后台陆陆续续接到过很多关于补牙相关问题的咨询,其中占比最多的一个问题就是'为什么明明就是去补个牙?那个医生却要先在我牙齿上挖出个大洞?这是不是说明我牙齿损坏的程度其实根本就不需要补牙呢?'由于最近咨询人数过多,今天在这儿就统一做个关于'补牙'问题的回复。
除了部分因为外伤造成的牙齿缺损,补牙大多数被用于龋齿治疗;我们需要先知道的是,龋齿与物理缺损不同,它是属于由于细菌不断蚕食牙体造成的损伤,这种细菌具有不断腐蚀的能力,就像是一颗正在腐败的苹果,即使表面看上去依旧很光滑健康只有一个黑点,内里其实已经是别有洞天了;

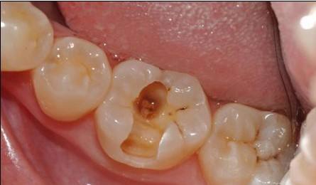
你看到是这样的

其实打开之后是这样的
补牙流程

1. 窝洞制备
补牙的第一个步骤就是要先'挖洞',挖洞其实就是医生说的——窝洞制备,首先是去腐,清除掉已经发生病变的牙体,如果不把这些被细菌侵蚀的组织去除干净,即使用再好的填充物补牙,后期也会很容易造成继发龋;
然后在根据患者龋齿情况进行固位形、外形和抗力形设计;补牙不是简单的用填充物把龋洞塞上,就可以宣告治疗结束了;而是需要经过严谨的检测和设计,既能让填充体可以安分守己的呆在窝洞中不松动、不脱落,也能让它承受正常的咀嚼力,维持患者用牙的基本需求。
所以患者在医生进行'开洞'过程时不需要紧张,这是属于正常流程。

2. 窝洞消毒
窝洞打开,制备结束后就需要进行窝洞消毒处理,如果只是浅龋病变程度不大,那么基本上只需要进行一次消毒就可以填充补牙材料;如果龋病比较严重,已经达到中龋、深龋的程度,那就需要先进行封药处理,封药3-5次后根据龋齿情况在进行下一步;如果患者有牙髓炎或者其他牙神经方面的问题就需要先行做根管治疗。

3. 填充
补牙填充材料需要提前与医生沟通好;目前补牙患者选择比较多的填充材料就是银汞合金和树脂:
①银汞合金:银汞合金主要是由银、锡、铜、水银合成的,它材质坚固不容易被磨损,可以承受比较强的牙合力,且术后不会出现树脂补牙可能会出现的牙齿酸痛的问题。但是由于成分构成原因这种填充材料的颜色呈现为银灰色,所以多用于隐蔽位置牙齿的填充。
其实对于银汞合金很多患者会比较有顾虑,担心材料里含水银安全性不高,其实不需要过于担心,水银与白银、铜、锡混合后会十分稳定,不会对患者身体造成影响。
但是需要额外注意的是使用银汞合金作为填充材料,对窝洞制备技术要求会比较高,普通口腔医师达不到这项技能要求,所以建议想采用这种填充材料的患者尽可能去正规大型口腔医疗机构补牙。

②复合树脂:复合树脂也是近年来采用较多的一种修复材料,不仅价格可观,美观性也很高,颜色基本上贴近牙齿自然色,比较适合前牙修复和对美观性要求高的患者;
但是如果患者龋齿程度较深那就不建议采用这种填充材料了,否则很容易出现补牙后牙齿酸痛的情况。

4. 补牙后的处理
根据患者龋齿情况,医生会针对性的对患齿进行处理,如果龋病较大,在条件允许的情况下可以进行后续的牙冠修复治疗。

龋齿是属于一旦形成基本上就是不可逆的,只会越来越糟糕,所以补牙治疗应该早治疗早好,在发现浅龋时就应当及时就医,这样不但可以有效停止龋病的侵蚀少遭罪,价格还便宜。如果已经发展成了中龋或者是深龋,那由于龋坏位置接近于牙髓神经,窝洞制备磨牙时不可避免的会有疼痛不适的感受,且费用会稍高一些,患者也要做好相应的心理准备。
