我们有时会在刷牙的时候观察自己的牙齿状况,发现在牙根处还有部分牙齿出现发黄发黑的迹象,部分人认为是自己刷牙不够彻底导致的,所以不放在心上。
牙根发黑可能是由多种因素所导致的,且不能忽视牙齿发黑的问题,知道根本原因然后对症下药才是最可取的。

表面看起来都是牙齿或牙根处有发黑迹象,但导致这种情况的原因有这几种:
1,人体吸收的内/外源性的染色物质所导致的牙齿发黑
我们人体会进食很多种食物,也会吸收环境中的一些小颗粒分子,牙齿很容易展现染色物质沉积所带来的问题。比如说铅、汞等物质会存在于周围环境中或者是食物中,从而被人体所吸收,沉积在人体的血液之中,这样的话在牙龈接近牙根的地方就会体现出来。
还有就是人体吸收的药物之中含有一些物质,例如四环素类的药物,就会导致人体口腔出现变色,牙齿和牙龈的色泽随着服用药物而加深,从而发黑。

2,不良饮食习惯所导致的牙齿发黑
牙齿/牙龈逐渐变黑还会出现在有不良饮食习惯的人群中。经常喝浓茶、或者以浓咖啡、可乐等为主要饮料的人群,都会出现色素沉积在牙齿上,从而牙齿的颜色要更深一些。还有就是烟瘾比较重的老烟民、经常喝酒的人以及习惯嚼槟榔的人群会出现色素沉积在牙齿中从而牙齿发黑。
3,增龄性的牙齿色泽加深
这种牙齿变黑的程度比较低,只是牙齿的颜色变得暗沉,肉眼看上去就是发黄发黑的。这个是因为随着人年龄的增加,牙齿表面的釉质层就会逐渐变薄,透明性也会随之减弱,视觉效果就会比较暗沉。

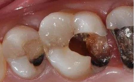
4,牙齿龋坏的部分发黑
这种牙齿发黑就比较好理解,一般患者的牙齿出现龋洞时,就会在牙齿表面上产生黑色的物质,发黑的面积会随着龋坏程度的加深而不断扩大,这种类型的牙齿发黑就需要广大患者重视起来,及时到医院进行检查。

很多因素导致的牙齿发黑,患者也需要针对不同的原因对症下药
采取一定的措施来缓解牙齿上的色素沉积:
1,如果是牙齿出现了龋坏,患者要及时就医,检查自己的口腔健康状况,然后及时进行治疗,清除龋坏部分并补牙,如果有必要的话,还可能会需要进行根管治疗的。
2,如果是外源性染色,患者应该注重自己的口腔清洁习惯,一定要按时刷牙漱口,可以选用适当的漱口水或者盐水进行漱口,及时清理口腔内部的食物残渣。定期洗牙并去医院进行详细的检查,出现任何口腔问题及时就医。
3,改良自己的饮食习惯,尽量少进食深色易染色的物质。如果是药物原因导致的牙齿染色,可以和医生商议,是否可以替换同种疗效的其他药物。

其实日常生活中,可以通过日常维护来保证有一个健康良好的口腔内部环境:
- 1,选择合适的牙膏。购买优质的牙膏,会更有助于清洁口腔。
- 2,刷牙前不要蘸水。很多人习惯挤了牙膏后再蘸水刷牙,这其实是不可取的,挤了牙膏之后就直接入口刷牙就好,挤牙膏也不用太多,黄豆大小即可。
- 3,早晚刷牙,进食后及时漱口,刷完牙不用多次用水清洁口腔。

牙齿或牙龈部分会发黑很大程度上与个人口腔护理习惯以及饮食习惯有关,一定要在日常的生活中多加注意,才能尽量避免牙齿/牙根发黑。

我是牙科医生黄征难,35年从业经历,如果你有任何口腔问题,欢迎在主页私信咨询,或评论留言!可以私信牙片,我来帮你免费问诊!