
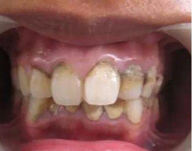
牙龈萎缩是由牙周疾病引起的常见疾病。牙龈下部有牙结石。牙结石可导致牙龈萎缩和牙齿松动。牙龈萎缩分为两种类型:病理性萎缩和生理性萎缩。病理性萎缩主要是由于牙龈边缘的异物(牙结石)的存在和长期未能清除,以及细菌的生长和刺激引起的;此外,它还会随着年龄增长或多或少发生萎缩,露出牙齿的根部。这称为生理性萎缩,不需要治疗,但是可以通过医疗保健来延缓。

牙龈萎缩分为两种类型:病理性萎缩和生理性萎缩。病理性萎缩主要是由于以下原因引起的:
1.炎症性牙龈萎缩
这种萎缩是最常见的,主要是由于牙周炎引起牙周组织的破坏。牙槽骨吸收后,附着在牙槽骨上的牙龈将沿牙根方向收缩。只发生于有牙周炎的患者。
2.机械性牙龈萎缩
主要是因为牙刷不符合标准,刷牙方法不正确(例如水平刷牙方法),不良修复体以及牙龈上的其他机械摩擦或压迫牙龈,导致牙龈和牙槽骨萎缩。发生在一组牙齿或单个牙齿中。
3.废用性牙龈萎缩
主要是因为牙齿没有咀嚼功能,因此牙周组织缺乏必要的功能刺激,并且长时间处于废弃状态,这可能导致牙龈和牙槽骨萎缩。
4.老年性牙龈萎缩
它仅在老年人中发生,并且由于衰老而发生。这是一种生理现象,是随着人类年龄的增长,牙龈系统中各个器官功能下降的表现。这种萎缩是大多数或所有牙齿的牙龈和牙槽骨的萎缩。
5.过早的牙龈萎缩
它与老年性牙龈衰退相同,但是大多数年轻人都有老年人牙龈衰退的表现,因此被称为早老性牙龈衰退。年轻人有过早的牙龈萎缩,主要是由于饮食或生活环境污染引起的牙龈萎缩(食品中的激素和添加剂等),药物引起的牙龈萎缩。
牙龈萎缩后,临床牙冠变长并且牙根表面暴露在外。当暴露于冷,热,甜和其他刺激下时,将出现牙本质过敏,甚至牙髓炎。同时,牙齿之间的间隙增大,食物受到影响,并且牙本质过敏。前牙发生的牙龈萎缩会影响外观。

炎性牙龈萎缩主要表现为牙龈发红,肿胀和疼痛,刷牙时出血很常见。老年人的牙龈萎缩常常使裸露的根对冷热温度和酸性食物的变化极为敏感,这会阻碍进食并降低生活质量,因此应注意预防和治疗。
治疗
少量均匀的牙龈萎缩通常是无症状的,不需要治疗。如果牙龈退缩继续发展,则应仔细寻找原因并采取相应措施。例如,定期清洁牙齿半年以去除牙结石,以减少牙结石对牙龈的刺激;不要太用力地刷牙,以免拉伤牙龈,甚至造成牙楔形缺损;纠正不良的修复体,调整咬合或正畸力。治疗主要是为了防止其恶化。

过度刷牙和牙结石刺激
对于个别或少数的前牙,其牙龈退缩会影响其外观,可以通过侧向移位皮瓣手术,免费的牙龈皮瓣移植,结缔组织移植和其他手术来覆盖暴露的牙根表面。如果牙槽骨板太薄或骨头裂开,也可以使用引导骨再生(GBR)手术进行治疗。对继发性牙本质过敏或牙龈萎缩后有根龋的患者,应进行对症治疗。
牙齿脱落,虽然年龄是最大的因素,但归根结底是因为固定牙齿的牙龈消失。

牙龈萎缩是不可逆转的,重点应该放在预防上!!