大家都知道,涂氟、窝沟封闭等方法可以预防患“蛀牙”。那么,对于已经“坏掉”的“乳牙”我们该怎样“保护”呢?别急,让我来告诉你!那就是—— 预成冠!预成冠!预成冠!
来,先看看,我是长这个样子的:

我很丑,但我的作用是强大的!
一个预先成型的、与牙齿非常贴合的不锈钢金属牙冠!
不锈钢预成冠是咱儿童口腔科修复最为常用的冠,有些人叫它为"银冠",也有小朋友称它为“超人冠”。
这种金属冠结实耐用,操作也简单,不容易脱落。适用于缺损较大,难以充填的乳牙、严重磨耗而且需要保护的乳牙。
金属预成冠延长了儿童乳牙的使用寿命,改善了患儿的口腔修复质量,减少了因充填体脱落而复诊的次数,加强牙齿的强度、恢复患牙正常咬合关系等,有效保护缺损较大的乳磨牙正常地使用至替牙期,从而保证恒牙的顺利萌出。预成冠通常使用于孩子的后牙修复上。而且,治疗过程简单安全,通常一次就可以完成。

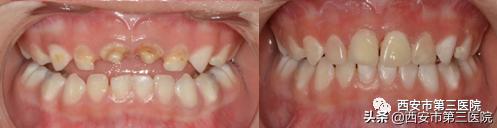
来,我们一起看看预成冠的修复过程:

乳牙预成冠是通过预先加工成型,嵌套在儿童乳磨牙上(儿童初次长出,用于磨碎食物的牙齿)的人工牙冠。用来恢复乳磨牙的外形、咀嚼功能和咬合关系。
针对乳前牙,我们也有秘密*器武**哦!

透明预成冠,适用于前牙,是一种外壳透明,与牙齿形态相近的预成冠。内部中空以容纳树脂,修复后会去除冠套。

预成冠修复需要注意以下可能出现的问题
1、做乳牙预成冠后半小时内勿进食和喝水
2、做乳牙预成冠后提醒宝宝勿抠牙套;
3、由于牙套边缘压迫牙龈,宝宝做完乳牙“预成冠”后一周内感觉疼痛不适,不愿意用患牙咬东西,建议家长耐心转移宝宝注意力,帮他渡过不适期;
4、做乳牙预成冠后因牙龈损伤或冠边缘压迫,宝宝可能出现暂时的牙龈疼痛或出血,家长此时更应注重宝宝的口腔卫生,不刷干净将加重牙龈的炎症。
亲爱的宝妈宝爸,儿童牙医建议大家关注宝宝的小乳牙,好好刷牙,定期复查,注重预防。当然,如果乳牙龋坏了,也不用太担心,我们有专业的医生、专业的技术来帮助我们的宝宝,如果乳牙大面积龋坏可以选择“超人冠”哦!
西安市第三医院口腔医院由西安市中心医院和西安市口腔医院强强联合组建而成,是集医疗、科研、教学、预防为一体的专科口腔医院,是西安市卫健委所属规模最大的口腔医疗机构、西安市卫健委医学优势专科学科,陕西省口腔医学会理事单位。与华西、四医大及交大口腔医院长期保持技术交流活动,为患者提供高质量的口腔医疗服务。目前团队成员31人,高级职称4人,80%以上具有硕士学历。

医疗设备
科室拥有20台西诺德C8+和卡瓦E50口腔综合治疗台、Vector牙周治疗仪、西诺德激光、笑气、3shape口腔扫描仪、LeicaM320F12根管显微镜等世界先进的口腔数字化设备及卡瓦口腔CT影像系统、正畸dolphin软件。
专科优势
1)牙体牙髓科:龋病、牙痛、牙折、牙齿外伤、牙齿美白、牙齿敏感、牙体牙髓疾病,显微根管、根管外科;
2)正畸科:牙列不齐、开颌、深覆合、牙周病的正畸、颌骨错颌畸形、正畸正颌联合矫治;3)修复科:牙齿漂白、贴面、嵌体、各类牙体缺失的修复、活动义齿、固定义齿;
4)儿童口腔科:14岁以下儿童各种牙病、龋齿、牙外伤、涂氟、窝沟封闭;
5)颌面外科:拔牙、颌面部小肿物切除、自体牙移植;
6)牙周科:洁牙、牙龈出血、牙龈红肿、牙龈退缩、牙齿松动;
7)种植科主要诊疗范围:缺牙修复的牙种植、即刻种植义齿、各类牙槽骨缺损植骨术(包括上颌窦提升术)。
文:口腔科 刘振霞
图:口腔科 刘振霞
编辑:宣传科 李伟华审核:宣传科 宫浩翔
部分图片转自网络,版权归原作者所有
如有侵权请及时联系删除