原创 朱文约 临床医学影像和放射治疗论坛 今天

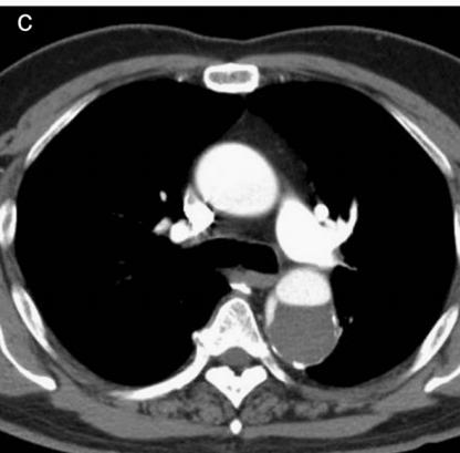
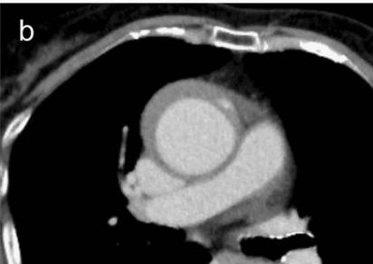
增强CT一看,主动脉夹层,密度相对高的是流动的血液!

下图的胸部CT平扫,基本上大约肯定可以看到一条线样阴影,将主动脉一分为二!

增强CT一看,主动脉裂开了!

下面的CT平扫,隐隐约约基本肯定看到主动脉夹层了!

不行,你再看看,越看越像!

增强CT一看,主动脉的确裂开了!

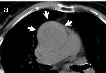
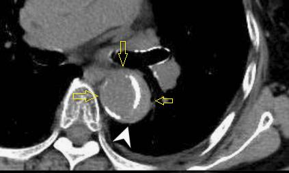
下图的胸部CT平扫,有什么致命的问题?

血管壁钙化啊,老年人很常见啊,
注意,看下面,钙化在血管的里面,不是在管壁!难道是血液钙化了?血液钙化?

这不是血液钙化,这是主动脉夹层导致的血管钙化内移!血液不会钙化,因为动脉夹层,导致钙化的内膜被压迫进入血管!
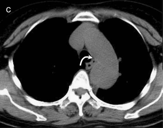
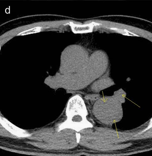
增强CT一看,就一清二楚了!

CT这么模糊,平扫怎么看主动脉夹层?

不着急!仔细看,血管里面的“血液”居然钙化了!这叫血管钙化内移,要警惕主动脉夹层!有研究发现,血管钙化内移诊断动脉夹层的特异性高达90%。

用箭头标记了,并且是增强CT,这是主动脉夹层!

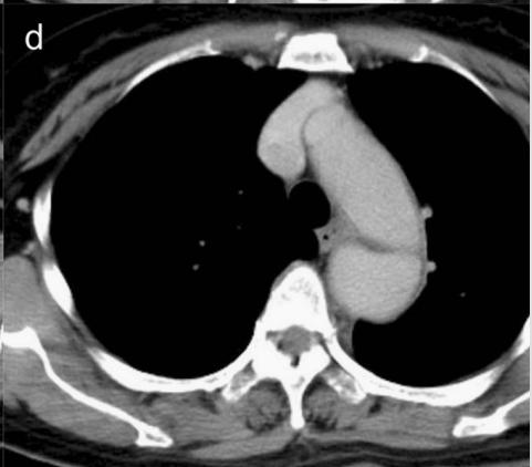
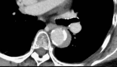
下面这个CT平扫,

这里有大问题!

很可惜,这个不是问题,很多CT平扫都有这种线样阴影!
总结
血管钙化内移,高度警惕动脉夹层,但不是绝对的!
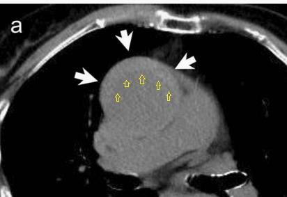
血管内线样阴影,警惕警惕动脉夹层。记住,大约肯定有血管内线样阴影,才要怀疑动脉夹层,如果隐隐约约不肯定,不要过度诊断!
下图是:大约肯定有血管内线样阴影!

下图是:隐隐约约不肯定有血管内线样阴影!
