时」入院。患者自诉 10 小时前因入睡困难,口服 5 片苯巴比妥,后意识丧失。家属发现其昏倒于茶几和沙发之间,呈屈曲俯卧位,立即呼 120 送入我院。
入院后患者解少量酱油色小便,查体见左下肢大面积挤压伤。辅助检查提示横纹肌溶解、电解质紊乱,立即予床边 CRRT,CVVH 模式,前置换 2000 mL。
入院第 2 天,患者出现呼吸心跳骤停,经积极抢救于几分钟内复苏成功。给予 CRRT 5 天后,患者尿量恢复至 150 mL/天,停床边持续血液净化治疗,后给予营养神经、利尿等治疗。
入院第 1 天左下肢挤压处↓↓↓

(点击上方图片查看完整病例讨论)
入院第 2 天左下肢挤压处↓↓↓

(点击上方图片查看完整病例讨论)
入院第 40 天左下肢挤压处↓↓↓

(点击上方图片查看完整病例讨论)

肌酸激酶最高值达 108792.2 U/L

无尿期 9 天

高磷、低钙,高钾明显

转氨酶升高明显

肌红蛋白可测得最高值为 1000 ng/mL,患者肌红蛋白很长时间内 > 1000 ng/mL
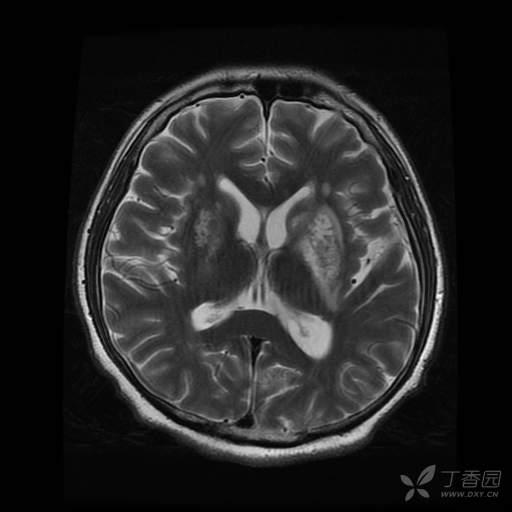
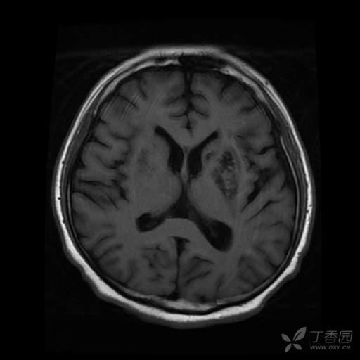
病人入院时意识清,对答如流,入院第 2 天心跳骤停抢救成功后出现言语减少。入院 33 天完善颅脑 MRI ,提示双侧基底节区及放射冠区异常信号;脑白质变性,脑内多发脱髓鞘灶;双侧小脑半球萎缩;右侧上颌窦囊肿。

导致患者意识状态改变的原因是什么?从这份头颅 MRI 能得出什么诊断?
