头痛、视力下降查出脑肿瘤
家住江门53岁的群姐(化名),几个月前,经常感觉头痛头胀,程度时轻时重。“严重时觉得整个头顶都胀痛。”随着头痛加重,群姐还觉得看东西也变得模模糊糊,就像眼前糊了一层纱。
1月初,群姐就诊于当地医院,被告知右侧跨颅中窝、颅后窝有肿瘤。医生怀疑是三叉神经鞘瘤伴出血,建议开刀手术,但医生也如实告知群姐及家属,风险较大。
头部开刀这事可不小,吓坏了群姐及家人,一家人开始四处寻医问药。在朋友的介绍下,了解到广东三九脑科医院是脑专科医院,群姐在1月底来到我院就诊。
手术风险高,肿瘤全切难
根据患者的症状描述与影像资料,与脑膜瘤、听神经瘤等鉴别诊断后,我院神经外六科主任吴杰考虑患者是右侧跨颅中窝、颅后窝肿瘤(三叉神经鞘瘤)。

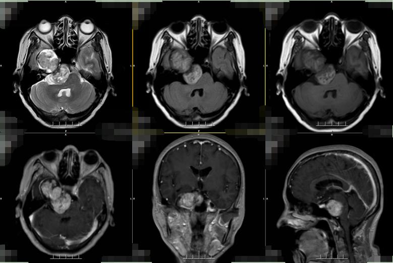
▲术前检查
虽然基本确诊为三叉神经鞘瘤,但治疗却不易。患者的肿瘤较大,周围血供丰富,已经侵犯三叉神经,同时压迫邻近颈内动脉、右侧大脑中后动脉主干。吴杰介绍,“患者的肿瘤骑跨颅中、颅后窝,手术切除难度高。”颅后窝空间狭小,分布各种颅神经,稍有不慎将伤及周围神经或脑干,一次性全切手术难度系数和面临的风险巨大。
经过多次讨论分析,吴杰团队最终决定采用颞下入路,实施右侧岩斜区跨中后颅窝占位性病变切除术。术中可见质地硬韧的黄褐色肿瘤侵犯海绵窦、压迫脑干。吴杰小心翼翼分离肿瘤与周围神经,在显微镜下全切肿瘤,未伤及周围血管神经!
术后病理诊断为神经鞘瘤,证实吴杰术前的诊断。术后,群姐恢复得良好,症状也都消失,很快便出院了。


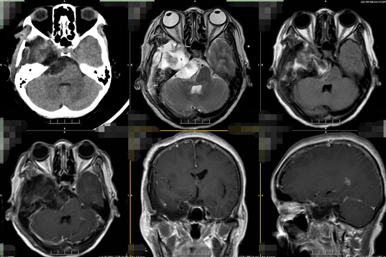
▲术后复查
三叉神经鞘瘤是颅内第二常见神经鞘瘤
三叉神经鞘瘤多起源于三叉神经根或三叉神经节,一般生长缓慢,是颅内仅次于听神经鞘瘤的第二常见的神经鞘瘤。吴杰介绍,该病主要表现为脸麻、嘴麻、痛觉减退、三叉神经痛;如果肿瘤侵及海绵窦,还可能会导致患者视力下降;压迫颞叶时可能引起癫痫等;侵及后颅窝,可引起面瘫、听力下降、共济失调等。吴杰解析,“本例患者出现的头痛症状,则是由于肿瘤体积过大,压迫中脑导水管致梗阻性脑积水引起的颅高压症状。”
手术切除是治疗三叉神经鞘瘤的首选方法,但三叉神经起源于脑干,跨越多个颅底孔道,分布范围深,毗邻重要部位和神经,手术较为复杂。“早发现早治疗十分关键。因为随着三叉神经鞘瘤不断长大,会增加手术难度,同时也会对周围组织造成压迫,进一步产生相关症状,影响生活质量。”吴杰提醒。