
以下是早期食管癌标准ESD手术图例

具体步骤图例

图1 白光内镜:食管中段后壁可见50mmIIb病变。

图2 NBI:病变呈褐色(BA)

图3 碘染色:病变呈不规则拒染区

图4 用Dual刀在病变外5mm处标记

图5 在近端(口侧)进行黏膜切口

图6 在远端(肛侧)进行黏膜切口

图7 使用IT刀进行纵向黏膜切口,并完成C形切口。

图8 行左侧黏膜下剥离术。在重力的作用下,黏膜剥离(左侧卧位行ESD)

图9 在标本的背面进行钛夹牙线牵引

图10 牵引线从嘴中拉出以产生牵引力

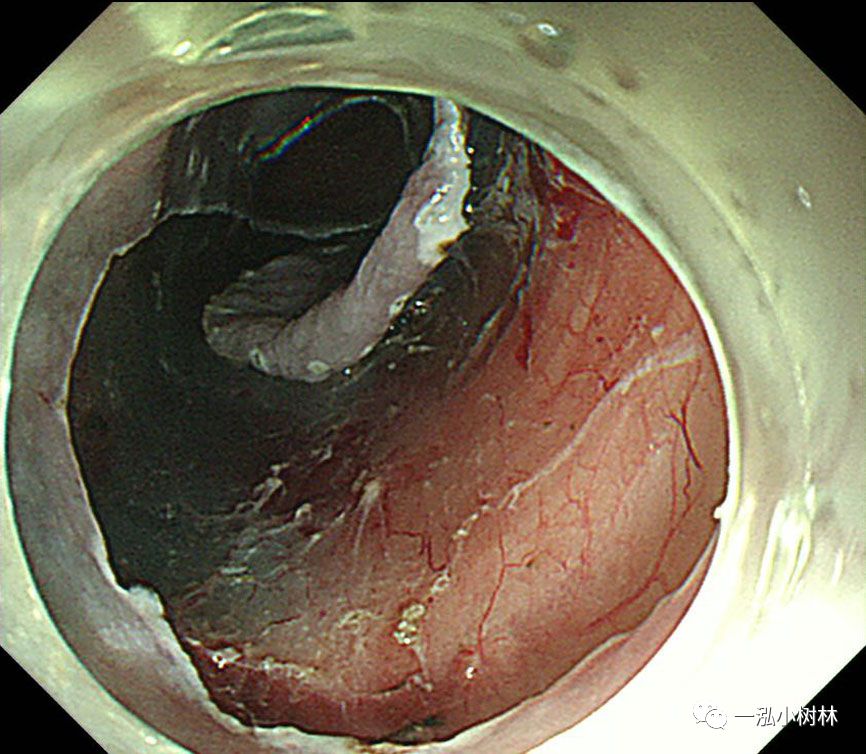
图11 黏膜整块切除

图12 在黏膜缺损处注射100mg曲安奈德预防食管ESD术后狭窄

图13 切除标本显示鳞状细胞癌浸润黏膜固有层。边缘和淋巴血管侵犯均为阴性,病变大小为56x30mm。
ESD是治疗早期食管鳞状细胞癌的首选方法。总之,ESD是一种可行、有效、安全的治疗早期食管鳞状细胞癌的方法。