
经皮胸膜穿刺活检简称为胸膜活检,比较简单、安全、经济、创伤小,广泛应用于临床。根据是否需要影像引导来进行穿刺,可以分为盲穿和影像引导穿刺,影像引导穿刺又分为CT引导和B超引导穿刺或X光引导穿刺。
胸膜活检的适应证和禁忌证有哪些?
胸膜活检的 适应证 :
由于很多胸腔积液在抽胸水的情况下无法诊断疾病,对于这种不明原因的胸腔积液,可以考虑胸膜活检;另外,有些不明原因的胸膜增厚也可以进行胸膜活检。
胸膜活检的 禁忌证 :
严重出血倾向,凝血机制障碍者;
血小板计数<50×10^9/L者,应在操作之前先输血小板进行纠正;
体质衰弱、病情危重,难以接受操作者;
穿刺部位有脓肿或感染,穿刺活检时可能把病原体带入胸腔引起感染,应待感染控制后再实施操作;
肺功能严重不全、严重肺气肿、肺动脉高压、肺大泡、肺包囊虫病等;
有严重精神疾病,无法配合操作者。
胸膜活检操作前都需要准备什么?
1、了解患者的病情(病史、影像学、彩超),了解胸腔积液的部位、量、范围、有无胸膜增厚。操作前行超声胸腔积液定位,了解胸腔积液的深度及定位点。
2、对患者详细交代胸膜活检的目的,可能的不良反应及对策,操作过程中患者需要配合的要点如不能活动身躯、不能言语、不能深长呼吸、不能剧烈咳嗽。如果出现胸闷、气短、头昏、心悸、眼黑等不适,应及时摇手示意以中断操作。避免患者紧张,也取得患者配合。
3、患者避免空腹。
4、过度紧张且无禁忌证,可术前服用*西泮地**10mg或可待因30mg。
5、准备物品:胸穿包、安尔碘、消毒棉签、利多卡因、胶带等。
6、专用的胸膜活检针。不同厂家生产的胸膜活检针有所不同,但原理大同小异,都是利用针上锐利的反钩对胸膜组织进行切取。既往胸膜活检多采用Cope钩型活检针或改良的Cope钩型活检针。由于其创伤较大,近年来临床上更多使用的是弹簧切割活检针。
下面我们来了解胸膜活检的方法
一、活检
基本原理如下图,把针芯推入病变部位后,用切割鞘进行切割组织样本,最后拔出活检针,获取组织样本。

这是有些实验会使用的活检针的简单示意图,1是鞘针,2是穿刺活检针,3、4可以看到把组织样本切割在里面。

完整操作步骤如下
1、确定进针点
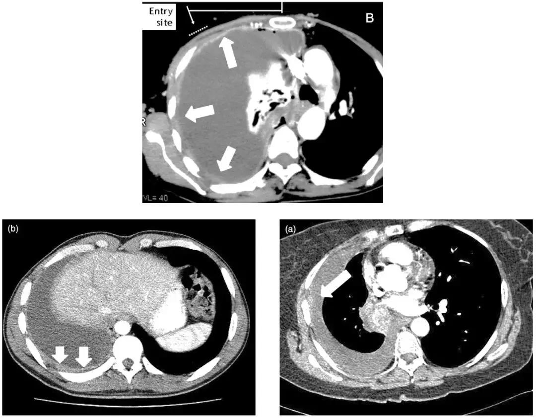
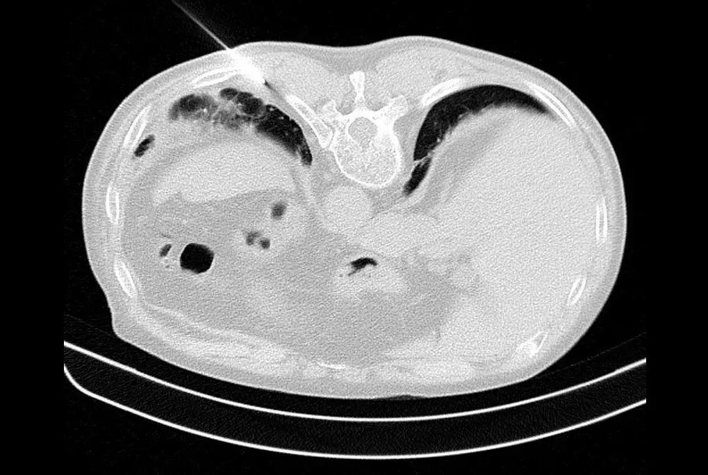
如果是盲穿的话,原则上应该选择胸部叩诊实音最明显的部位或超声定位点。积液较多时通常选取肩胛下线或腋后线第7~8肋间。为了提高活检的阳性率,在操作前仔细阅读患者胸部CT片,寻找胸膜增厚的区域。寻找到CT片上胸膜增厚的区域后,根据体表定位标志,在患者体表上判断胸膜增厚大致投射到体表的区域。在安全的前提下,确定进针点。
仔细阅读CT,识别胸膜增厚点是成功的第一步

我们可以看到CT图像上,选择胸膜较厚的地方来进行穿刺,阳性率较高,反之阳性率较低(箭头为增厚部位)。
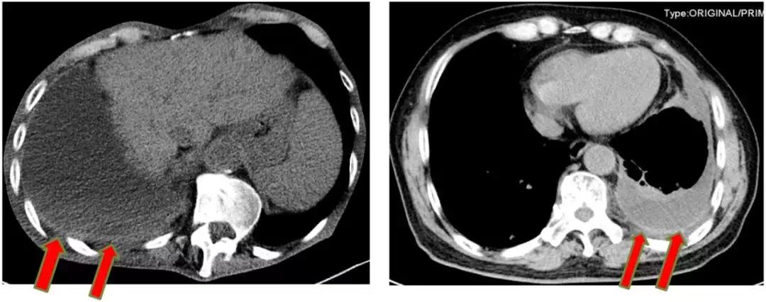
适合盲穿活检的胸腔积液 >>
胸膜弥漫性增厚,在相对比较弥漫的地方确定安全的进针点进行穿刺。

2、体位
患者取面向椅背的骑跨坐位,双臂置于椅背,额部枕于臂上,嘱患者轻度弓背,使肋间隙增宽。
3、活检方法
常规消毒,铺无菌孔巾。2%利多卡因局部浸润麻醉,尤其在壁层胸膜表面应注射较多的麻醉剂。使用麻醉针试穿抽得胸腔积液。麻醉满意后换用胸膜活检针进行穿刺。如果不能使用麻醉针抽到胸水,则不要贸然进行胸膜活检(如果必需进行活检,则应考虑在B超或CT引导下进行)。
用Cope针于穿刺点将套针与穿刺针同时刺入胸壁,抵达胸膜腔后拔出针芯,先抽胸液,然后将套针后退至胸膜壁层,即刚好未见胸液流出处,固定位置不动。
将钝头钩针插入套管并向内推进达到壁层胸膜,调整钩针方向,使其切口朝下,针体与肋骨呈30°角。左手固定套管针,右手旋转钩针后向外拉,即可切下小块胸膜壁层组织。改变钩针切口方向,重复切取3~4次。将切取组织放入10%甲醛固定送检。
活检完毕后,拔除套管针,迅速用无菌纱布压迫穿刺部位,用弹力胶布固定,一般不必缝合切口。嘱患者卧床休息并密切观察,以除外并发症的发生。
现在使用更多的是弹簧切割活检针
选取合适口径的穿刺活检针(14~20 G在一般情况下都可以使用,结合操作者的实践经验,通常选取16G或18G的穿刺活检针能兼顾取材成功和保证并发症发生率在可接受的范围内,因为口径较粗,活检的阳性率更高,但是出血的风险可能更大一些)。将穿刺活检针安装到配套的弹簧柄上。左手固定穿刺点,右手持装好活检针的弹簧柄沿选取的穿刺点进针,当接近胸膜组织时,扣动扳机,切割活检针弹出自动切下组织,拔出活检针留取标本并用10%甲醛固定。沿不同的角度重复上述操作3~4次。
4、同轴针穿刺系统
使用活检针配套的相应型号的同轴针进入穿刺点,拔出同轴针的针芯,然后通过同轴针的套筒插入活检针进行取材。多次取材,胸膜上只会留下一个穿刺孔。避免反复穿刺在胸膜上造成多个穿刺孔,减少并发症的发生率,但在胸膜上形成的穿刺孔较大。
二、CT引导下胸膜活检
优势:精准定位到目标部位,提高诊断敏感性。
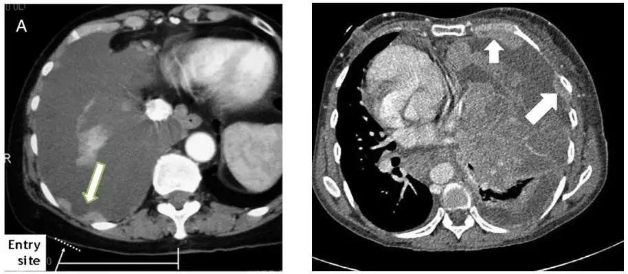
如下图,选择增厚、病变比较明显的地方进行穿刺,阳性率较高。

操作步骤比较简单
CT扫描确定胸膜增厚的区域,使用体表定位卡选取最佳进针点,设计好进针方向、深度和角度。穿刺点常规消毒铺巾后,使用同轴套针沿设计好的进针路径缓慢进针,达到计划深度后再次行CT扫描,如确定针尖已达到目标部位后,使用切割针进行穿刺活检。
优势:
①对局灶病变,精确掌握进针点、角度、深度,这些都可以进行调节,比如针进去后,发现没有达到目标部位,可以再进去一点或者拔出来一点;
②能完成特殊部位(肩胛骨/纵隔附近)的活检。


男性,68岁,CT示:左下肺后基底段结节影伴左侧胸膜局灶性增厚。CT引导下胸膜穿刺活检证实为腺癌。
CT引导下胸膜活检的敏感性和特异性相对较高,对患者有利。

缺点:
①射线暴露;
②不能实时引导(必须把活检针穿到目标部位后,再扫描查看是否到达目标部位,再调整活检针的位置);
③费用相对高昂。
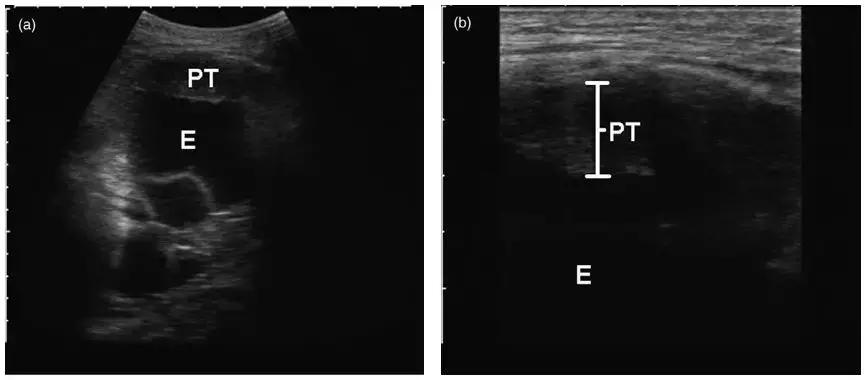
三、彩超引导下胸膜活检

超声指引下,切割活检针达到目标部位后扣动弹簧扳机完成活检,所以特异性和敏感性都不错。
文献报道,CT或超声引导下的胸膜活检对胸膜恶性疾病诊断的敏感性达70~91%,而盲穿胸膜活检对胸膜恶性疾病的敏感性仅为40~75%。
在有条件的医院,应鼓励开展影像引导下的胸膜活检以提高对胸膜疾病的诊断率和安全性,尤其是针对局灶性胸膜病变者。
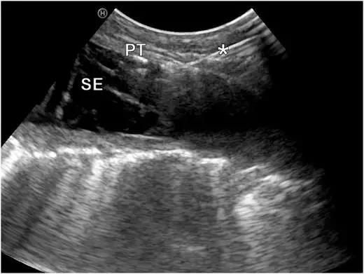
这是在彩超引导下的胸膜活检,胸水较少,胸膜局灶增厚。在穿刺中,可以看到针的所在位置。

优点:实时引导、无射线暴露、费用相对较低。
缺点:依赖超声仪器品质,因为不同的机器达到的效果不同;另外,由于超声扫描的Total的放置角度、位置都对成像有影响,所以超声医师的经验也很重要。

胸膜活检 CT引导 VS. 彩超引导
CT引导下胸膜活检和彩超引导下胸膜活检,哪种更好?

国外有研究表明,从取材成功率来说,CT引导下有170例,彩超引导下有103例,成功率类似,分别为97.1%和96.5%;CT引导下的气胸发生率高于彩超引导下;出血风险相似;CT引导下的平均耗时较高;但是CT引导下基本没有盲区,彩超引导下存在盲区;CT引导的费用相对高。
国外也有研究比较在CT引导下和彩超引导下的敏感性和风险

对于恶性病变而言,彩超引导下和CT引导下的阳性率基本上是70%~80%左右,高的时候可以达到90%多,阳性率较高。

胸膜活检(盲穿)诊断恶性胸腔积液的敏感性比胸腔穿刺略高;CT或彩超引导胸膜活检可以达到91%;胸腔镜敏感性非常好,存在优势。
如何处理并发症?
1、胸膜反应
在胸膜活检过程中,患者出现剧烈咳嗽、头晕、胸闷、血压下降、心悸、冷汗甚至晕厥等一系列反应。可能与饥饿、体质虚弱、紧张等导致的反射性迷走神经功能亢进有关,也与术者操作不熟练、麻醉剂量不足、过度刺激胸膜有关。
如何防治胸膜反应?
术前应与患者详细沟通,消除其紧张情绪。精神极度紧张者可于术前适当使用镇静药物。对壁层胸膜进行充分麻醉。一旦出现胸膜反应,应立即停止操作,让患者平卧休息。轻者经休息与安慰后即可自行缓解。但如出汗明显,血压下降长时间不能恢复时,除予以吸氧、输注葡萄糖液外,必要时可皮下注射肾上腺素0.5mg。
2、气胸比较常见
活检过程中空气从活检针漏入胸腔,或者活检针刺透脏层胸膜导致气胸发生。
无症状者通过吸氧、卧床休息往往会自行缓解。有症状者,可以通过胸腔穿刺抽气排出气体。少数患者症状较明显,经CT证实为大量气胸者,应予闭式引流。
3、血胸
常见于穿刺针刺破肋间血管所致,所以穿刺时应注意沿肋骨上缘进针。若出现较大量的不凝血液,应立即拔除穿刺针,密切观察患者一般情况和生命体征,进行止血治疗,必要时应予闭式引流。如果损伤肋间动脉或胸廓内动脉,可能引起较大量的出血,经内科治疗无好转者,应尽快进行手术处理。
4、邻近脏器损伤
个别情况下,穿刺针位置较低等原因造成误穿肝脏、脾脏、肾脏等邻近脏器。
患者可能无明显症状,而病理检查发现送检的为肝、脾或肾组织。如果刺伤脏器较明显,尤其是较脆弱且易出血的脾脏,可能会导致大出血而需要手术处理。
弹簧切割胸膜活检术对诊断不明原因渗出性胸腔积液的临床价值

我们以前使用B超定位,用BARD全自动弹簧切割活检枪装配14G穿刺活检针,B超引导下穿刺。落空感后稍微后退,释放弹簧针切割胸膜后拔出活检针,留取标本10%福尔马林固定。
如下图,但是现在都很少使用这个针了,我们现在常用自动的切割针。打开以后,把针装上,再把弹簧拉过来,然后进行释放、切割。

胸膜活检及病理学检查结果
367例胸腔积液患者均自愿接受了胸膜活检术,其中有349例(95.10%)患者第一次就成功取到了胸膜组织。
18例患者取到了肌肉组织或脂肪。第一次未成功者继续行第二、三次弹簧切割式胸膜活检术。
共有268例患者的胸膜活检有特异性病理结果(其中含非特异性炎症病理改变),总诊断率为73.02%(268/367)。
并发症>>
弹簧切割胸膜活检术累计施行402次。
出血36例次,发生率为8.96%(36例次),表现为胸穿过程中抽出肉眼可见的均匀一致的血性胸水,或原先的血性胸水颜色加深,但没有血流动力学不稳定的情形发生。
胸膜反应发生25例次,发生率为6.22%,表现为操作过程中,患者出现连续咳嗽、头晕、胸闷、面色苍白、出汗,此时中止操作,给予患者平卧或吸氧,一般采取这些措施后患者可自行缓解。其中1例患者出现严重胸膜反应,通过0.1%肾上腺素0.5mL皮下注射后缓解。
气胸14例次,发生率3.48%,表现为无张力性气胸,每例肺压缩均小于40%,大部分不需进行特殊处理或在完成胸穿抽液抽取气体后复张。
并发症总体发生率为18.66%。
经验和体会
经皮穿刺活检是呼吸内镜的补充技术手段;
选择活检技术应依据:患者状况、病灶部位、风险预估、操作者对技术的熟练程度,是否进行开展;
尽管严重并发症的发生率极低,但仍应该有规范的管理流程和应急抢救预案。
参考文献
[1]Korean J Radiol. 2012;13(2):210-226
[2]Maskell NA. Lancet 2003; 361: 1326
[3]Sconfienza LM. Radiology. 2013;266(3):930-5.
[4]Dixon G. J Thorac Dis. 2015.
[5]Koegelenberg CF. Respirology. 2011 Jul
[6]Dixon G. J Thorac Dis. 2015 Jun;7(6):1041-51.
专家介绍

罗凤鸣,四川大学华西医院教授,呼吸与危重症医学科副主任,博士研究生导师。中国医师协会呼吸内镜专委会常委、中国医师协会呼吸医师分会青年工作委员会副主任委员、四川省医师协会呼吸医师分会常委、四川省医学会全科专委会副主任委员、四川省医学会内科专委会委员、四川省医学会变态反应学会副主任委员、四川省中西医结合学会呼吸病专委会常委、中国中西医结合学会变态反应学会青年委员、《World Journal of Methodology》编委、《Inflammation and Cell Signaling》编委、《中国肺癌杂志》编委、《生物医学工程杂志》编委、《国际呼吸杂志》编委。
本文完
未经许可,请勿转载