文/羊城晚报全媒体记者 林清清通讯员 邱凌 张诚斌 朱钦文
图/医院提供
75岁的陈阿婆(化姓)因为左上腹不断变大,不适感越来越强。近日到南方医科大学中西医结合医院就诊,发现上腹存在巨大圆形包块,造成胃、胰腺、左肾移位。经医生手术治疗,切除的脾脏体积几乎有一个排球那么大!医生提醒,异常巨大脾脏容易被忽视和误诊,但目前认为是一种良性病变,预后良好,不必过于担心,应积极治疗。
肿物长了四年,多脏器受压移位
原来在4年前,75岁的陈阿婆左上腹就开始越长越大。起初没有什么疼痛感,因此没有重视。今年以来,陈阿婆出现胃口差、乏力的症状,不适感越来越强,这才到当地医院检查,判断为“脾血管内皮肉瘤”。
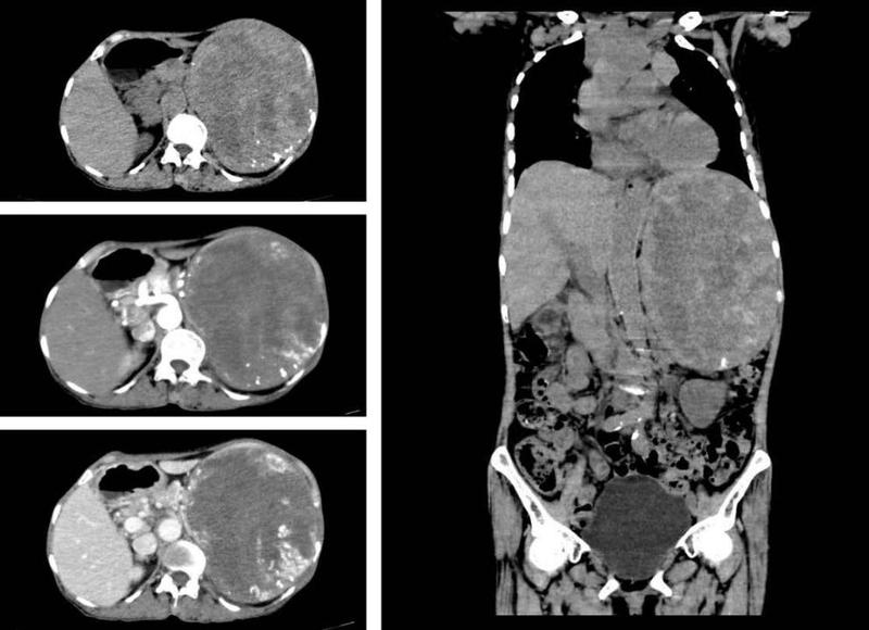
来到南方医科大学中西医结合医院时,陈阿婆左腹鼓起的大包块已越来越明显,在她消瘦的身体上显得十分突兀。通过检查发现脾脏体积异常增大,约为15cm*10cm,胃、胰腺、左肾因此受压移位,造成身体不适。

肿物已经十分明显
高龄患者病情罕见,中西医结合克服难关
由于该病较为罕见,缺乏前例可循,且陈阿婆又属于高龄患者。加上术前对陈阿婆进行详细检查时,又发现陈阿婆肝功能、凝血受损且营养状况不良,贸然手术可能会加重肝损害、发生心脑血管意外,术后长期卧床也容易引发一系列并发症。
接诊的腹部外科主任薛琪立即组织了腹部外科医护团队进行讨论,制定了全面的中西医结合围手术期治疗方案。先对陈阿婆进行肠内外营养支持治疗,使用中医针灸推拿的方法改善她的各项功能,另其恢复到安全接受手术的身体条件。
考虑到患者高龄且肿块巨大,手术创面大可能引发大出血的风险,薛琪决定采取微创手术的方法来减少患者出血。一切准备就绪后,薛琪主任为患者在全麻下进行腹腔镜探查+脾脏切除术,术中通过腹腔镜对脾脏及相关血管进行了精细解剖和分离,手术过程顺利,成功为患者切除近二十厘米的巨大肿物,几乎有一个排球那么大!
这个罕见病容易忽视和误诊
全脾切除后,测量体积为20*16*7.5cm,而正常脾脏的大小仅为10*6*3到12*8*4cm左右。术后病理诊断发现全脾大片状坏死周围见血管增生,间质较多淋巴细胞、浆细胞浸润,结合HE形态及免疫组化结果,诊断为“脾硬化性血管瘤样结节性转化”。

切除的脾脏几乎有一个排球大
“脾硬化性血管瘤样结节性转化这种疾病非常罕见,它是发生在脾脏的非肿瘤性血管增生性病变。”薛琪介绍,“这种病变多见于中年女性,临床表现无特异性,一般无明显临床症状,多因体检时行彩超或CT检查发现,少数患者可因肿物增大压迫,表现为上腹部不适或腰部疼痛;极少数患者会出现发热和红细胞沉降率增快。”
薛琪主任指出:“在诊断时,容易被误诊为血管瘤、淋巴瘤或错构瘤,但实际上这种病变属于是脾脏的增生性病变而非肿瘤,目前认为是一种良性病变,预后良好。现有主要治疗方案往往建议行脾切除术,国内外相关文献报告此类病人行脾切除术后未出现再发及转移病例。陈阿婆目前术后恢复良好,后续情况仍待长期随访观察。”
了解更多