作者:九院口腔王宇华医生
学生问我,抗疫宅家,看不看剧。作为一名看“攀登梅鲁峰”也要设定2倍速的慢下来会死星人,电视剧点开五分钟后,就给周医生丢了张照片。

“你问过我,他牙缝去哪里了的就是他?”
“是的”周医生说,“当时你认为中线和牙缝对颜值影响很大,我用宋威龙和克里斯的例子反驳过你。前者有缝没缝都一样帅,后者现在还留着门牙的大缝,个人特色鲜明。”
好吧,已经完成关缝的果然是他。宅家看剧竟也能看出学术问题来。
造成牙齿有缝的原因
牙齿有缝原因很多,举几个临床常见的例子和处理办法。
1.先天有缝 (方法:正畸调整间隙+贴面)

2.龋齿、发黑 (方法:美白+贴面)

3.牙周炎(方法:直接贴面)

从宋的照片来看,门牙有缝时期,门牙中线右移大约半颗中切牙的宽度(大约4mm),前牙散在间隙。
一般来说,这种情况建议先通过正畸,使牙中线与面中线一致,再辅以贴面关闭间隙。
关缝后虽然牙齿整齐度和白度均有提高,但中线仍然右偏约2mm。
因此推测他放弃了正畸,而直接采用了贴面的快速改善方式。
正畸、贴面如何选择?
在关缝是选择正畸、还是选择联合贴面的方案时,我发明了一套所谓“高帅富G.S.F.”的理论:
1.牙齿长宽的黄金比例(Golden ratio)
2.牙齿与笑线(Smile Line)合谐
3.牙齿与面型气质(Face profile)相符
明星在优越的长相加持下,牙齿的缝并不太影响颜值,关闭缝隙属于锦上添花。但如果是一个普通人就又有所不同:
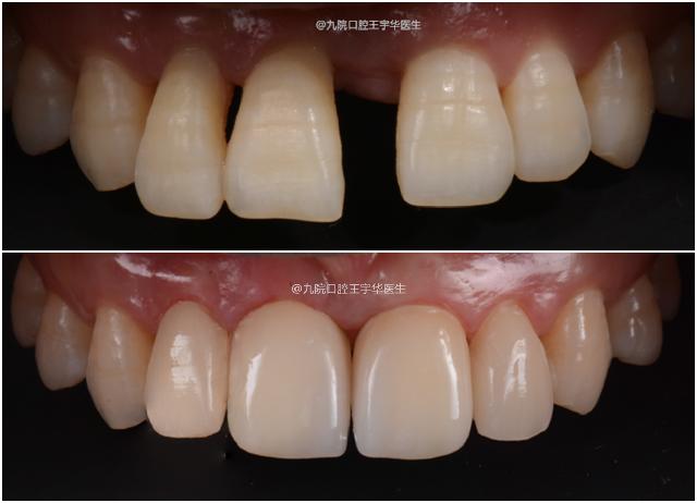
这位男生门牙有缝来就诊,希望笑起来能更好看。

根据“高帅富G.S.F.”理论进行分析:
1.牙齿本身宽长比偏小,形态过分纤细
2.门牙切端磨损,影响笑线弧度,降低了微笑时的亲和力
3.门牙细长的特征与面型不符,略缺乏男性特质。

C/B=0.84 B/A=0.78 B’/A’=0.77 C’/B’=0.96
CW/LIW LIW/CIW ⽐值偏⼤ 11 21⽛间隙较⼤影响美感
目标:
1.关闭牙缝,美白整齐;
2.设计适合他脸型的中切⽛、侧切⽛、以及尖⽛的宽度比例;
3.让笑线与微笑时的唇线相匹配。
结果:

是不是笑得更好看,增加了一种成熟专业的感觉呢?
本文转载自其他网站,不代表健康界观点和立场。如有内容和图片的著作权异议,请及时联系我们(邮箱:guikequan@hmkx.cn)