
爱喝奶茶的姑娘们,这篇科普一定要收下。

本文约5110字,阅读时间约11分钟
前段时间,小编包包读到了一条有趣的八卦新闻。
一位可爱的女明星(为了方便起见,以下简称小伊)表示自己非常热爱奶茶,每天大概可以喝八杯。

某综艺节目上的“八杯奶茶”梗。图源:该节目截图
八杯是什么概念?
如果按照普通中杯的大小的话,一杯450ml,八杯就有3600ml了。根据2018年宁波市消保委对奶茶的抽查结果,市场上奶茶的平均含糖量为10g/100ml,八杯奶茶的含糖量大约是360g。一瓶正常大小的可乐(500ml),含糖量是50g左右。八杯奶茶,就相当于是7.2瓶可乐。

可能要喝不动了。图源:Pixabay
当围观的吃瓜群众纷纷表示难以置信的时候,小伊的粉丝们解释道:小伊有低血糖,所以爱喝甜的,平时才会奶茶不离手。
但是……喝这么多奶茶,真的没问题吗?喝完这么多奶茶会不会得糖尿病呢?低血糖的话,多喝奶茶、多吃甜食真的是合适的饮食方案吗?
带着这一大堆问题,小编采访了法医秘史专栏的主稿人“我在你左右”,一起研究下奶茶到底和我们的血糖有什么关系~

奶茶VS糖尿病
糖尿病到底是啥
包包:
感谢这位不愿意透露自己专业方向的主稿人童鞋接受我们的访问!
我在你左右:
不客气
……
时隔两年后,又一次给非法医秘史的专栏写稿子,感谢编辑团的同志们无时无刻不敞开的脑洞,感谢百忙之中还时刻关注着娱乐圈八卦新闻的编辑团团长包包……
包包:
这个就不用感谢了,这篇更新发出来的时候,早就是八卦旧闻了(咳咳)。
好的,进入正题,如果一天喝八杯奶茶,会不会得糖尿病呢?

炎热的夏天里,一杯冻奶茶是非常非常大的诱惑。图源:喜茶官网
我在你左右:
要回答这个问题,需要先了解一下什么是糖尿病。
糖尿病是一种体内胰岛素绝对或相对不足,或者靶细胞对胰岛素敏感性降低,或胰岛素本身存在结构上的缺陷而引起的碳水化合物、脂肪和蛋白质代谢紊乱的一种慢性疾病。
包包:
这段是……教科书上的定义吗?胰岛素是啥?靶细胞是啥?完全看不懂,求解释。
我在你左右:
看来你的高中知识基本上还给老师了啊。
胰岛素是胰腺分泌的激素,它的主要作用是降低血糖;靶细胞……
包包:
等等等等,血糖……又是啥?
我在你左右:
好吧,那我们从头讲起。
就像是手机需要时常充电一样,我们的身体想要保持健康,就需要时常摄入能量。
正常情况下,人体从外部环境中获取能量的途径主要有两个。一个途径是呼吸,人体通过呼吸系统,获得空气中的氧气;另一个途径就是进食,人体通过消化系统,获得食物中的营养物质。
我们平时所说的营养物质的范围很广,但主要来说是碳水化合物、蛋白质和脂肪三大类。这些营养物质通过消化系统的消化、吸收、分解,转化为葡萄糖进入到血液之中,就叫做血糖,它也是我们今天这篇科普的主角。
事实上,血糖的来源,除了食物的消化(这个是主要来源),还有另外两种途径,一种是空腹时,肝脏将自己储存的肝糖元进行分解,变成葡萄糖进入血液;另一种是蛋白质、脂肪和从肌肉生成的乳酸可通过糖异生过程变成葡萄糖。
这些通过各种途径生成的血糖,作用就是为身体的各个器官和组织提供能量和动力,以保持它们的正常运行。
但这并不代表血糖越多越好。就像是刚才说的充电的比喻,如果一个手机承载了远超负荷的电量,手机就会被充爆;而如果一个手机没有足够电量的支持,那么为了维持运行,手机的屏幕会变暗,网络功能可能会被关闭,如果没有及时补充电量,最终还可能强制关机。所以,人体要保持健康运行,就不能让血糖总是处于“电量过载”或是“电量不足”的状态。
这时,我们身体里的重要“血糖调节官”就出场了。在它的作用下,血糖在我们的身体里保持着动态的平衡,维持在一个相对稳定的波动范围——这个默默无闻却至关重要的角色,就是我们的胰岛。
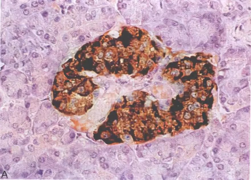
胰岛的位置,在我们的胰腺(胰腺大概是在胃的下方)上。如果在显微镜下查看胰腺的组织学切片,可以看到胰腺上有一些不规则地聚集的细胞群落,就像是一座座独立的小岛。这些细胞群就是胰岛。

胰腺的组织学切片,可清晰看到胰岛细胞。图片来源:参考文献[2]
部分胰岛细胞会分泌出一种蛋白质激素,人们称之为胰岛素。
胰岛素就是调节血糖的“幕后黑手”。
事实上,胰岛素不仅仅能够调节血糖,还能够调节人体蛋白质和脂肪的合成,是我们体内一种重要的代谢调节激素。因为人体内的代谢都是彼此联系的,一旦某一环节出现问题,受影响的将会是全身,所以胰岛素的作用就非同小可了。

经过免疫组织化学染色的胰岛B细胞,主要分泌胰岛素。图片来源:参考文献[2]
现在,再让我们回过头来看看糖尿病的定义。
“糖尿病是一种体内胰岛素绝对或相对不足,或者靶细胞对胰岛素敏感性降低,或胰岛素本身存在结构上的缺陷而引起的碳水化合物、脂肪和蛋白质代谢紊乱的一种慢性疾病。”
这里的靶细胞,指的是胰岛素所作用的细胞,一般情况下包括肝细胞、脂肪细胞、肌肉细胞、肺脏细胞、肾脏细胞等等。所以,把上面的定义翻译成人话就是——当胰岛素无法正常发挥作用时,人就容易得糖尿病。
至于为什么叫糖尿病,是因为正常情况下,肾脏对葡萄糖是100%吸收的,但肾脏对葡萄糖的吸收也有一个限度,叫做肾糖阈(约10mmol/L),超过这个限度,葡萄糖就会出现在尿液中,也就形成了“糖尿”,这也是糖尿病一个很典型的特征了。
包包:
哦……所以,糖尿病和喝奶茶没有直接关系,和胰岛有直接关系?
我在你左右:
你终于看明白了,不容易啊。
判断会不会得糖尿病,主要看两点:
1. 胰岛功能是否正常
2. 胰岛素的质(结构)与量(正常分泌量)是否正常。
这两者都和奶茶摄入的剂量没有直接的关系。
包包:
以前一直以为喜欢吃甜食,才容易得糖尿病呢。
我在你左右:
糖尿病并不是吃糖太多而得病的,而是我们的机体无法正常代谢我们体内的糖类,进而使得糖类在体内升高,所引起的一系列机体器官和功能的损害。
糖尿病的形成原因有几大类:
第一类是家族遗传。
糖尿病患者家族中出现糖尿病患者的机会要高于其他人群,所以,一般看病时,医生会询问家族病史,如果家族成员中有人患有糖尿病的,也需要提供给医生,以供参考。
第二类是病毒感染。
有一些病毒感染导致的疾病,比如心肌炎、流行性腮腺炎等,也会伤害到胰岛细胞,导致糖尿病的发生。
第三类是精神压力。
如果长时间处于精神紧张或是情绪激动的状态,也会引起胰岛素对抗激素的分泌,导致血糖产生波动。这也是糖尿病发病的诱因之一。
第四类是饮食作息。
糖尿病在肥胖人群中的发病机率也比较高。因为吃很多又不锻炼,人体中的脂肪含量过剩,也会降低靶细胞对胰岛素的敏感性,导致血糖升高。但这不意味着瘦子就完全没有风险。所以,看完今天的更新,就赶紧放下手机出门走走,锻炼身体吧!
包包:
所以,喝太多奶茶,虽然不会直接导致糖尿病,但如果保持这种不健康的饮食习惯,又不配合锻炼的话,也是会让自己变成容易得糖尿病的体质啊。
我在你左右:
是的。
好好锻炼吧,包包童鞋(痛心疾首)。
包包:
……
下一题。

奶茶VS低血糖
低血糖不就应该吃甜的吗
包包:
低血糖我知道,我上中学的时候,有次周一全校开晨会的时候,开会时间特别长,站在我身后的妹子忽然一头栽到了,还把我后脑勺磕得生疼……她那天没吃早饭,好像就是因为低血糖晕过去了。貌似老师们扶她喝了一些糖水,她就醒了。后来她每次出门都会随身带一盒薄荷糖,以防万一——所以如果是低血糖的话,喝很多奶茶应该没毛病吧?
我在你左右:
还是从定义说起?
正常人的血糖一般为3.9-6.1mmol/L(这是一个浓度单位),也有记载为3.9-6.0mmol/L,当人体血糖值低于3.9mmol/L时,可以认为是低血糖,但是是否出现症状因人而异。
包包:
这个听起来好像比较简单。所以低血糖可以大量喝奶茶吗?
我在你左右:
首先,要明确低血糖的原因,单纯的一次低血糖可能是由于空腹造成的,这种情况单纯的补充糖分或许就能恢复正常。就像你那位同学的情况,就是因为没有吃早饭的缘故。她的做法也没有问题,如果已经知道自己就是单纯的由于糖分摄入不足造成的低血糖的话,可以随身带上巧克力或者水果糖,感觉自己体力不支要进入低血糖状态的时候,将糖嚼碎舌下含服。

巧克力也是让人又爱又恨的甜食。图源:Pexels
但如果是频繁出现低血糖的状况,就应该去医院进行系统的检查。
千万别觉得糖尿病是重病,低血糖就不是,因为低血糖会发生休克,也是会死人的!
另外,糖尿病这种高血糖的疾病,有时也会出现低血糖的情况。
包包:
等等,糖尿病的表现不是高血糖吗?为什么也会发生低血糖?我糊涂了。
我在你左右:
这部分要解释起来很复杂,简单说,第一,糖尿病患者一般都在服用降血糖药物,如果使用了降糖药物,然后没有及时进餐,或是进行了剧烈的运动,就会发生低血糖。第二,糖尿病患者的身体里,负责调解血糖的神经内分泌机制可能会衰竭,机体无法进行生理性的调节,也会造成血糖过低的情况。
所以,低血糖只是身体的表现,实际形成的原因可能是多种多样的,不能排除是因为糖尿病而引起的低血糖的情况。
包包:
原来如此。如果是这样的话,低血糖还真不能随便用喝奶茶来对付啊。
我在你左右:
没错。
低血糖一般会出现心慌,气短,出冷汗,虚脱,眩晕等症状,但是很多心脑血管疾病或者颈椎疾病也会出现这样的症状。
所以,如果有人忽然晕倒了,首先要确定,这个晕倒的人是不是真的是低血糖,如果你无法确定情况,还是尽快拨打120,或者联系相关的救援单位,不要盲目施救。比如一个人用手按着心前区,表情痛苦且晕倒,或许他是一个心梗的患者,而不是低血糖。
包包:
太吓人了,遇到紧急情况还是先打急救电话,询问医生最靠谱。

哪些人不适合喝奶茶
包包:
好啦,我总结一下今天的战果:
1. 喝八杯奶茶,不会导致糖尿病。但肥胖是糖尿病的诱发因素之一,喝八杯奶茶有可能导致肥胖,大家还是三思而后行。
2. 单纯的一次低血糖,可能是因为空腹造成的,可以单纯地喝奶茶或者用其他方式补充糖分,但如果是长期的低血糖,有可能就患有别的疾病(甚至可能是糖尿病的症状),不建议用喝奶茶来解决。
对了,如果长期低血糖,又没有及时治疗,最后确诊是糖尿病,那是不是以后再也不能喝奶茶了?
我在你左右:
糖尿病的人,吃东西的确是需要控制糖的摄入量。
但这里说的糖分两种理解,一种就是我们广义上认为的糖,也就是我们平时见到的超市中出手的红糖、白糖、冰糖等;还有另外一种就是我们每天摄入到体内,在体内分解的糖,比如我们吃下去的米、淀粉等等,它们到体内经过代谢都会被分解为小分子的糖,而糖尿病患者的血糖控制包括了这两方面所提及的糖。

不管是大碗宽面还是重庆小面,都是碳水化合物,也都在需要控糖的范围。图源:Pixabay
包包:
市场上似乎有无糖奶茶?不过里面的全脂牛奶,成分里也有乳糖的,所以糖尿病患者也不可以喝这类无糖奶茶,对吧?
我在你左右:
为了健康,尽量不要。
包包:
如果没有低血糖,一天喝八杯奶茶,可能导致什么后果?
我在你左右:
正常人你让她喝奶茶,一般喝不死,无法控制摄入量,只能建议适量饮用。
但是做过胃切除的患者,不建议这样大量地饮用奶茶。
另外,也要看喝奶茶的人自己的身体情况,有没有糖代谢异常。
在我国,有很多人虽然不是糖尿病,但是他们处于糖耐量异常状态,也就是说,不是糖尿病,但是下一步很可能就会发生糖尿病。
正常人在口服葡萄糖之后,在服用1小时、2小时后分别测定血糖浓度,可以降低到正常范围,而这部分糖耐量异常的人不能。所以,想喝八大杯奶茶的同学,这是个人爱好,但是最好是先确定自己是不是一个糖代谢正常的人,或者糖耐量试验是否在正常范围。
包包:
嗯嗯,如果是奶茶的狂热爱好者,千万要注意量力而行啊。
其实,吃任何东西都要按照控制适量的原则,对吧~
吃糖太多,会有各种各样的隐患,比如高血压、骨质疏松、细胞老化、口腔溃疡和蛀牙……对了,说到蛀牙,你还记得2015年的时候,你挖了一个坑,打算要写法医吃科学——不,法医齿科学吗?
我在你左右:
吃科学……吃货本性暴露无遗了吧?
吃东西要适量,催稿也要适量啊——我先下线了,再见。
包包:
哎????
咳咳,那就让我来完成今天的收尾吧。
今天一直在说控糖的问题,最近流行的低糖饮食、无糖饮食,大家有了解吗?你们是如何看待吃糖的问题的?你们平时一天喝多少奶茶呢?今天的内容对你们有帮助吗?欢迎在评论区里留下你们的看法~~~
参考资料:
[1]王吉耀.内科学[M].2版.北京:人民卫生出版社.2010
[2]高英茂.组织学与胚胎学[M].2版.北京:人民卫生出版社.2010
[3]糖尿病形成的根本原因,在于这4大因素,个个都不能小看.39健康网
主稿人:我在你左右、包包;编辑:包包;质检:笑言;排版:CC
题图:韩剧《请回答1988》剧照;图源:豆瓣电影
本文系原创文章,未经授权谢绝任何形式的转载