多生牙
大家好,我是多生牙,又叫额外牙,很高兴见到大家。也许你认识我,也许你不认识我,那么今天让我来好好的介绍一下自己吧。
因为我是20颗乳牙和32颗恒牙之外多生长出来的牙齿,所以大家都认为我是多余的。
其实我觉得自己一点都不多余,只是比你们这些普通的牙齿更有个性罢了!

我的个性体现在外形和位置两个方面:
让我们来先说说外形方面,普通牙齿都是左右对称的双胞胎,一点个性都没有,而我想长成什么样就长成什么样。
比如大部分时候我都是酷酷的小火箭造型。

也有些时候,我会复制成普通牙齿的模样混在它们中间,哈哈,分不清哪个是我了吧。

我长在哪?
就生长的位置来说,我可就千变万化了。
我不喜欢被约束,当普通牙齿都像小士兵一般整齐排队时,我却跑去探索骨内空间了。

偶尔插个小队,挡住去路不让门牙长出来,哈哈,想要从我这过,留下买路钱。

我力大无比,谁阻挡我,我就推开谁。

看完这些,大家对我有所了解了吧,正如上面所讲,如果是在替牙期,我的位置会阻碍正常新牙的萌出通道,导致对应恒牙的萌出位置发生异常,例如牙齿发生扭转、倾斜、拥挤或牙缝过大甚至不能萌出。

而且我奇怪的外形也会严重影响小主人的美观及心理健康;
也有少数情况下可能导致含牙囊肿的发生,若无视它继续生长,骨质逐渐向周围膨胀,则会形成面部畸形,根据不同部位可出现相应的局部症状。
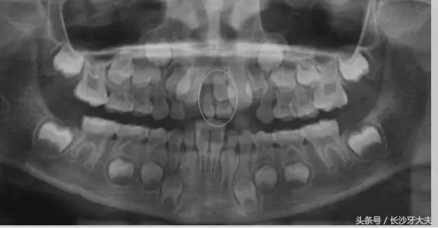
讲了这么多,给大家看一例真实的案例吧:由于多生牙占据了正常门牙应在的位置,两颗门牙还没长出来就被迫分开了很大的距离。

只有去除多生牙的阻碍,以后才可以进行矫正排齐门牙,所以我还是摆脱不了被拔除的命运。

综上所述,多生牙是牙列不齐的重要原因之一,牙医建议,对已萌出和埋于骨内的多生牙,均应尽早拔除;
只有少数身体条件不能耐受多生牙拔除手术的患者,可暂行观察并定期拍片复查。
所以为了主人能够有更好地生活,我要赶紧去找牙医来帮忙啦。