【临床病史】
患者,女,60岁,发现腰背部肿物伴疼痛2个月,加重20天。查体腰部活动受限。腰2、3水平腰背部可见3.0×3.0CM肿物,压痛、叩击痛(+),无放散痛,质硬韧,界限不清。平腹股沟以下感觉减退。
【实验室检查】
所有检查均为阴性
【影像表现】
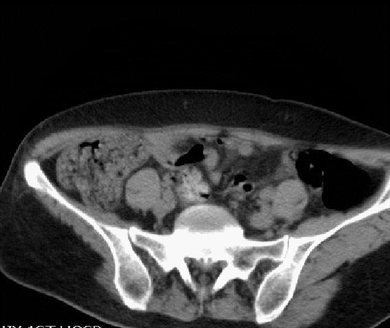
CT 平扫

MRI增强

CT

MRI

问题一、请选择您认为异常的解剖部位?多选
A椎体、B终板、C间盘、D附件、E棘间韧带或棘上韧带、F皮下软组织
问题二、鉴别诊断最有意义的描述是?多选
A 腰3椎体骨质破坏
B 腰3椎体附件骨质破坏
C腰3椎体水平附件区见团块状软组织信号
D病灶来源于骨
E病灶突入椎管,压迫脊髓
F皮下T2高信号,考虑脂肪瘤
问题三、您的诊断是?多选
A骨巨细胞瘤
B神经纤维瘤
C神经鞘瘤
D脊索瘤
E脂肪瘤
F血管瘤
【影诊思维】
以下是笔者在骨肌系统诊断及鉴别诊断的一些思考过程,仅代表个人观点。
骨肌系统肿瘤及肿瘤样病变按来源主要包括骨源性、软骨源性、纤维源性、血管源性、神经源性、淋巴及造血组织及网状上皮源性、脂肪源性、脊索来源、极少数组织来源不明。以上的组织来源根据肿瘤基质不同,影像表现具有一定的特征性。
邻近关节长骨干骺端偏心性膨胀性骨质破坏首先考虑骨巨细胞瘤;
邻近长骨关节背向关节生长外突骨质要考虑骨软骨瘤;
长短骨骨质膨胀性生长包含多发条形、环形、结节状钙化需要考虑软骨源性,如内生软骨瘤及软骨肉瘤;
长骨或不规则骨骨质膨胀磨玻璃丝瓜瓤样密度改变要考虑纤维源性,如骨纤维结构不良、骨纤维异常增生症等;
骨旁见软组织肿物,其内包含多发钙化灶,除了考虑皮质旁骨肉瘤还要考虑血管源性肿瘤、骨化性肌炎等,与骨皮质关系是鉴别要点;
脊椎旁椎间孔破坏并哑铃型软组织肿物,神经源性肿瘤概率很高;
颅骨及全身骨质多发骨质破坏,首先考虑骨髓瘤及转移瘤、淋巴瘤等全身性疾病;
含脂病变需要鉴别良性脂肪瘤还是恶性脂肪肉瘤,二者区别在于边界及周围软组织浸润程度。
肿瘤位于枕骨斜坡、枢椎、高位骶椎要考虑脊索瘤,低位骶椎要考虑骨巨细胞瘤。
极少数组织来源不明的包括肿瘤多房液液平面为特征的动脉瘤样骨囊肿,注意本病可与骨巨细胞瘤并发。
骨肌系统影像检查技术手段X线、CT与MRI同等重要。X线和CT对部分骨肌肿瘤及肿瘤样病变具有定性诊断的特性,不需要进一步MRI检查。因MRI对骨质、钙化显示较差,无法准确提供肿瘤基质的影像特征,相对不适用于骨肿瘤及肿瘤样变的精准定性诊断(对于某些软组织、含脂、出血病变MRI更为精准),但MRI对肿瘤的大小、周围软组织浸润、骨髓水肿、评价神经血管损伤及进一步评价肿瘤的治疗及局部复发具有极高诊断价值。
骨肌系统影诊思维程序如下:年龄、性别、数量、受累骨、部位、骨质密度、边缘、骨膜反应、软组织肿物。
1、年龄。 某些骨肿瘤及肿瘤样病变好发于特定年龄段,具有特征性的诊断意义。长骨嗜酸性肉芽肿小儿多见。纤维性骨皮质缺损和非骨化性纤维瘤发生于青少年。骨肉瘤好发于青年。单纯动脉瘤样骨囊肿发生于青年多见。骨髓瘤及转移瘤发生于老年人。
2、性别。 男性患者需要注意前列腺癌成骨性骨转移;女性患者乳腺癌、子宫附件肿瘤全身骨转移。
3、数量。 单发和多发具有不同的诊断意义。多发需要考虑转移瘤、全身系统性病变如多发骨髓瘤、软骨瘤病、淋巴瘤。单发肿瘤良恶性均可,也可能是转移瘤需要特别注意。
4、受累骨。 长骨、短骨、扁骨、中轴骨、骨盆是某些肿瘤特有的好发受累骨。脊索瘤几乎就在中轴骨。骨肉瘤、骨巨细胞瘤、骨囊肿好发于长骨。短骨如内生软骨瘤。扁骨如骨髓瘤、嗜酸性肉芽肿、软骨肉瘤等。骨盆发生软骨肉瘤、平滑肌肉瘤、骨瘤较多。

5、部位。 骨骺、干骺端、骨干、骨皮质、骨髓腔、中心性、偏心性、邻关节、椎体、椎体附件具有不同的诊断方向。骨骺提示软骨源性概率高,如软骨母细胞瘤、软骨粘液纤维瘤等等。干骺端如骨巨细胞瘤、骨肉瘤等。骨干如骨纤维结构不良、内生软骨瘤。骨皮质考虑骨样骨瘤、骨软骨瘤、皮质旁骨肉瘤、纤维性骨皮质缺损、非骨化性纤维瘤。骨髓腔需要考虑骨梗死、骨髓炎、骨囊肿。中心性包括骨囊肿、内生软骨瘤、骨纤维结构不良。偏心性包括骨巨细胞瘤、骨肉瘤、软骨粘液样纤维瘤、骨瘤、尤文氏肉瘤。邻关节包括骨巨细胞瘤、软骨母细胞瘤、软骨粘液纤维瘤、邻关节囊肿(骨内腱鞘囊肿)。椎体包括转移瘤、血管瘤、骨瘤、脂肪瘤、淋巴瘤。椎体附件包括骨母细胞瘤、骨样骨瘤、骨软骨瘤,少见的脊索瘤、骨巨细胞瘤。
6、骨质密度。 骨质密度包括成骨性、溶骨性、钙化。成骨性包括前列腺癌骨转移、石骨症、骨斑点状、蜡油骨病、皮质旁骨肉瘤。溶骨性包括骨肉瘤、骨巨细胞瘤、动脉瘤样骨囊肿等。钙化多见于软骨源性、血管源性、骨源性。软骨源性钙化灶形态多样,爆米花样、条形、环形、砂砾状、放射状均可。血管源性多为结节状、条形、层状。骨源性可呈弥漫性增高、棉絮状、云絮状高密度影。地图状高密度影提示骨梗死及骨髓炎、内生软骨瘤、软骨肉瘤。骨样骨瘤见中心结节状小于1cm瘤巢。
7、边缘。 良性病变边界多清晰,因生长慢,刺激边缘成骨性改变,可见硬化缘。骨囊肿可见骨片陷落征。骨样骨瘤中心瘤巢边缘见环形低密度影,最外周高密度影,邻近骨皮质增厚。恶性病变边界不清,呈虫蚀状、大片状移行带,因肿瘤细胞恶性生长,速度较快,突破邻近骨质不均形成。骨肉瘤、尤文氏肉瘤、纤维肉瘤、平滑肌肉瘤等均呈边界不清。
8、骨膜反应。 如图所示,良性骨膜反应,骨膜连续、完整、实性增厚,边缘密度增高,局部外突。恶性骨膜反应,日光放射状、层状、绒状因肿瘤生长速度快且不均匀而形成。部分骨膜掀起形成Codman三角。

9、软组织肿物。 周围见巨大软组织肿物多考虑恶性。如尤文氏肉瘤,骨外软组织病灶远大于骨内病灶。注意骨髓炎等非肿瘤样病变周围软组织受累。
10、MRI信号 。因骨质红黄骨髓转换,成人骨质富含脂肪,压脂技术在骨肿瘤鉴别诊断至关重要,脂肪瘤、脂肪肉瘤、骨折后积脂血症等含脂病变压脂后信号明显减低。石骨症、前列腺骨转移等成骨性病变各序列显示为低信号。溶骨性病变显示病变区域远大于CT显示骨质破坏区,肿瘤软组织成分显示更为清晰。良性病变可见病灶边缘环形低信号,提示骨质硬化缘。恶性病灶病变周围见大片状骨髓水肿,可突破骨皮质至皮下,骨源性的尤文氏肉瘤骨外病灶明显大于骨内病灶。需要注意骨髓水肿良恶性均可,骨髓炎可见大片状骨髓水肿、窦道形成皮下软组织肿胀渗出。骨样骨瘤可见骨皮质增厚、中心瘤巢、边缘环形低信号。动脉瘤样骨囊肿见多发液液平面。骨巨细胞瘤病灶膨胀性多房囊性高信号。骨肉瘤等恶性病变软组织范围较大,周围边缘模糊,Codman三角显示不清。日光性放射性骨膜炎可见刺状软组织信号影。纤维源性肿物在各序列信号偏低。神经源性和血管源性T2信号偏高,接近水信号。
【病史分析】
老年女性,背部肿物,考虑骨、血管、淋巴管、平滑肌、纤维、神经等间叶来源均可。
【实验室检查分析】
未见异常
【本例MRI影像表现】
具体分析:

CT:红色箭头所示为腰3椎体附件包括棘突、双侧椎弓根骨质呈溶骨性破坏, 其内见多发点状、条形骨瘠残留,相应部位见团块状稍低密度影,大小约3.5cmx2cm,边界欠清,密度欠均匀。

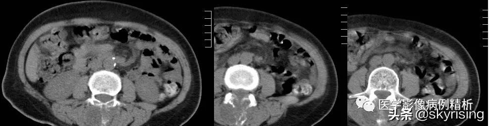
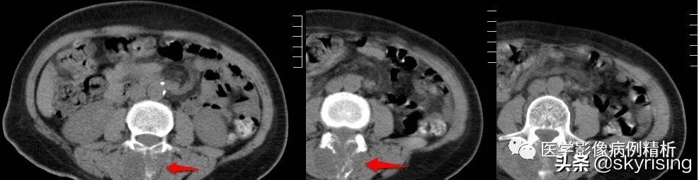
T1WI矢状位红色箭头所示腰2-3椎体附件区团块状异常信号,T1低信号为主,信号不均,T2WI高信号为主,其内见条形低信号分隔,压脂像明显高信号为主,向前突入椎管,临近蛛网膜下腔扩张呈三角形,相应水平椎管变窄,脊髓受压前移,信号增高,向后直达皮下脂肪层。轴位像椎体棘突、双侧椎弓根骨质破坏,见团块状软组织信号,病灶突入椎管内,相应水平椎管变窄,信号明显不均,其内见多发条形低信号,双侧竖脊肌受压移位。
黄色箭头所示蛛网膜下腔明显扩张, 病灶上下缘呈三角形扩张,脊髓受压信号增高,提示损伤。
绿色箭头可见腰4-5椎间盘髓核 T2 信号减低(注意其他椎间盘),提示间盘变性,纤维环后缘见点状T2及压脂像高信号,T1低信号,提示纤维环撕裂,需警惕椎间盘脱出可能。
箭头所示特定部位分析:
红色箭头汇总:腰2-3椎体附件包括棘突、双侧椎弓根骨质破坏,见团块状软组织肿物,T1低信号,T2及压脂像高信号,信号不均,中心见多发条形低信号分隔。病灶向前突入椎管内,蛛网膜下腔扩张,脊髓受压前移、信号增高,向后达皮下脂肪层。轴位像病灶推移双侧竖脊肌,呈分叶状生长。
黄色箭头汇总:病灶向前突入椎管,推移脊髓,蛛网膜下腔扩张。
绿色箭头汇总:腰4椎体纤维环后缘见点状高信号,提示撕裂。
【小结分析汇总】
1、患者,老年女性,腰痛并腰部皮下触及肿物。
2、实验室检查,未见异常。
3、影像表现:CT腰3椎体附件,棘突及双侧椎弓根骨质破坏明显,见多发残留点状、条形骨瘠,提示骨质来源或软组织侵犯可能。
4、汇总分析:插图均摘自【骨关节影像学 第四版】Adam Greenspan著,王云钊 唐光建主审 程晓光主译,椎体附件诊断偏难,因附件骨质旁其他软组织成分太多,容易混淆。椎体附件区基本为间叶组织细胞来源,如骨、软骨、神经、血管、淋巴、纤维、脂肪、脊索几乎涵盖除上皮、神经外胚层组织外所有组织,范围广,难度大,对于疾病定性较为困难。下图给出椎体及附件常见肿瘤的鉴别诊断范围,临床工作中远比这个图提示的复杂,如脊索细胞瘤、淋巴瘤、骨巨细胞瘤、少见转移瘤、骨肉瘤、脂肪肉瘤、纤维肉瘤、平滑肌肉瘤、恶性纤维组织细胞瘤、侵袭性血管瘤等等。

以下按年龄、性别、部位、形态、边缘、信号、毗邻组织进行分析。
年龄,老年女性,转移瘤首先考虑,临床未提示原发病变,女性肿瘤标志物未见异常,可以排除。单发转移瘤概率低。
性别,女性,考虑乳腺、子宫、附件等特有肿瘤,结合临床,可以排除。
部位,椎体附件区,病变范围大大缩小,考虑骨母细胞瘤、软骨瘤、神经源性、血管源性肿瘤、少见如淋巴组织、脊索来源、动脉瘤样骨囊肿。
形态,分叶状体积较大边界模糊提示恶性概率高,病灶体积小边界清晰可见硬化缘提示良性概率高。多房囊性液液平面提示动脉瘤样骨囊肿。
信号,成骨性病变明显低信号。纤维源性信号减低。富含粘液病灶信号均匀。神经源性、血管源性信号接近水信号偏高。
毗邻组织,毗邻关节是否突破关节面,病灶是否突破骨皮质侵犯软组织,以上高度提示恶性病变。
小结:老年女性,腰痛并腰部皮下触及肿物。CT提示腰3椎体附件骨质破坏,MRI提示团块状软组织肿物,形态分叶状,多房囊性软组织,病灶具有侵袭性,侵犯附件,突入椎管,破坏周围软组织。
【报告模板】
描述:腰椎生理曲度存在,序列规整。所见椎体边缘变尖、见散在斑片状异常信号,T1WI及T2WI高信号,压脂像均匀低信号。腰4-5椎间盘T2WI低信号,纤维环后缘见结节状高信号。腰2-3椎体附件区骨质溶骨性破坏,见团块状异常信号,呈分叶状生长,大小约5x4.5cm,T1低信号为主,信号不均,T2WI高信号为主,其内见条形低信号分隔,压脂像明显高信号为主,向前突入椎管,临近蛛网膜下腔扩张呈三角形,向后直达皮下脂肪层。相应水平椎管变窄,脊髓受压前移,信号增高,
结论:腰2-3椎体附件区恶性占位性病变,考虑间叶来源,建议结合临床进一步检查
腰椎骨质增生
腰椎椎体脂肪变性
腰4-5椎间盘变性、纤维环撕裂
【手术记录】
手术名称:腰椎后路肿物探查、切除、椎管减压内固定术
手术记录:取L2至L4棘突后正中长切口,纵行切开皮肤、皮下组织、深筋膜,沿棘突两侧纵行切开骶棘肌肌膜,沿棘突骨膜下剥离至两侧关节突内侧,将骶棘肌牵向外侧。术中见L2、L3棘突4.7X5.2X5.8cm大小肿物,包膜完整,与周围组织界线清晰,钝性分离肿物,将肿物完整切除,可见肿物侵袭L2、L4棘突及椎板,将病变附件切除,采用全椎板切除方式进行减压。可见椎管内有大小约2×2cm肿物,压迫硬膜,完整切除椎管内肿物,取少量病变组织送检快速病理。术中快速病理回报:脊索瘤。
【病理结果】
病理结果:脊索瘤
【出院结论】
出院诊断:脊索瘤、双下肢不全截瘫
【鉴别诊断】
问题一答案:D
问题二答案:BCD
问题三答案:D