来源:熊猫放射

脑梗死的演变:CT表现之低密度(模糊效应 fogging effect)、增强、占位效应,随时间进展的程度变化。

血供区域(ACA:大脑前动脉;PCA:大脑后动脉;ACHA:脉络膜前动脉;PICA:小脑后下动脉; AICA:小脑前下动脉;MCA:大脑中动脉;SCA:小脑上动脉; BA:基底动脉)。

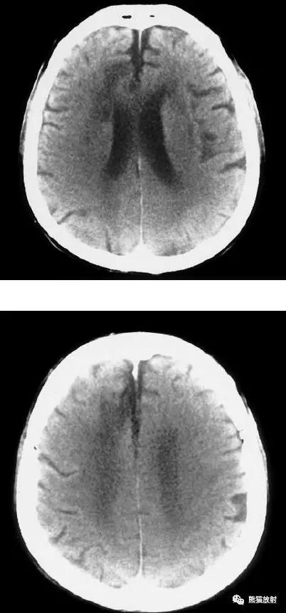
大脑中动脉区梗死:部分梗死,仅累及左侧浅表区域。

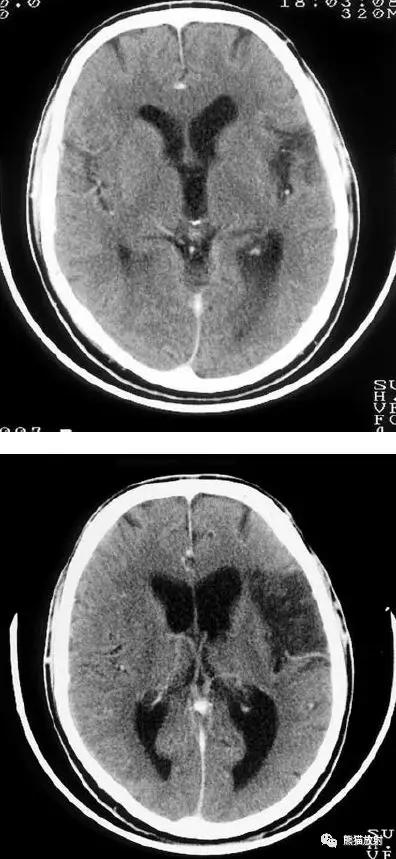
左侧大脑中动脉区完全梗死,对邻近的侧脑室产生占位效应;右侧可见其他较小的缺血性低密度区。

右侧大脑前动脉供血区部分梗死

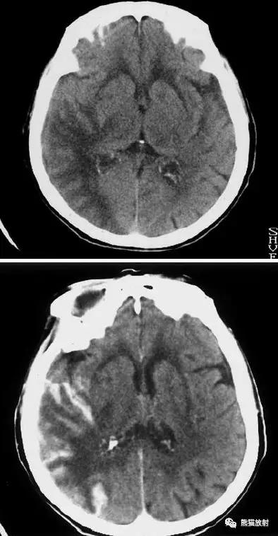
右侧大脑后动脉供血区梗死

双侧大脑后动脉供血区梗死

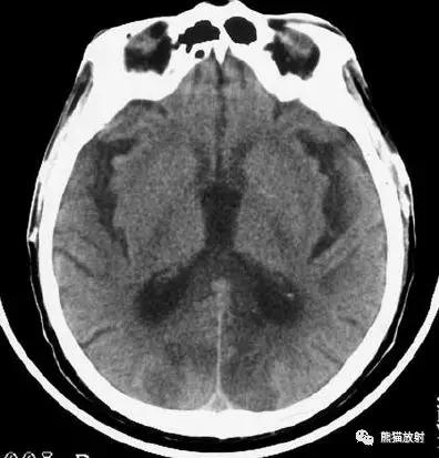
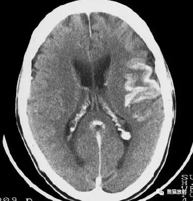
右侧大脑前、中动脉供血区梗死,可见明显占位效应。

右侧大脑前、中、后动脉供血区巨大梗死

分水岭脑梗死(“Watershed” infarcts):右侧大脑前中动脉及中后动脉供血区之间梗死灶。

分水岭脑梗死:左侧深部和浅部大脑中动脉供血区之间梗死灶。

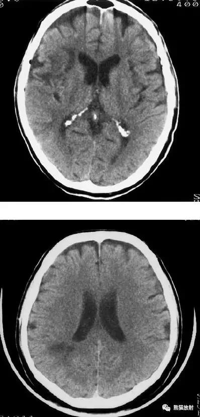
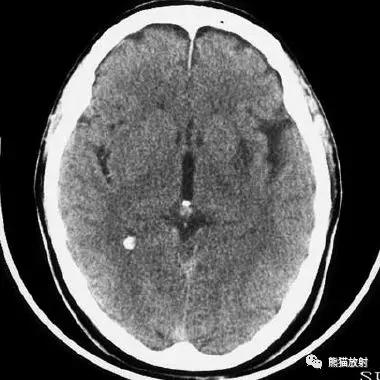
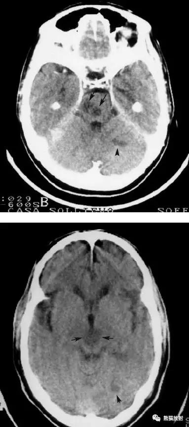
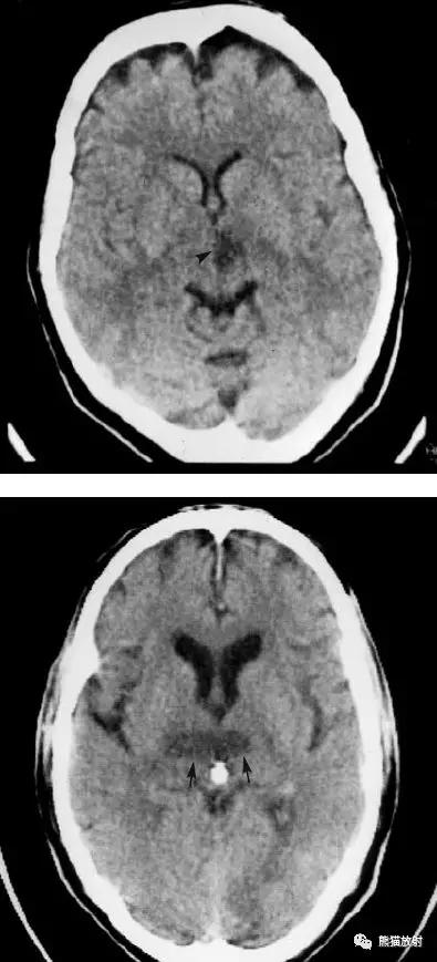
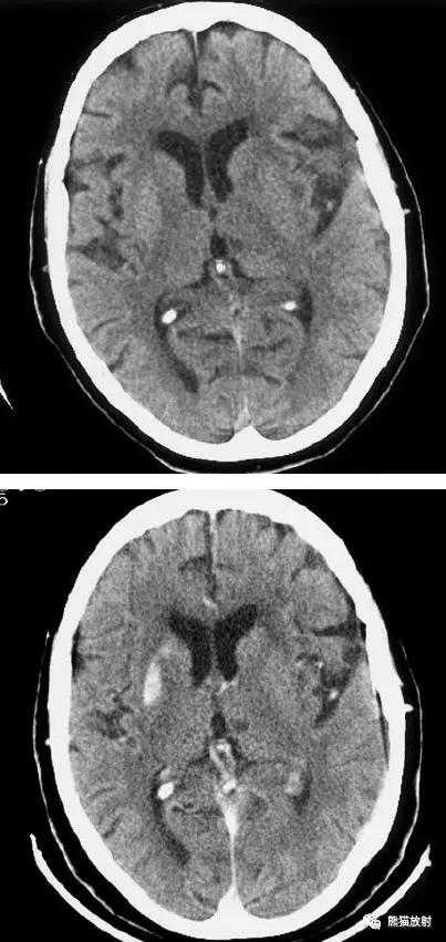
左侧尾状核头脑梗死;右侧外囊腔隙性脑梗死。

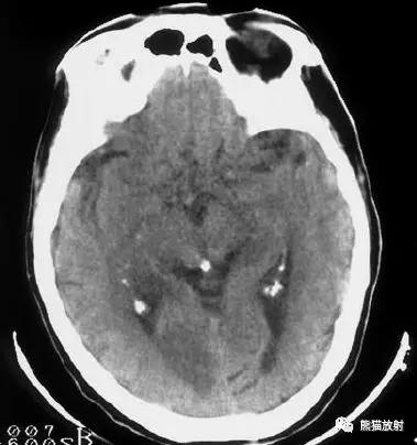
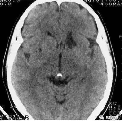
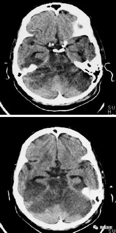
椎基底动脉区域的梗死:范围较广,非均质的低密度区域,累及脑干,小脑半球的前外侧以及颞叶的内后侧。

后颅窝梗死:脑桥、中脑、左小脑半球。

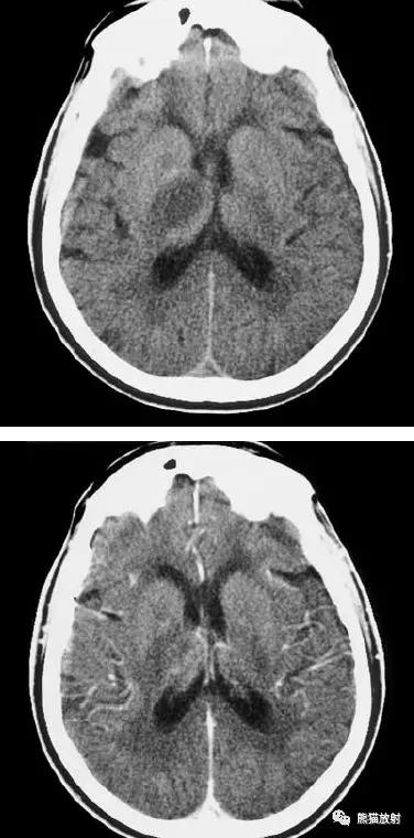
左侧及双侧丘脑梗死

右侧大脑中动脉区域梗死的典型演变:
a)急性期
b)早期亚急性期(2天,从临床起病开始)
c)亚急性晚期(2周后)
d)慢性期(一年后)


左侧大脑中动脉血栓形成(箭头)—— “大脑中动脉高密度征”,发病后不久行CT检查:相应的血管区域见缺血性病变。

右侧豆状核梗死灶(发病后15d),明显均匀强化。另左侧丘脑见腔隙性梗死灶。

左侧大脑中动脉区域大面积梗死,明显不均质强化。

右侧大脑中动脉区域脑梗死,脑回样强化。


左侧额叶脑梗死(发病后12d),由于模糊效应平扫显示不清,增强扫描脑回样强化。

右侧基底节区脑梗死,增强后病灶看上去有所缩小。

出血性脑梗死

上矢状窦血栓形成,呈高密度(箭头);并邻近脑实质内出血性脑梗死。
【版权声明】本平台属公益学习平台,转载系出于传递更多学习信息之目的,且已标明作者和出处,如不希望被传播的老师可与我们联系删除
更多影像内容请*载下**放射沙龙APP,免费读片线上交流学习