
——“例精图治”第四届中青年医生冠心病病例论坛总决赛病例之四

刘胜全 大庆油田总医院

病例介绍
基本信息
患者男性,59岁,主因“间断胸闷胸痛不适1年,加重伴气短1周”入院。高血压病史10年,血压最高200/100 mm Hg。糖尿病病史15年。脑梗死病史8年,左侧肢体活动不灵后遗症。长期吸烟20年,已戒烟。否认长期饮酒史。
体格检查
血压150/70 mm Hg,BMI 25 kg/m2。口唇发绀,颈静脉无充盈。双肺可闻及少许干湿啰音。心率58次/分,律齐,各瓣膜听诊区未闻及杂音。双下肢轻度水肿。
实验室检查
血糖16 mmol/L。肾功能提示肌酐160 μmol/L。肌钙蛋白I 2.6 ng/ml,Pro-BNP 6560 pg/ml。心肌酶、血常规、凝血四项等均大致正常。
辅助检查
超声心动图示,射血分数(EF)35%,左室59 mm,二尖瓣少量反流,左室收缩功能减低。心电图示Ⅱ、Ⅲ、aVF、V5~6导联T波倒置,不正常心电图(图1)。

图1. 心电图示Ⅱ、Ⅲ、aVF、V5~6导联T波倒置
入院诊断
-
急性非ST段抬高心肌梗死:心功能不全 Killip Ⅱ级
-
高血压病3级(极高危)
-
脑梗死后遗症
-
2型糖尿病:糖尿病性肾病、肾功能不全 氮质血症期
诊疗经过
入院后评估发现,患者CRUSADE评分62分,GRACE评分151分,提示存在较高的出血及死亡风险。患者院前用药主要包括拜阿司匹林、阿托伐他汀、美托洛尔、金纳多、诺和灵30R及海昆肾喜胶囊。为改善患者症状,进一步加用地高辛、培哚普利、单硝酸异山梨酯、螺内酯、呋塞米、替格瑞洛及金水宝,同时将美托洛尔换为具有水脂双溶性的比索洛尔,并加用氯化钾缓释片以防应用利尿剂期间低血钾的发生。药物调整治疗1周后,患者心力衰竭(心衰)症状明显改善,但反复有胸痛发作。遂建议完善冠状动脉造影,并在必要时准备行PCI。
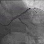
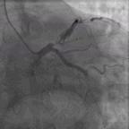
冠状动脉造影结果显示冠状动脉三支血管严重病变,左主干内膜不光滑但无狭窄,前降支开口狭窄95%,近段狭窄80%,D1内膜不光滑且近段狭窄80%,回旋支远段狭窄99%,OM1开口狭窄90%,OM2闭塞,右冠状动脉近段狭窄60%~80%,中段闭塞(图2)。SYNTAX评分46分。

图2. 冠状动脉造影
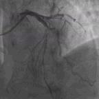
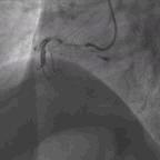
根据《中国经皮冠状动脉介入治疗指南(2016)》推荐,该患者适合CABG而非PCI。但是,患者及其家属拒绝行CABG,要求行PCI。在这种情况下,我们开始思索对该患者行PCI到底应处理哪支血管?左冠状动脉,还是右冠状动脉?经讨论后,首先对右冠状动脉进行干预(图3),治疗过程中AL.75指引导管导致右冠状动脉窦底夹层,此时很难抉择是放弃手术还是观察后干预前降支。观察10分钟后,见右冠状动脉窦底造影剂滞留逐渐消散。

图3. 对右冠状动脉行PCI
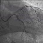
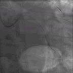
考虑前降支为此次胸痛的罪犯血管,尽管处理起来风险很大,最终还是决定一搏。两条导丝分别置入前降支和回旋支,用双导丝球囊Scoreflex(3.0*10)扩张(图4)后植入Xience V(4.0*12)支架1枚(图5),术后患者未出现慢血流和无复流(图6),同时胸痛缓解。

图4. 双导丝球囊Scoreflex(3.0*10)扩张

图5. 植入Xience V(4.0*12)支架

图6. PCI过程
接下来的问题是结束手术,还是锦上添花处理回旋支或继续处理前降支中段?因前降支中段涉及很大的对角支,如果在前降支中段植入支架势必会影响对角支血流,既然前降支血流明显改善,冒此风险不值得,故未在前降支中段植入支架。最终我们决定一不做二不休处理回旋支,考虑回旋支OM2最大,但有慢性闭塞病变,处理起来不容易,遂决定处理回旋支远端,将Rinato导丝送至回旋支远段,用小球囊Ryujin(1.5*8)扩张(图7)后血流改善(图8),最终结束手术。

图7. 小球囊Ryujin(1.5*8)扩张

图8. 最终结果
病情转归
术后,患者心电图恢复正常(图9),胸痛明显缓解,心率波动在60次/分左右,血压维持在130/70 mm Hg左右,术后第3天平稳出院。出院前肌酐140 μmol/L,血糖8.0 mmol/L,肌钙蛋白I 1.8 ng/ml,Pro-BNP 1800 pg/ml;心肌酶、血常规、电解质水平均大致正常。

图9. 术后心电图
鉴于《中国心力衰竭诊断和治疗指南2014》推荐,若无禁忌证或不耐受,慢性心衰患者应终生应用β受体阻滞剂,故出院后让患者在继续拜阿司匹林、替格瑞洛、阿托伐他汀、培哚普利、螺内酯治疗的基础上,长期坚持应用比索洛尔,并加用尼可地尔改善冠状动脉微循环,继续应用诺和灵30R控制血糖,海昆肾喜胶囊及金水宝改善肾功能。随访期间,患者在心脏康复中心坚持康复训练,未见胸痛及胸闷气短发作。复查超声心动图(图10)可见,EF升至61%,左室末径显著减小,左室收缩功能显著恢复。

图10. 超声心动图结果
诊疗体会
临床实践中,我们经常会面临很多复杂患者。该病例的诊治过程可谓“山重水尽疑无路,柳暗花明又一村”。在当下医患关系紧张复杂的背景下,作为医生,我们需怀有医者父母心,勇于担当,尽自己最大的可能给患者生的希望,不计个人得失,以患者健康和安危为重。作为医生,我们要真正承担起救死扶伤的使命,敢于担当,真正实现“健康所系,性命相托”的承诺。
评委点评

廖玉华教授
华中科技大学同济医学院附属协和医院
首先感谢刘胜全医生介绍了一个好病例,它的好主要在于患者处于生命非常危急情况下如何抉择和处理,重点在于患者的病变究竟该如何处理,最后取得了令临床医生满意的治疗结果。作为病例讨论和比赛,更需要准确诊断和评价。第一,如果患者入院时是心衰、心功能不全,Killip分级是否正确?第二,该患者因“间断胸闷胸痛不适1年,加重伴气短1周”来住院,究竟是慢性心衰,还是急性心肌梗死合并急性心衰?第三,急性非ST段抬高心肌梗死不是一个完整诊断,首先要判别是哪个部位,如果不定位,患者发生心衰究竟哪支血管是罪犯血管不清楚。要根据病变情况决定怎么做。因此,诊断不是很准确,仅围绕介入治疗,考虑不够全面。准确诊断来源于病史、辅助资料,患者入院之前病情有怎样的演变经过?在心功能判断上,辅助检查只是一个帮助性的参数,最关键的还是病史和体征。总之,希望今后大家在临床工作一定要扎扎实实打好临床基本功。

罗素新教授 重庆医科大学附属第一医院
首先,该患者有心功能减退,也有心绞痛症状,心绞痛症状到底是哪支血管的问题?实际上,患者存在三支血管病变。这提示,即便心电图提示是非ST段抬高心肌梗死,冠状动脉也可能是完全闭塞的。这是非常重要的一点。既往认为ST段抬高心肌梗死患者的冠状动脉是闭塞的,但实际上很多非ST段抬高心肌梗死患者的冠状动脉也可能是完全闭塞的。第二,三支血管病变,哪支是罪犯血管非常重要。因为心电图是Ⅰ、aVL、V5~6导联改变,所以罪犯血管可能是左冠状动脉。同时,患者的心功能有减退,右冠状动脉导致心功能减退相对较少,如果患者心电图表现为左侧血管,心功能有明显减退,我们首先考虑罪犯血管是左侧。解决多支血管病变时要先解决罪犯血管。如果有闭塞病变,先解决闭塞血管,也并非不可。对于该患者肯定不可能一次解决三支血管病变,所以冠状动脉介入过程中进行抉择最重要。抉择好了,之后的治疗就相对比较容易。我们也看到,把左侧血管病变解决后,患者的症状得以改善。

张福春教授 北京大学第三医院
这个病例确实是一个非常好的病例,处理策略是不得已而为之。我觉得策略是对的,在右冠状动脉直接处理是不合适的。该患者应该是急性下壁非ST段抬高心肌梗死,心电图Ⅱ、Ⅲ、aVF导联不可能没有动态改变。回旋支是罪犯血管,处理策略是对的。
(来源:《国际循环》编辑部)
版
权
声
明
版权属《国际循环》所有。欢迎个人转发分享。其他任何媒体、网站如需转载或引用本网版权所有之内容须在醒目位置处注明“转自《国际循环》”