牙周炎,一个非恶性的相对缓和的健康杀手,它对人类健康施出的温柔一刀,虽不致命,却足以让大多数人后半生的生活质量遭遇滑铁卢。
生不如死谈不上,但一定会是苦不堪言,后悔莫及。
然而这一切,本可以避免。
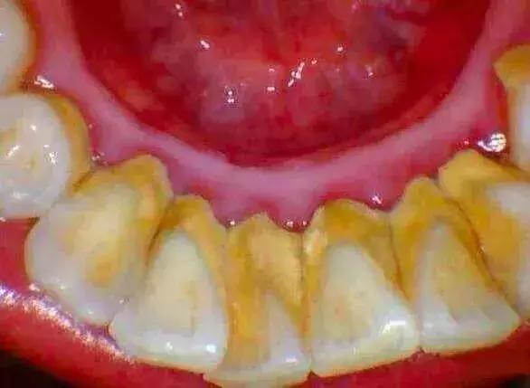
这是一个 30 多岁的小伙子,只是因为「牙齿松动」来就诊。
但等待他的,却是晚期牙周炎患者的最终归宿——全口牙松动,拔除。
牙周炎患者被拔除的牙齿

@西安牙医老聂
换句话说,他看起来一颗牙也不缺,但其实一颗牙也没有了——这就是晚期牙周炎患者面对的「无牙窘境」。
然而,对口腔大夫来说,这样「全口牙齿拔除」的骇人病例,却已经司空见惯。
2017 年 9 月 19 日,原国家卫计委发布《第四次全国口腔流行病学调查》结果显示:
我国成年人的牙周健康率仅为 9.1%,牙周炎是导致我国成年人牙齿丧失的主要原因。
换言之,90% 以上中国人的健康,都处于这项疾病的威胁之下,任其发展甚至会失去全部牙齿——而他们对此毫不知情。
正因为如此,牙周炎被医学界定论为继癌症、心脑血管疾病之后,威胁人类身体健康的第三大杀手,也是口腔健康的头号杀手。
而每个人都有可能遭遇。
每个人都可能遭遇的头号杀手
牙周炎,由局部因素引起的牙周支持组织慢性炎症,最通俗的说法就是「牙床发炎」。
首先,我们要认识一个基本概念:牙菌斑。
牙菌斑是粘附在牙齿表面或口腔其他软组织上的微生物群。它由大量细菌、细胞间物质、少量白细胞、脱落上皮细胞和食物残屑等组成。
每个人都有牙菌斑,区别只在数量,这也是牙周炎发病的关键。
通过每天正确、高效地刷牙,可以让牙菌斑维持在不致病的水平。否则,牙菌斑堆积、钙化,将逐渐形成牙结石。
牙结石

当牙结石达到一定程度,就会刺激牙龈发炎,刷牙出血。
如果继续拖延牙龈炎,从量变到质变,产生牙周袋,牙槽骨吸收,牙齿松动,口臭,最后形成牙周炎。
除了少数侵袭性牙周炎与遗传、全身因素有关,而没有牙结石以外。多数牙周炎基本都始动于牙结石,尤其是龈下结石。
谁容易得牙周炎?
总体而言,不认真刷牙以及无视牙结石危害,牙龈炎极度拖延,是牙周炎的重要致病因素。
另外,长期食物嵌塞和口腔不良修复体长期刺激也可导致牙周炎。
同时,有几类易感人群值得高度重视:孕妇,烟民,糖尿病患者和牙列不齐者。
妊娠本身不会引起牙龈炎症,只是由于妊娠时性激素水平的改变,使原有的牙龈炎症加重。
因此,妊娠期龈炎的直接病因仍然是牙菌斑。
随着分娩后激素水平回归正常,龈炎整体上会减轻,但如果不彻底清除牙石菌斑,仍会有局部牙周炎产生。
那种「生一个伢,掉一颗牙」的说法,终极因素仍然是口腔卫生状况差,牙菌斑控制欠佳所致。也就是说,它并非必然现象,完全是可控的。
另外,女性备孕前请一定全口洁牙!这是目睹一个又一个孕妇备受牙龈炎甚至牙龈瘤之痛苦而得出的吐血教训!
抽烟、糖尿病也是牙周炎的重要易感因素。
由于烟民的口腔卫生状况一般较差,烟斑更容易沉积菌斑,所以牙结石量普遍高于常人,而且烟雾中的化学成分会对牙周组织造成慢性损害。
长期抽烟的人成骨细胞活性降低,牙槽骨萎缩加速,这些综合因素造成牙周炎进展快,且治疗难度加大。
而抽烟本身也会增加糖尿病的患病风险,两者再次形成恶性循环——如果一个烟民得了糖尿病,他的全口牙丧失也逐渐走上日程。

某烟盒警示包装
「消失」的中国牙周炎患者
与牙周炎的极高发病率形成鲜明对比的,是牙周炎患者的极低就诊率。
事实上,除了少数知名口腔院系的牙周科患者较为集中外,很多医院口腔科的牙周专科,则显得更为冷清——从某种意义上来说,中国的牙周炎患者「消失」了。
为什么?这和两个广泛存在的误区有关。
➊ 牙周炎不是上火
牙周炎最初表现为牙龈炎「刷牙出血」,这也是最佳的干预治疗时机。
但大多数人此时却认为这是「上火」,执念于自己在家「祛火消炎」。
「有炎必消」的思想根深蒂固,大量患者被「千错万错,消炎不错」的「黄金法则」误导,铺天盖地的「神药」广告应运而生。

但没有哪种「神药」能根治牙周炎。
且不论大量「神药」缺乏循证医学支持,即使是通过循证验证的牙周临床常用药:派丽奥(盐酸米诺环素软膏),也只是牙周专科治疗中的辅助用药。
牙周炎不是上火,治本的关键更不在祛火,也不是各品牌宣传的「牙周宁、口炎清、牙周康、洁齿液、蜂胶、固齿膏」……而是控制牙菌斑。
➋ 不是牙掉光了镶新的就行
许多患者总认为:牙周炎不是什么大病,能拖就拖,等牙掉光了再镶一口假牙就行。
殊不知全*活口**动义齿,不仅功能比天然牙齿相差一大截,咀嚼效力不高,使用也不方便。全口种植义齿也是一种选择,可以较好地恢复咀嚼功能。
但现实是,并不是每个无牙患者,都拥有「口腔里开一辆奔驰」的财力。
价格高昂种植义齿

图片来源:@种牙匠黄建生 供图
除了患者自身的就诊率低外,中国医院牙周专科的治疗现状也并不乐观。
牙周炎的诊断一旦确立,即预示着漫长而繁琐的序列治疗,这比早期单纯的牙龈炎治疗要复杂得多。
不仅花费不在一个档次,同时涉及到个人长期口腔卫生管理与维护水平的差异,疗效也因人而异。
于是,牙周炎的治疗在中国成了一个非常沉重的话题,似乎永远绕不开「治不好」的恶性循环。
「治不好」的牙周炎
与庞大的牙周炎患者群体相比,中国的牙周专科医师数量极为稀缺。
这或许与牙周专科的收入和其它牙科相比较低有关。保守估计,10 个牙医里可能只有 1 个牙周专科医师,甚至更低。
少数三甲医院口腔科很可能根本没有牙周专科医师,更不必说乡镇医院。
另一方面,牙周炎不同分期的不同处理要求相当专业,除了牙周专科医师以外,其他专科的牙医甚至很多都从未涉足此领城。
牙周炎的治疗方式之一

这就导致大部分牙周炎患者常常首诊于其他专科的牙医,需要二次转诊的问题。
医生的治疗方案与转诊判断,往往基于患者牙周炎的严重程度、口腔卫生管理能力、治疗依从性、甚至经济能力共同决定——其中的博弈一言难尽。
一个无奈的现状是,口腔卫生意识低下、主动获取口腔健康知识能力较低的牙周炎高危人群,往往也属于经济状况欠佳阶层,缺乏投资口腔健康的意愿。
有的医生将患者转诊后,患者却不愿花时间与精力前往上级医院的牙周专科治疗。这种现象反作用于医生,积少成多,降低了医生将患者转诊到牙周专科的主动性。
与此同时,就诊患者最常问的一句话依然是「医生,这个吃什么消炎药最好?」
于是,只给牙周炎患者开点消炎药应付一下的牙医,比比皆是。毕竟患者消肿了,解决了痛苦;费用低廉,医生也不麻烦。
最终,患者和医生双方都更容易迁就现状,而姑息治疗带来的,是牙周炎的慢性进展。
牙周炎的序列治疗难以普及,成了「治不好」的病。悬殊的医患数量比例,则成了一对看似尖锐、实则平稳的矛盾。
这里面既无黑幕,也非医德丧失。一切都显得既合情合理,又不可理喻。
这一切,大多本可以避免
与牙周炎的诊治困境相比,预防的惠民性和优越性,就显得极其显著。
早期干预和行为改变,基本上可以防止晚期牙周炎的无牙窘境。
反之,如果早期牙周炎患者拒绝治疗和忽视口腔卫生管理,那么最终极有可能像文章开头的小伙子一样,失去全部牙齿。
所以,如何正确、有效地预防牙周炎?
- 早晚正确地刷牙
- 每半年至一年进行一次超声洗牙
- 果断戒烟
此外,对于牙周炎易感人群,牙龈未退缩者,需要掌握牙线的使用,已经退缩者,则选择牙间隙刷或冲牙器辅助。
需要强调的是,定期洗牙并不仅仅针对牙周炎患者,而是所有人。
洗牙能高效清除菌斑牙结石,维持牙龈健康,将牙周炎的始动因素消灭于萌芽状态。
洗牙前后对比

这 3 点听起来非常简单,但就是这样简单的科普,却没有办法触达大众。
反而是众多「神药」广告依然铺天盖地,*草烟**商家依然大卖「漂亮烟盒」。
在美国和日本,洗牙已列入医保项目,实现广泛覆盖。
这对政府而言是一笔不小的投入,但这一措施带来的国民收益显著,很好地鼓励了全民自觉养成定期洗牙的习惯,由此节省了国民大量的拔牙种植牙支出。
为什么中国人逃不过「牙齿掉光」的宿命?
要知道,「老掉牙」从来不是一种自然的状态。六七十岁的老人里面,有人一颗牙也没有,有人一颗牙也不缺。生活习惯和口腔卫生意识,起到决定性的作用。
90% 中国人的牙齿,正在被这种疾病杀死,而他们对此毫不知情——这一切,大多本可以避免。
如果觉得这篇文章不错,就请收藏或分享给好友吧。添加雅悦齿科为好友,学习更多爱牙护齿科学方法。公众号:yyck2001