烤瓷牙修复目前广泛运用于临床医学上,服务于广大牙病患者。不管是单口牙齿缺失、多口牙齿缺失,还是牙齿缺损都可以用烤瓷牙来修复。烤瓷牙的效果明显,但作为患者如何才能判别烤瓷牙的质量呢?

颜色。烤瓷牙的颜色并非越白越好,最好的是和真牙的色泽一样自然。常瓷层越厚,美观效果越好。临床上牙齿预备不足,就容易出现烤瓷牙呈白垩色或者呆板、肥厚。
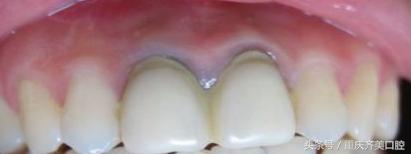
牙龈和烤瓷牙边缘接触带。如果术后患者的牙龈没有明显的充血红肿的现象,没有剧烈的疼痛感,那就是成功了一半。烤瓷牙边缘的精度与牙齿之间的接缝,缝隙越小越好,这样细菌就不容易侵入,引起感染。

功能。烤瓷牙在美观同时要不影响原有牙齿功能。缺少专业知识的患者可能对生理功能上的异常或丧失并不能马上意识,烤瓷牙不仅有修复牙齿美观的功能,还有恢复咀嚼、预防牙齿畸形等口腔问题。
形态。牙齿的形态正常,不肥大,唇舌无异物感。临床上通常有一个错误,就是烤瓷牙肥大,导致唇部和舌部的不适,觉得牙齿很厚,同时临面的增厚和牙齿的不良形态导致牙龈受到不良的刺激,导致牙龈的肿胀。

效果性。烤瓷牙的生物相容性是良好的,烤瓷牙根据其材料的不同,生物相容性不同,好的烤瓷牙具有抗腐蚀性,组织无过敏,如果是普通金属烤瓷牙,戴一段时间后,金属物质会析出,牙龈边缘会有一些灰黑色的物质,容易刺激牙龈。
烤瓷牙会在制作的过程中磨除部分牙体,技术良好的医生在牙体预备的过程中,保证牙神经不受到损伤,同时术后适应时间也很短,一般几天就可以适应。
烤瓷牙因其材料的不同,效果和美观性、安全性等方面皆有差异,具体选择还是应与医生沟通后决定,避免造成不良的后果。
