随着医学技术的进步和人们对美丽的渴求
选择隐形牙齿矫正的成年人越来越多
但是,很多人对隐形矫正存在误解
隐形矫正只是为了美观
隐形矫正只需要七天
隐形矫正只能针对轻微牙齿不齐的病人
隐形矫正时牙齿上不戴托槽不粘结任何东西
隐形矫正牙齿花费时间比传统矫正长
真的是这样吗
美牙君现在就为隐形矫正澄清下

1
隐形矫正只是为了美观
很多年轻人矫正,是为了改善牙齿甚至容貌的美观,但矫正的功效不仅限于此。多数中老年人寻求矫正的目的是健康和功能。整齐的牙齿更易被清洁,利于牙齿和牙周组织的健康,矫正后获得理想的咬合关系,能改善咀嚼功能。

牙齿矫正是健康、功能、美观和长期稳定的和谐统一。
2
隐形矫正只需要七天
隐形矫正器可以通过温和的外力作用,推动牙齿缓慢移动,受压的牙槽骨逐渐吸收,对侧的牙槽骨慢慢地再生,直到牙齿移动至理想的角度或位置。这种矫正方法需要的时间较长,从几个月到一两年不等,视牙齿的不整齐程度而定。

如果太过急功近利的话,比如说过度加压,这样可能会引起牙髓坏死、牙根吸收甚至松动脱落。七天矫正可能说的是做烤瓷牙或者美容冠修复的周期。牙齿的生理性移动是一个缓慢的过程,矫正必须付出时间代价,没有捷径可走。
2
隐形矫正针对轻微牙齿不齐的简单案例
目前很多复杂的病例比如拔牙病例,隐形矫治也可以做到。隐形矫治的适应症已经扩大到一般错颌畸形的80%左右。

对于复杂的全隐形矫治拔牙病例,比如牙冠高度不够、覆合深度大、拥挤度小等等。现有隐形正畸技术可以通过一些设计、控制与优化,让全隐形拔牙矫治病例不再困难。
3
隐形矫正时牙齿上不戴托槽不粘结任何东西
无托槽隐形矫治没有金属托槽,没有钢丝,但是某些情况需要在几个牙齿上粘接乳白色的小扣子,我们称为附件,其中有些是帮助牙齿移动的,有些是为了矫治器固位的。

演示动画中,牙齿上的棕色小扣子就是附件,实物是乳白色的。
4
隐形矫正牙齿花费时间比传统矫正长
实际上牙齿在适合的力作用下移动的速度,使用哪种矫治器都差不多。但是仍有患者会觉得隐形矫治时间比较长,其中原因是:
1.隐形矫治器需定制,有1-2个月制作周期;
2.患者能自行摘戴隐形矫治器,而成人患者或因工作忙忘记戴用,从而影响叫矫正时间;
3.隐形矫治舒适度高,患者不在意多戴几个月,只为一点细节调整。

矫治力越大牙移动越快?
牙齿移动是骨细胞参与改建的缓慢的生理性移动,绝非力量越大速度越快,力量过大反而会移动停止或带来很多副作用。物极必反,矫正不能超越生理限度。

矫治器戴入一周左右就会感觉力量变弱,很多同学就觉得可以提前换下一副牙套了。但是提前换矫治器,没有留出时间让牙齿周围的牙龈和骨骼生长成熟,就会影响牙齿的移动,还得回头再戴,这样反而适得其反。
6
隐形矫正不需要医生付出太多精力?
无托槽隐形矫正的确能减少椅旁操作时间,但负责任的医生花在诊断、检查和改善治疗方案上的时间很多,医生为此付出的精力并不比固定矫治少。

小结
1.隐形矫正是什么
·隐形正畸依托国际先进的计算机三维诊断技术及数字化成型技术,精确设置牙齿正畸位移方案专业评估,减少拔牙,制定个性化正畸方案。
隐形矫正系统利用计算机辅助和三维造型技术,生成一系列个性化的矫正器。
隐形矫正器是比较透明的,不易被人察觉,所以被许多患者称为“隐形牙套”。随着时间的推移,这一系列透明牙套逐渐把牙齿矫正到合适的位置,赋予你自然整洁的笑容。

隐形矫正四大优势
更易清洁
摆脱矫治器的束缚,可自行摘戴,更易保障口腔卫生。
更为舒适
托槽更为轻薄,佩戴也舒适,不影响正常饮食和发音。
更为美观
隐形矫治器,安全透明,不易被察觉,不耽误正常社交。
更为自信
隐形正畸矫正于无形,自信美齿,突破传统矫正铁齿“钢”牙。

隐形矫正是如何进行的?
1.每天佩戴隐形矫正器22小时(不少于20小时);
2.吃饭和刷牙时可以摘下矫正器;
3.随着时间的推移,牙齿逐渐发生改变;
4.每1-2周左右更换一副已经制作好的矫正器;
按时到牙医处复诊检查,整个疗程从9个月到2年不等(根据个人情况而定,有时需要18个月)。


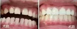
艺星隐形矫正真实案例