全球共有5亿胃病患者,中国就占了1.2亿!除了人口基数外,最大的原因和我们的生活习惯有着莫大的关系。据统计,我国胃病发生率高达85%,胃癌的发病率更是在目前所有恶性肿瘤中占第二位,死亡率高居第三位。

在我国每年近70万人确诊胃癌,但是早期胃癌占胃癌的诊断率仅占5%~10%,百分之九十的胃癌发现已是晚期,给到医生的治疗时间及手段极为有限。对比同时胃癌高发地区的日本,早期的胃癌发现率却比中国要高得多。
这其中主要有两方面因素:
1、日本从七十年*开代**始,就有专门的健康人群胃镜筛查,即45岁以上的人群都应该做一次胃镜检查。
2、中国国民在胃镜检查上还未得到有效的重视。
大多数患者在胃肠出现轻微不适时,大多数选择都会自行去药店购买药物服用,错失了很多疾病最佳治疗时机,从而导致了病情的加重,所以及时检查就显得格外的重要,而在胃部疾病诊查中,胃镜的作用尤为重要。

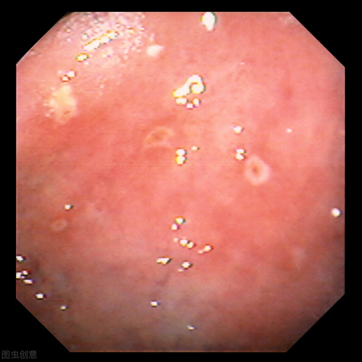
胃镜借助一条纤细、柔软的管子伸入胃中,医生可以直接观察食道、胃和十二指肠的病变,尤其对微小的病变(如早期胃癌等)。
而胃镜又分为无痛胃镜和普通胃镜,两者上有着明显的差别。
普通胃镜因为是在患者清醒的情况下进行,所以需要患者高度的配合,在不断地探入过程中,它可能会出现上腹拉力感、腹胀痛等不适,对患者带来了心理及生理上的负担。
而无痛胃镜是在患者麻醉的情况下进行,由医生及护士进行配合操作,极大的避免了患者的恐惧及不适,加快了胃镜检查的时间,在各方面明显优于普通胃镜检查,但是有急性呼吸道感染疾病、冠心病、颅内疾病或对麻药过敏等病人,都不适合做无痛胃镜检查。

提示以下七类人群建议进行胃镜检查:
1、45岁以上未进行过胃镜检查的人群;
2、幽门螺旋杆菌感染者;
3、有反复发作的消化道不适症状人群(如胃痛胃胀、腹部疼痛、反酸等);
4、有食道癌、胃癌等家族史人群;
5、长期大量抽烟以及酗酒的人群。