
近日,沈阳市口腔医院利用远程视频为邮政储蓄康平张强营业所的村民们开展了线上健康大讲堂活动,邀请院牙体牙髓病二科医生常孟族讲解了牙龈脓包怎么回事?

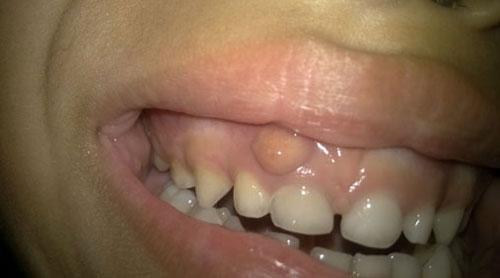
牙龈脓包到底是怎么回事?
在日常生活中,之所以会出现牙龈上反复长脓包的情况,大多数是因为得了一种叫做"慢性根尖周炎"的牙齿疾病,是牙齿根尖周围组织发炎引起的。分析其原因,很可能是因为龋病、牙外伤、牙髓炎等牙齿问题没有得到及时治疗,或者是既往牙髓治疗不完善,导致牙根根尖周围的牙槽骨慢性进行性破坏。慢性根尖周炎通常没有明显的自觉症状,患者可在咀嚼时有不适感,通常是以牙龈脓包为主诉就诊。因为在日常生活中,大家经常以"牙痛"来衡量牙齿是否有问题,如果牙齿不出现疼痛,大家就以为牙齿没有问题,或者认为牙痛好了。其实坏死的牙髓里的细菌仍然在繁殖,炎症通过根管及根尖端慢慢向牙槽骨里蔓延。长此以往牙龈上就是长脓包。
脓包为什么反反复复呢?

那是因为慢性根尖周炎的病变过程并不是单一的骨破坏过程,而是一个破坏与修复双向进行的病例变化,当身体抵抗力强时,脓包就会消退,当身体抵抗力弱时,脓包又会出现,这样反反复复出现。
牙龈脓包延误治疗会导致什么后果呢?

如果不进行根管治疗及消炎等措施,可能会出现炎症感染扩散及临近颌骨出现吸收破坏的情况,造成临近牙齿的逆行性感染。
牙龈脓包怎么治疗呢?

由于工作忙、恐惧看牙等多种原因,很多患者不能及时就诊,有的患者就会问:吃消炎药是不是就可以治愈呢?如果不想去医院治疗,吃一些抗生素,短时间内可以起到消炎症状,但治标不治本,还是会反复起脓包,容易造成"愈合"的假象,很大程度上延误了病情。牙龈脓包是牙齿的慢性炎症,不会自愈,需要牙体牙髓科医生专业的治疗,如果日常生活中发现牙龈长脓包,需要及时到口腔科诊治。
【医生简介】
常孟族,沈阳市口腔医院牙体牙髓病二科医师,主要从事牙体牙髓疾病的临床诊疗工作,包括龋病、牙髓病、根尖周病。开展现代根管治疗技术,显微根管治疗(弯曲根管的治疗、根管堵塞的再治疗),椅旁瓷睿刻CAD/CAM修复技术,美学修复,冷光美白等。

供稿单位:沈阳市口腔医院
