
顾建文,崔绍杰,李连峰,张俊海,解放军306医院,神经外科
海绵窦海绵状血管瘤为好发于蝶鞍旁海绵窦区的一种先天性血管畸形性病变,属于脑外型,发生率很低,仅占颅内海绵状血管瘤的0.4% 一2.0% ,由于其临床表现缺乏特异性以及对其影像学表现认识不足,临床误诊率较高¨ 。由于海绵窦区血管丰富且解剖结构复杂,术前诊断对治疗方案的制定有着十分重要的意义。海绵窦海绵状血管瘤 (Cavernous Hemangioma in the Cavernous Sinus,CSHAs)的CT、MRI及DSA的影像学及病理特征,旨在提高对该病的诊断及鉴别诊断水平,降低术前误诊率。

肿瘤的实质是畸形血管团,起源于海绵窦区的硬脑膜。海绵窦位于蝶鞍两侧,结构复杂,窦内有颈内动脉和外展神经通行,外侧壁自上而下依次为动眼神经、滑车神经、眼神经和上颌神经。海绵窦海绵状血管瘤与海绵窦内上述重要结构关系密切,故手术难度大、疗效差;且术前易误诊,术中易发生大出血而危及生命。近年来,随着神经影像学、显微神经外科的发展,肿瘤切除率显著提高,但术后仍有较高的死亡率及严重的并发症。
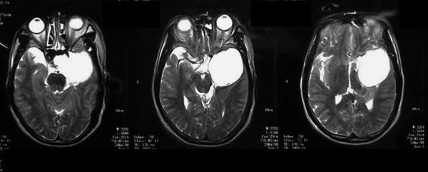
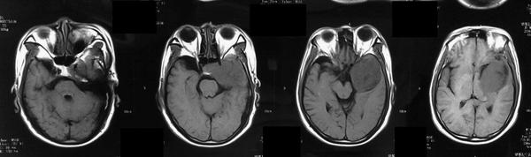
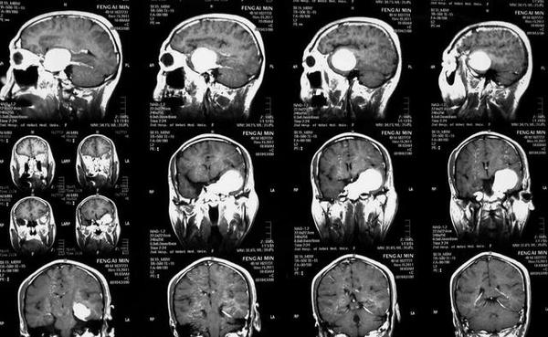
CT表现呈等密度、混杂密度、病灶边缘见小片高密度钙化。所有病灶边缘均光滑,与邻近脑实质分界清晰,无瘤周水肿,增强检查后均呈显著强化,强化均匀、部分不均匀,颈内动脉海绵窦段受压移位,部分病灶包绕血管,颈内动脉未见明显狭窄。CT骨窗上有中颅窝底、前床突及岩尖部等有骨质吸收,未见明显骨质增生。
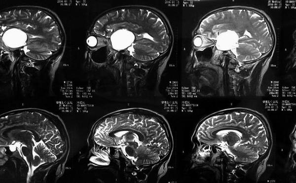
MRI表现:病灶中相对脑实质来说T WI上呈等信号,或稍低信号,信号均匀,少数内部见小片高信号。T WI及T 一FLAIR上均为明显高信号。CSHAs的血供丰富及解剖结构较复杂,术前误诊率和术后致残率均较高,掌握其CT、MR及DSA等各种影像学检查方面的特征性表现,可提高术前定位及定性诊断的准确率,对于临床治疗方案的制定、确定手术入路以及减少手术致残及致死率有着十分重要的意义。

有学者认为海绵窦海绵状血管瘤与雌激素、孕激素和促性腺激素的水平有关 。而Ohata等则认为这是颅内高血流状态和动脉收缩压升高所致。有文献报道部分患者有腺垂体功能减退的症状,与肿瘤向鞍内生长有关。海绵窦海绵状血管瘤的影像学特点为同时累及鞍旁和鞍内的单发大肿块,呈哑铃状,密度多均匀而少出血和钙化,其在CT扫描时呈等或稍高密度,瘤内常无钙化,可侵蚀颅骨,但一般不伴骨质增生。MRI扫描时T wI明显高信号和显著均质强化是其重要的诊断依据 ” 。

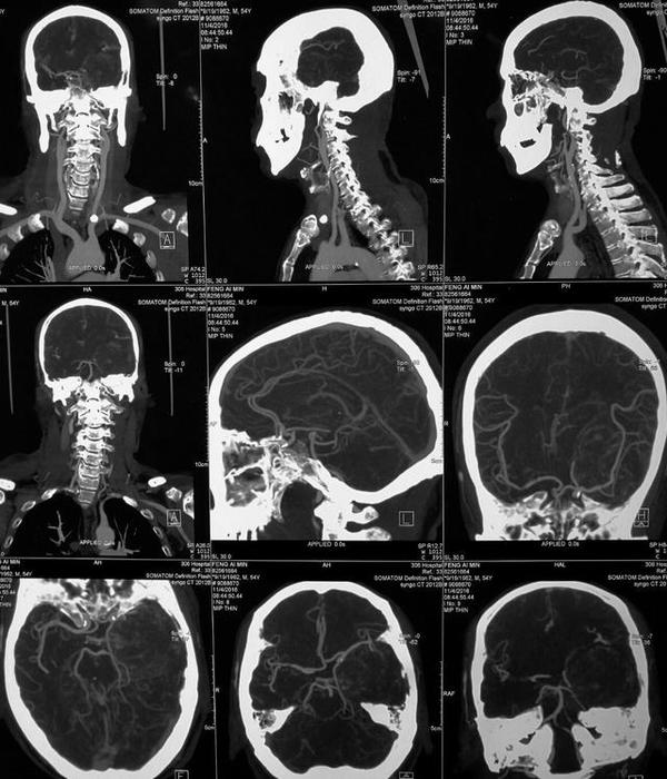
海绵窦内海绵状血管瘤行DSA检查时,多表现为海绵窦内血管显影较少的病变,常无典型的供血动脉和引流静脉,仅少数瘤体显示小斑点状染色或“池状”造影剂浓集,可见颈内动脉移位、包裹、但无狭窄征象 。海绵窦海绵状血管瘤一直是神经外科手术治疗的难点。显微手术切除是最有效的治疗方法 ,理想的手术效果是既全切肿瘤,又减少出血,同时避免损伤颈内动脉和海绵窦区的颅神经。

海绵窦海绵状血管瘤位于硬膜外,故采用改良翼点硬膜外入路可减少出血,且易到达病变部位,提高全切率。如血管瘤从海绵窦生长至鞍内、鞍上或中颅窝则可加眶颧弓切断。海绵窦海绵状血管瘤表面多有纤维假囊即假包膜,术中利用其与海绵窦分界清楚且易剥离的特点,严格沿假包膜与相邻硬膜的界面分离并切除肿瘤,有利于颈内动脉海绵窦段和第Ⅲ、Ⅳ 、V、Ⅵ颅神经的保护,可避免误入瘤内,引起大出血。手术时应注意:① 严格沿假包膜与硬脑膜之间界面分离,避免损伤颈内动脉海绵窦段和颅神经,尤其是注意避免动眼神经、三叉神经分支的损伤;②尽量整块切除肿瘤,以减少出血;③ 对于蝶鞍内的肿瘤可扩大海绵窦间隙,注意勿损伤垂体;④动作要轻柔且速度要快;⑤ 切除病变后止血时应尽量少用双极电灼,岩斜区静脉丛出血可用明胶海绵压迫止血;⑥术中应进行颅底重建,避免术后出现脑脊液漏。当海绵状血管瘤尚局限于海绵窦内时,其血供主要来源于颈内动脉海绵窦段的分支,随着肿瘤生长,脑膜动脉尤其是脑膜中动脉逐渐开始参与供血,虽然血管瘤血供丰富,但术中往往难以见到异常粗大的供血动脉,而只是许多细小的动脉分支。术中设法找到血管瘤的供血动脉(一般位于血管瘤后内侧或前内侧间隙),双极电凝后切断,可显著减少瘤体的张力和体积,利于进一步分离,当血管瘤巨大或张力较大时,可行全身降压或用双极电凝假包膜,使血管瘤皱缩,以利分离,切除肿瘤严密止血后可用自体脂肪行颅底重建,防止术后出现脑脊液漏。术中采用控制性降压,当收缩压降至90mmHg以下时,瘤内血流量显著减少,瘤体明显缩小。可经硬膜外入路,加颧弓切断,或硬膜下入路。术后动眼神经麻痹发生率可能较高,而三叉神经损害和偏瘫的风险可能。

海绵窦海绵状血管瘤对放射线敏感,术前放疗可使瘤体缩小,瘤内血管变性、狭窄,瘤内血栓形成,有利于手术操作 ,因此有学者认为,术前辅以放疗可提高肿瘤全切率和减少术中出血,残余血管瘤可辅以放疗以控制其生长。近年来,有学者尝试用伽玛刀治疗海绵窦海绵状血管瘤,取得了良好效果,多数未出现新的颅神经受累症状,肿瘤中长期控制率达9o 以上。Li等口 认为治疗小而局限的海绵窦良性血管瘤,伽玛刀是首选治疗方案,且并发症少,肿瘤抑制率高。术后行放射治疗,放射治疗可使部分肿瘤缩小,缓解临床症状,且并发症少,是一种安全有效,可作为海绵窦海绵状血管瘤首选的治疗方法,亦可作为手术的辅助治疗。显微手术切除是海绵窦海绵状血管瘤最有效的治疗方法,关键是需要既全切血管瘤,又避免损伤颈内动脉及海绵窦区颅神经。经翼点开颅和硬脑膜外入路切除海绵窦海绵状血管瘤是较好的手术方式,手术全切率高、并发症少。放射治疗可使部分肿瘤缩小,缓解临床症状,且并发症少,是一种安全有效并可作为海绵窦海绵状血管瘤首选的治疗方法,亦可作为手术的辅助治疗,但目前国内外对于放射治疗只有散在的少量病例报道,尚无大宗长期随访病例资料,其远期效果尚需进一步临床验证。








