核医学诊断
早期:坏死股骨头表现为局限性放射性缺损而无周围浓聚反应。
中期:坏死股骨头表现为放射性缺损区周围有浓聚反应,形成所谓炸面圈征。
晚期:整个股骨头呈球形或类球形明显浓聚,有时可为不规则浓聚。
DSA诊断
早期:选择性旋股内侧动脉造影,可见上、下关节囊动脉迂曲、变细、阻塞或不充盈,静脉淤滞。
中、晚期:股骨头出现囊变或变形时,上关节囊动脉阻塞或再通,动脉变细,骨坏死周围出现血管增多区。
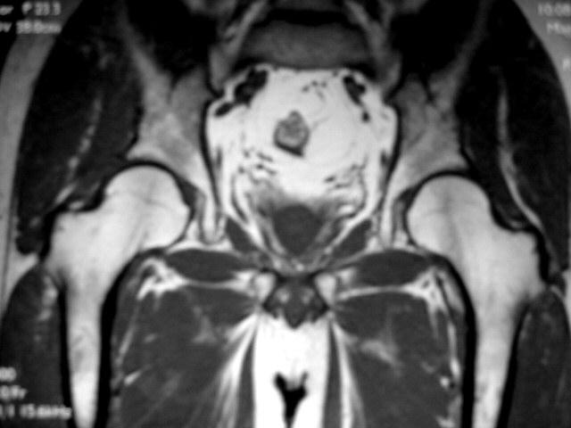
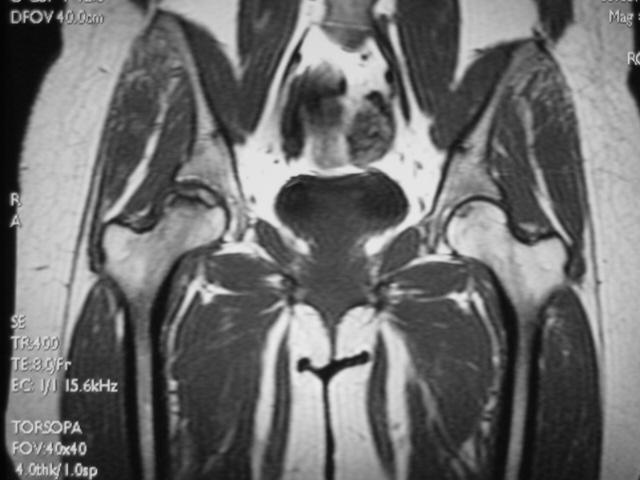
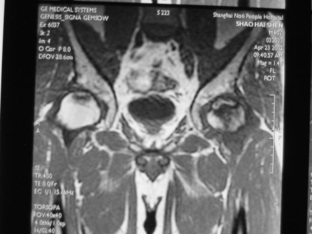
MRI诊断,俗称,核磁共振成像
正常成人股骨头的MRI表现正常成人股骨头骨髓内富含脂肪,在T1及T2加权图像上成圆形的高信号。股骨头及股骨颈表面骨皮质均为低信号。
在冠状面上,股骨头中央的承重骨小梁,表现为自外下缘到内上缘的稍低信号带。
闭合的骨骺线为横行低信号线,两端与致密骨相连。

MRI诊断
MRI与CT比较,其优点是
无X线辐射损伤。
微小的水分差和脂肪成分差就足以产生信号对比度。
可获得各种方向的断面图像,有助于对股骨头及髋关节立体解剖结构的分析。
无骨和空气产生的伪影,对病变分辨率高
MRI诊断
MRI扫描技术
患者取仰卧位,扫描范围自髋臼上3cm至股骨粗隆下。
层厚5mm,层间距1mm连续扫描。
选择自旋回波SE序列T1WI、T2WI及STIR冠状面扫描,横轴位T1W扫描。
MRI诊断
0期
患者无自觉症状,X线、CT、核素扫描及MRI等检查均为阴性。
但骨缺血坏死改变已存在,已有髓腔压力增高,骨髓活检可证实骨缺血坏死存在。
此期被称为股骨头缺血坏死临床前期,也称安静髋。
MRI诊断
Ⅰ期
髋关节间隙正常,股骨头光整、不变形。
典型的MRI表现为股骨头前上部负重区在T1W上显示线样低信号区,T2W上显示为局限性信号升高或“双线征”。
在MRI上出现“双线征”,这是股骨头缺血坏死的特异性MRI表现之一。




MRI诊断
Ⅱ期
髋关节间隙正常,股骨头光整、不变形。
在T1W上,股骨头前上部负重区,有硬化缘围绕较低、不均匀信号的新月形坏死区。
在T2W上,病灶为星月形高信号区。
在X线平片上,股骨头负重区内可见高密度的硬化区,内可伴有小囊样改变。


MRI诊断
Ⅲ期
髋关节间隙正常,无狭窄。
股骨头表面毛糙、开始变形。
软骨下皮质出现骨折,进一步发展出现轻微塌陷、阶梯状改变。
新月体形成:新月体代表无法修复的坏死骨发生引力性骨折,在T1W上为带状低信号区,T2W上,由于细胞内液渗出或关节液充填骨折线而呈高信号
股骨头表面软骨的完整性受到一定影响。




MRI诊断
Ⅳ期
关节软骨彻底破坏,髋关节间隙狭窄,合并关节退行性改变。
髋臼面软骨下骨质可出现囊性变,髋臼缘骨赘增生。
股骨头因骨坏死、囊变、骨折而显著塌陷、变形,受累范围可局限于股骨头上部或累及整个股骨头。
股骨头出现分节碎裂、骨折移位。