【来源:长江日报-长江网】
长江日报大武汉客户端4月9日讯“你这个骨折,我用中医正骨手法能弄好,愿意试试吗?”武汉中西医结合骨科医院(武汉体育学院附属医院)创伤骨科医生王冠清到达莱索托没几天,刚与17批援莱索托队员做好对接,还未正式开诊,一位因摔伤导致腕关节受伤的非洲患者就“找上门”。
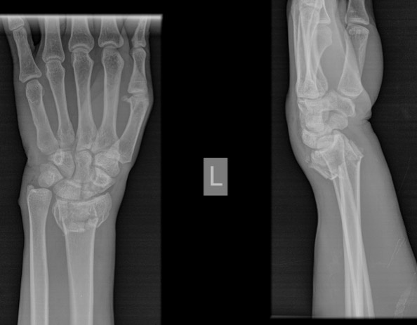
31岁的卡拉狄(音译)是一名汽修工,下雨天的时候搬运轮胎不小心踩到青苔滑倒,手着地的时候刚好崴到了腕关节,拍了片子,显示桡骨远端骨折(Colles骨折),端断分离移位。当地的医生当下给他做了复位处理,打了石膏,但是卡拉狄的疼痛并没有就此消失,反而更加厉害。住几十公里以外的卡拉狄听说中国骨科医生到莱索托了,于是驱车来到医疗队寻求帮助。

患者CT。
卡拉狄到达的时候已是半夜12时,王冠清接到通知一直在等着他的到来。卡拉狄的CT片以及腕部状况显示他的骨折并没有复位,且一直处于畸形状态。“Colles骨折多为间接*力暴**所引起,常见于跌倒,肘部伸展,前臂旋前,腕关节背伸,手掌着地致伤。应力作用于桡骨远端,使得这一脆弱部分发生骨折。”王冠清在询问卡拉狄的意见后决定为他实施中医正骨手法解决他的腕部问题。
“手摸心会、拔伸牵引、旋转屈伸、提按端挤、摇摆触碰、夹挤分骨、折顶回旋、推拿按摩。”王冠清用正骨手法为卡拉狄成功掰回错位的手腕,并用小夹板固定,虽然过程有些疼痛,但卡拉狄当下疼痛立减,手腕也能正常活动了,卡拉狄及其友人都被这神奇的中国传统正骨手法震惊了。

创伤骨科医生王冠清为患者进行检查。
据王冠清介绍,中医正骨术极其考验经验,过程也讲究严谨的方法,每一个步骤看似简单,但技术含量不低。在施行手法整复时,首先要做好骨折的检查和诊断,在此基础上,通过眼观、手摸和心会才能达到骨折整复的目的。中医正骨可治疗多种骨折,成本低,患者恢复快,非常适合在非洲这种医疗资源短缺的地方推广应用。

王冠清(左一)与卡拉狄合影留念。
(长江日报记者谢俊杰 通讯员邹阳 吴雁清 袁宝)
【编辑:余丽娜】
声明:此文版权归原作者所有,若有来源错误或者侵犯您的合法权益,您可通过邮箱与我们取得联系,我们将及时进行处理。邮箱地址:jpbl@jp.jiupainews.com