
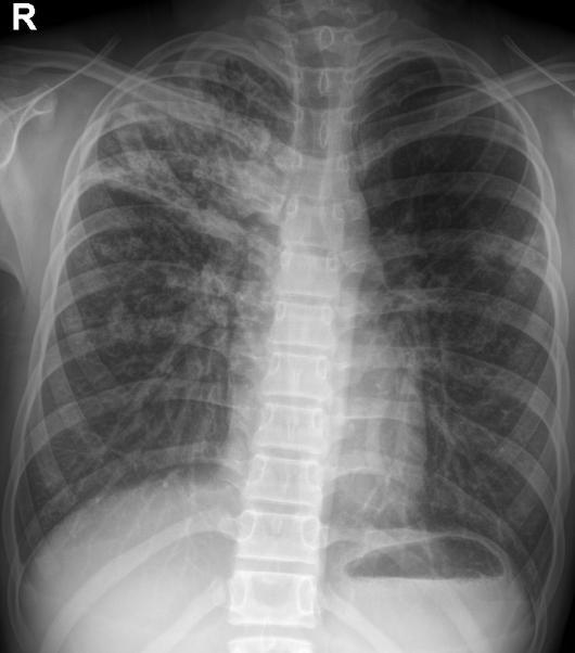
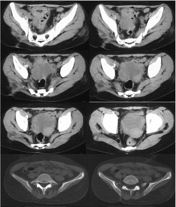
我的好友丹丹,老家有一个表妹,今年16岁,1年前无明显诱因出现右臀部酸痛,伴畏寒、发热、午后低热、盗汗,无双下肢放射痛,并出现左臀部皮肤红肿、破溃、流脓,曾在当地卫生院间断诊治,予以口服药物治疗,效果差,后逐渐出现右臀部外侧皮肤破溃、流脓,经自行口服药物后窦道自行愈合后,周围再次出现流脓,经久不愈,时有脓液流出。丹丹前两天回到老家,把表妹接到我院住院治疗。骨科专科检查发现右臀部一个约0.5x0 5 cm大小窦道口,按压周围可见黄色干酪样分泌物流出,局部可见肉芽组织,无红肿,周围可见多个窦道口疤痕。胸部X线检查:右上.中肺野及左中肺野可见片状.斑片(点)状.条索状阴影,边缘清晰,密度均匀。骨盆CT检查:右侧骶髂关节面骨质破坏、硬化,正常关节结构破坏,臀部软组织内可见囊性密度不均之肿块,影像诊断:右上.中肺.左中肺结核,右侧骶髂关节结核伴髂内肌冷脓肿形成、关节半脱位。



骶髂关节结核(tuberculosis of sacroiliac joint)多见于青壮年,女性稍多,儿童很少。骶髂关节结核发病缓慢,病期较长,有达15年的,多为1~2年。如无其他结核时,病人一般情况良好。主诉局部疼痛和脓肿,偶有跛行。有的病人自诉疼痛沿坐骨神经放射。疼痛多限于患侧臀部,盘腿穿鞋袜时较困难。早期很轻微,逐渐加重,病变突破关节囊后,脓液外溢,关节内压力减少,疼痛又减轻。到晚期,当关节发生纤维性或骨性强直时,疼痛完全消失。髂窝或臀部有脓肿者可触及波动感。骨盆挤压和分离试验常为阳性。臀部脓肿或窦道可出现臀部、髋窝或股骨大粗隆等处。
骶髂关节由骶骨的耳状面及髂骨的耳状面所组成,耳状面大小及形态的差异因人而异,且差异较大。耳状面呈前宽后窄的特点,表面多凹凸不平。骶髂关节可分为后上1/3或2/3的韧带部以及前下滑膜部。滑膜部具有完整的关节囊、关节软骨、滑膜及关节间隙,为真性关节。骶骨关节面基本为透明软骨,髂骨关节面为纤维软骨,且厚度为骶骨透明软骨的2~3倍。鉴于骶髂关节的这种解剖特点,致使骶髂关节结核主要发生在骶髂关节滑膜部,且病变累及骶髂关节前下部髂骨侧常较骶骨侧为重。

骶髂关节结核可分为滑膜型和骨型,常由结核菌经血行或继发感染,引起关节滑膜充血肿胀,结核肉芽组织破坏关节软骨及其下骨质。滑膜型病变仅侵犯关节滑膜,骨型多由滑膜型发展而来,也可由骨关节端结核病灶扩展而来。
骶髂关节结核常见影像学表现为骨质破坏,死骨形成,关节间隙增宽或变窄,周围脓肿形成,部分伴有窦道。骨盆的X线平片检查可明显的看出骨质的改变,部分脓肿,但由于解剖结构的特殊性,无法显示全部的关节间隙。CT的密度分辨率较高,能够清晰的显示骨破坏程度、部位以及范围,对死骨、脓肿的形成及部位、窦道、囊肿等能够直观的检查,可以发现到X线检查难以观测的生理性骨化和病理性改变。
骶髂关节结核影像学表现:滑膜型结核早期关节囊肿胀,关节间隙增宽,继而侵及关节软骨和关节面;骨型结核早期在骶髂关节的骶骨或髂骨端见到孤立的圆形或椭圆形破坏区,边缘清楚,继而病变累及关节软骨和滑膜,导致关节边缘模糊、毛糙,骶髂关节前下部受累最早,且以髂骨侧破坏最严重。随着病变的进展,滑膜被增生的肉芽组织替代,干酪样坏死物聚集、侵蚀,死骨形成,最终使全关节受累,韧带软化、松弛,关节间隙增宽,这有别于其他大关节。由于骶髂关节结核的骨质疏松常不如其他关节明显,而往往显示有骨质增生硬化征象。关节破坏严重者,可造成病理性半脱位。大多有冷脓肿形成,多发生在臀部,有时在腹股沟、髂窝区,当脓肿增大,张力增高时,常自行破溃并沿着薄弱的组织间隙蔓延形成窦道。
骶髂关节结核典型CT表现:
(1)骨型骶髂关节结核呈圆形或椭圆形破坏区,并累及髂骨侧关节面。
(2)滑膜型骶髂关节结核呈:①关节面模糊、破坏,骨质破坏,关节间隙狭窄或不规则增宽;②大块死骨或散在颗粒状高密度影;③骨质增生硬化。
Kim依据根据临床和影像表现将骶髂关节结核分为四型。
Ⅰ型:关节间隙增宽,关节面模糊;
Ⅱ型:关节面破坏,见小锯齿状缺损;
Ⅲ型:关节面明显破坏,髂骨和骶骨囊性缺损,边缘有硬化;
Ⅳ型:关节明显破坏,脓肿形成,部分关节半脱位,并累及椎体。
骶髂关节结核鉴别诊断:
1.强直性脊柱炎(AS):影像学表现为双侧骶髂关节硬化性改变,关节边缘模糊不清,随后骶髂关节边缘不整齐、硬化、关节间隙狭窄、消失、融合并累及脊柱呈现“结节状”改变,同时髋、膝关节亦呈现强直而骶髂关节结核女性多于男性,影像学表现以单侧发病,关节间隙增宽为主。
2.类风湿性骶髂关节炎:影像学表现常一侧发病如为双侧,病变程度往往不同。病变较易侵犯骶髂关节的上半部,早期表现为关节面骨皮质密度减低继而关节面下出现小囊状骨缺损,周围伴不同程度的硬化。骶髂关节结核发病部位多在前下部(滑膜部)。
3.化脓性骶髂关节炎:影像学表现早期关节囊肿胀,关节间隙增宽,随后骨质疏松或皮质下线状疏松带,局部软组织肿胀。晚期关节间隙变窄,骨质破坏、增生,骨性关节周围软组织钙化。
4.髂骨致密性骨炎的X线表现:单侧或双侧骶髂关节中、下部2/3区域出现局限性骨质硬化,一般局限于髂骨侧,表现为髂骨耳状关节面出现“三角形”、“梨形”致密影,致密影密度均匀,内缘可达骶髂关节面,外缘可与正常骨移行界限不清,关节间隙内可见“真空样”改变,关节面一般不受累,关节间隙正常。
你可能还想看:
“白骨精”与同事醉酒后回家,头痛欲裂,到底发生了什么?!
多图看懂椎间盘突出(腰突症)
影领影像医生集团——助力中国医学影像事业发展