胰腺属于人体的消化系统,其主要功能是合成消化液和消化酶——是人体代谢碳水化合物、脂肪、蛋白质必不可少的物质,医学上把胰腺这种功能称为“外分泌”功能;在胰腺实质特别是在胰腺尾部存在着许许多多像岛屿分布一样的细胞团,合成各种蛋白类激素,医学上将其称为胰腺的“内分泌”功能,最知名的就是胰岛素了。

胰腺虽小,但功能重要
胰腺很小,长度仅约14-18厘米,重量更是只有65-75克,而且胰腺藏得很深,属于后腹膜器官,深居在人体的中上腹部,所以平时大家都不太容易注意到它的存在,胰腺虽小,但是它的功能十分重要,而且一旦生病就容易产生很严重的后果。
一、胰腺囊性肿瘤是什么?
一提到肿瘤,相信大家首先会想到癌症和不治之症,其实目前已经有相当一部分恶性肿瘤可以获得治愈或有效控制,当然在胰腺肿瘤中的胰腺癌是一种比较厉害的疾病,目前对它的有效治疗手段还不多,不过今天讲得重点不是胰腺癌。
伴随着医学和科技的进步,发现了很多之前没被认识的疾病,其中胰腺就可能长出来不少奇怪的东东出来,其中一大类就是胰腺囊性肿瘤。所谓囊性,是指由于胰腺导管或胰腺腺泡上皮细胞的增生,导致胰腺分泌物无法正常排出而在胰腺内潴留并形成囊肿,内部大部分为液体,也可合并一些实性成分;那么肿瘤则是指新生物,可不一定就是恶性的,具备这样特征的胰腺病灶在医学上统称为胰腺囊性肿瘤。

胰腺囊性肿瘤就像胰腺中的水泡
胰腺囊性肿瘤的种类就有不下十种,其中最常见的包括:浆液性囊腺瘤(microcystic adenoma)、粘液性囊腺瘤(macrocystic adenoma)、粘液性囊腺癌(macrocystic adenocarcinoma)、胰腺导管内乳头状粘液瘤(IPMN)、实性-假乳头状肿瘤(SCT);此外,还有一些少见的如囊性胰岛细胞瘤、腺泡性囊腺癌、囊性畸胎瘤、淋巴管瘤、海绵状血管瘤、囊性副神经节瘤等等。

胰腺囊性肿瘤重点在于鉴别其良恶性
胰腺囊性肿瘤对人体的危害虽远不及胰腺癌,但是某些还是需要格外重视的,特别是具有癌变风险或本身就是恶性的病灶,需要及时外科干预。
二、浆液性囊腺瘤(SCN)
这是一种常发生在胰腺体尾部的偏良性肿瘤,在中老年女性多见,由于早期没有任何症状,通常是在查体时发现或生长到比较大的时候才被诊断出来。一般可将其进一步细分为微囊型、寡囊型、混合型及实性型,其中以微囊型最为常见且最有特征性。

胰头肿瘤呈多个小囊聚集成“蜂窝”样,边缘光整,中央见小片状钙化
胰腺微囊型浆液性囊腺瘤的典型CT表现:胰腺实质内轮廓清楚的分叶状肿物,囊腔细小(<2cm)且多,呈”蜂窝样”改变,最具有特征性的是中央星状瘢痕、日光放射状钙化等,浆液性囊腺瘤生长缓慢,一般早期发现者可以采取定期观察的防范,等到较大时再考虑手术切除也来得及。
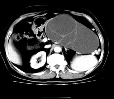
三、粘液性囊腺瘤和囊腺癌
这就比前一种要严重一些了,又称大囊性囊腺瘤或癌(macrocystic adenoma/adenocarcinoma),其中大部分的病例仍为女性,也好发于胰腺尾部,典型者由一个或多个大囊组成,其囊壁薄厚不均伴强化(<1cm),囊壁分隔菲薄呈线状,可伴钙化,液体成分密度不均(由于内部出血或液体中蛋白浓度差异所致)

粘液性囊腺瘤要比浆液性囊腺瘤严重
肿瘤的大小与恶性程度相关,直径>8cm则考虑恶性可能大;若发现囊壁有结节状改变、不规则厚壁、突入腔内的壁结节并有强化实性成分,那么就应考虑为囊腺癌,病理以伴有卵巢样间质(ovarian-like stroma)为特征。由于粘性性囊腺瘤更容易恶变,所以手术就应更为积极。
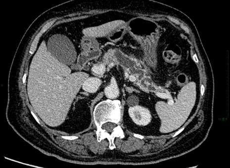
四、胰腺导管内乳头状粘液腺瘤(IPMT、IPMN)
这是一种发生于胰腺导管内的胰腺外分泌肿瘤,好发于中老年男性,近年被逐渐重视。病灶来源于胰腺导管的上皮,呈乳头状生长并分泌粘液,由于其生长位置特殊,会堵塞相应部位的胰腺导管,因此可引起主胰管和分支胰管进行性的扩张,其常见症状包括腹痛、黄疸、脂肪泻,易被误诊为慢性胰腺炎,后者会出现主胰管粗细不均的扩张,胰腺实质内粗大钙化及主胰管内结石。
IPMN最先由Ohashi等于1982年描述,随后1984年Yanagisawa等基于肿瘤的放射影像学和大体形态特征——主胰管及其分支的囊性扩张、导管内粘液池和从乏特壶腹部向外分泌粘液,将其定义为“胰腺导管内乳头状粘液腺瘤”。

IPMN可以引起胰腺导管的明显扩张
根据世界卫生组织(WHO)1996年公布的诊断标准,IPMN可分为:胰腺管内乳头状粘液性囊腺瘤(IPMA)、胰腺导管内乳头状粘液*交性**界性囊腺瘤(IPMB)、胰腺导管内乳头状粘液性囊腺癌(IPMC),其病情严重程度逐渐上升;根据病灶发病部位的不同,IPMN又可分为:主胰管型——局部或广泛主胰管扩张,扩张导管内可见强化的壁结节,此型恶性可能大,分支型——好发生于胰腺钩突部,表现为分叶状或葡萄串样囊性病变,并与主胰管相通,恶变率较低,以及混合型。

IPMN的手术指证也要根据其良恶性程度
由于主胰管型IPMN的恶性可能性更大,特别是当肿瘤内出现>10mm的壁结节,主胰管扩张>10mm,壁内钙化及出现糖尿病症状时提示为恶性,建议及早手术治疗。
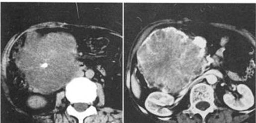
五、实性-假乳头状肿瘤(solid-pseudopapillary tumor SCT)
这种疾病的95%以上见于年轻女性,属低度恶性或潜在恶性倾向,其肿瘤边界清楚,有包膜,平均直径8-9cm,内部是实性成分和囊性成分混杂在一起,SCT由于容易合并出血,内部发生坏死的频率很高,在30%的肿瘤边缘可出现圆弧状或蛋壳状钙化,20%的囊性成分中伴有出血。

SCT多见于年轻女患者
胰腺实性假乳头状瘤的CT表现特征为:增强后实性成分呈渐进性强化,实性成分可表现为“浮云”征或呈附壁结节,或表现为囊实性相间分布,其中以实性成分为主者,囊性成分多位于包膜下,很多病灶具有明显完整光滑的包膜,且强化明显。

SCT的CT特征比较典型
结语
由于胰腺本身较小,很多疾病都是在查体时发现的,上述的这几种疾病在胰腺囊性肿瘤中最为常见,非医学专业的人恐怕很难判断疾病到底是否严重,需要医生帮助病人进行鉴别和选择治疗方法。

如何鉴别胰腺囊性肿瘤