病历资料:
患者陈x,男,37岁。主因被人发现意识不清1.5小时入院。既往“高血压病、糖尿病”史,未行药物控制。无“冠心病”史。查体:Bp 194/121mmHg 浅昏迷,不能言语,GCS评分7`,E/V/M=2`/1`/4`。双侧瞳孔正大等圆,对光反射迟钝。左侧肢体刺痛肌力4级,肌张力正常;右侧肢体刺痛肌力0级,肌张力减低。双侧Babinski`s征(+)。
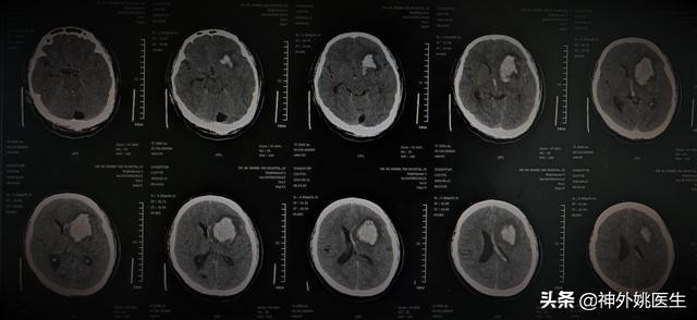
头CT检查:
1、左额叶、基底节区血肿,破入脑室系统。2、大枕大池。(图1)

图1
初步诊断:
1、高血压脑出血
左额叶、基底节区血肿,破入脑室系统
2、3级高血压 很高危
3、2型糖尿病
手术步骤:
1、左额入路,标记切口线。(图2)

图2 沿发髻缘作弧形切口,保证美观。
2、神经内镜下经通道进入血肿腔,吸除血肿。(图3-7)

图3

图4

图5

图6

图7 吸出最后一块血肿。
3、血肿完全清除、确切止血。(图8)

图8
4、还纳骨瓣。(图9)

图9 骨瓣直径约3cm,术后行颅骨夹复位。
术后效果:
1、术后患者清醒,能语。术后第一天患者神清、语利,左侧肢体肌力5级,右侧肢体肌力5-级。
2、头CT复查。(图10)

图10 血肿基本清除。