女人生育的过程神圣而伟大,但不可否认,很辛苦很辛苦!所以经常有女人说:让男人来体验下怀孕就好了!
男人的肚子大的像怀孕?
泉州的雷先生在码头工作,可最近一个月,他感觉不太对,腰酸背疼,关键肚子一天一天的大了起来,这是什么情况?难道只是简单的发福了?甚至周围有人笑话他,说他怀孕了。

虽然雷先生一直坚持是因为结婚后发福了,可在家人的一再催促下,他还是来到了医院检查,医生在给雷先生的大肚子做了彩超后,大吃一惊,虽然雷先生的肝脏和胃都正常,但是他竟然有4个肾脏!

这种病学名叫做:先天性双侧双肾、双输尿管重复畸形。每10万个人中才有1例。
雷先生的右侧一个肾脏的输尿管没有接入膀胱,呈闭锁状态,这就造成了大量的尿液在输尿管里聚积,如果一旦发生破裂导致感染,严重的会危及生命。

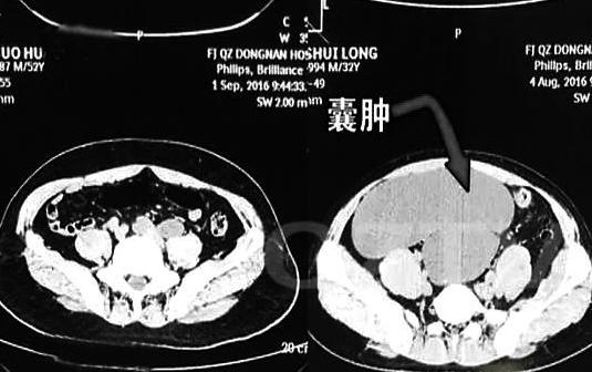
上图中左侧是正常人的腹腔,右侧是雷先生的腹腔,图中可以看出,其腹腔2/3的空间被肿大的输尿管占满,形成了囊肿,随时可能破裂,所以医生决定,迅速对雷先生进行手术,切除右侧重复肾脏和病变的输尿管。
医生说,切除的囊肿竟然重达5斤多。
那么肾脏这么多的人,与正常人有什么区别吗?
重复肾的发病概率在十万分之一,其实在国内,重复肾的人很多,但是要问与常人有什么区别,也得看重复肾的形态与病变与否,如果4个肾脏都正常,那么他可能在力气、喝酒、免疫力上会高于常人。
重复肾属于先天性畸形发育,如果发育正常则无需手术,但是一旦发生病变,导致积水,就要通过手术治疗了。

那么,脑洞大开的网友又要问了:既然有4个肾,是不是可以把多余的肾脏捐给别人呢?
答案是:不可以!
畸形肾本来就是发育不正常的*体器人官**,肾移植对于肾脏的动脉静脉有一定的要求,畸形肾满足不了这个要求,而且重复肾的情况很复杂,如果手术,很有可能会危机临近肾脏的功能。