#重庆头条# #生命摆渡人# #我的2022#
“掐指一算,平平安安”这是我看到这个小姑娘的咨询帖后想到的话。看了她的描述,在每一次重大节点时都会算一卦(不知道这是不是年轻人的新流行),我自认为我不算“贵人”,但是我会尽力让自己成为很多人的“规人”,为大家改变疾病“规划”,重新规划健康的人生。
个人一点小小意见:这个所谓的著名体检公司似乎并未能达到很好的效果,在第一次低剂量螺旋CT已经发现结节的情况下,也没给出正确的意见和告知,有点不太靠谱的样子。建议大家还是选择正规的医院进行全面体检,也是对自己的健康负责。
这个20岁的小姑娘,虽然有些让这个磨玻璃结节中的“潜伏者”吓到了,但是她能通过自己的方式让自己振作起来,找回信心,值得表扬(有时候排解压力的方式是什么不重要,能够真正让自己放松下来才是最重要的)。因为母亲也有肺结节,还是浸润性腺癌,所以当自己也查出结节的时候会对癌这个字感触更深,也能更清楚该怎么去治疗。虽然之前的体检让这个结节潜伏了两三年,但是既然已经查出来了,就不用再害怕,按我说的先随访排除炎症,不消的话,手术切除病灶就好了。
以下转自患者咨询:
2019年10月份,我刚刚过了20岁生日,因为我妈妈发现了磨玻璃结节要去复查,就要我也去做个低剂量CT筛查一下,在一个很著名的体检公司,我自我感觉很健康,心里也想着我这么年轻,会有什么问题呢,但还是听妈妈的话去查了一下,结果出来了,除了转氨酶有点高,什么问题也没有,我心里面没有任何感觉,就是高兴自己果然挺好的。
2021年4月份,妈妈的结节变大了一点,我们都很恐慌,准备要去做手术,不知为什么,从来不玩贴吧的妈妈居然机缘巧合的听说了戴主任,发了帖子,在等待戴主任回复的时候,我找人起了一卦,卦象说,病得安愈,枯井逢泉,得遇高人相护。当时对命运之说似信非信,现在经历了一系列巧合却不得不相信命运自有安排。我们不远千里,顺利的来到重庆,戴主任亲自给妈妈做了手术,手术很成功,虽然浸润了,但6mmIA1期无高危,预后很好,我们心头的石头落了地。妈妈让我做一下CT看看我怎么样,我忙于毕业的事,没有做。
2022年1月份,妈妈去重庆做另一边肺的结节,我本来要去广州的,谁知道没有赶上车。现在想来,如果赶上了车或许一切都会不一样,或许有一天发现的时候已经不可挽回了。不过幸好,我没赶上车,陪妈妈来了重庆。在妈妈做手术的前两天,自己做了低剂量螺旋CT,晴天霹雳,一下子把我打懵了,7*4mm,平均CT值-200左右,我为了妈妈的结节一直在看科普,直觉这个就很不好,妈妈住在医院里,我和爸爸在宾馆无言流泪。心里很悲凉,怎么年龄这么小,结节就这么大,这么恶性了,幸好爸爸妈妈一直在我身边,我们互相安慰,互相支撑,才度过了那一段恐惧又悲伤的日子。也是在那几天,我又起了一卦,卦象上说,治病:渐平安,贵人扶。想到戴主任,我的心就慢慢变平静了。
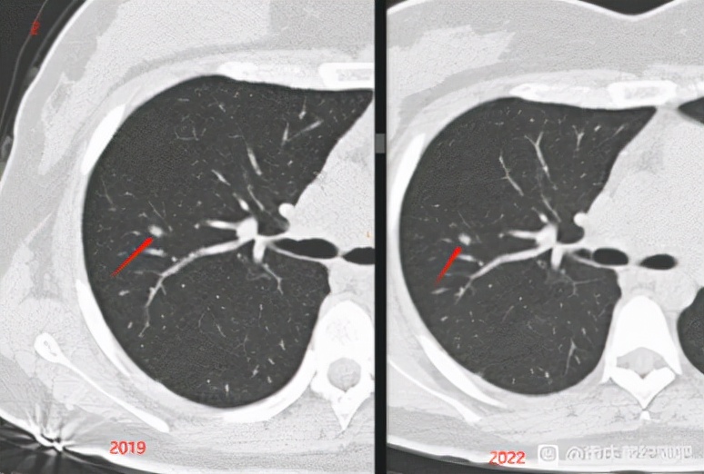
2022.2.26,也就是前几天,我想回去看一下19年的CT,确认一下当时到底有没有这个结节,于是与当时的客服经理联系,希望能查19年的报告。终于拿到了19年的CT光盘,我自己在电脑上找,果然就发现了这个结节。真是哭笑不得,这么大,这么实的结节,当时居然都没看到嘛。
自从发现结节以来,我的心情很复杂,既悲伤于20岁就有一个这么大的结节,而且还一次次的错过发现它的机会,又有点高兴,既然已经在我身体里两年了,是不是说明它挺好的,恶性程度不高。同时也觉得自己很幸运,虽然一而再,再而三的错过,让它在我的眼皮子底下‘潜伏’了两三年,但幸好来到了重庆,幸好来到新桥医院拍了片子,终于发现了它,幸好我遇到了戴主任且非常信任主任,幸好有医者仁心,急病人之所急,难病人之所难的戴主任,让我在恐惧中看见了希望.....幸好的事情太多了,看来我也还是有一点运气的。
一朝变成肺结节患者,我的心态难免发生了变化,恐惧经常在夜深人静时浮起,攥紧我的心。我的结节不仅尺寸很大,密度很大,好像还有一点点的血管穿行和小空泡,颈部彩超显示Ⅱ区淋巴结增大。求问戴主任,1、现在大概处于什么阶段呢,2、是否需要立刻手术,可不可以四月初再去重庆准备手术呢,3、是否影响生存期呢,谢谢戴主任,祝您快乐健康!
这是2019.9和2022.2在同家体检机构的CT对比:

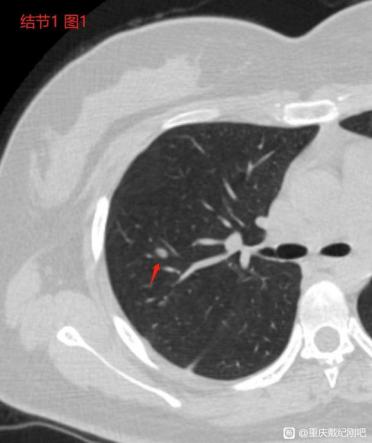
这是2021.1在新桥医院拍的CT及报告:


我的回复:
小混磨,至少微,3-6个月内手术问题不大。还是口服拜复乐半个月吧,万一消了呢。
